вверх
отправить
поиск
админ
главная
|
Тотальное эндопротезирование тазобедренного сустава. |
 |
 |
 |
Отправлено Эльдар Шамадаев 18 Март 2012, 00:09 МУ ГБ№1 г. Махачкала
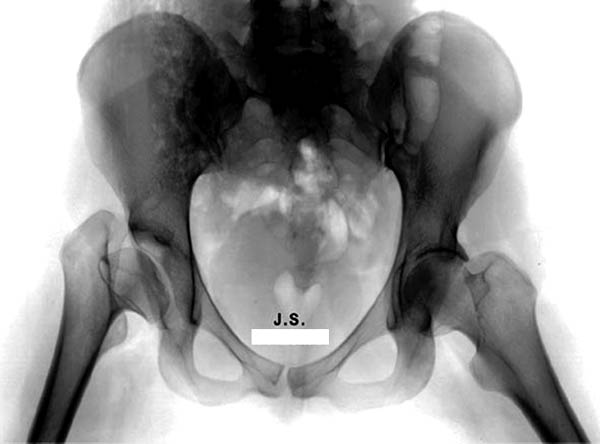
Больной, 24 года, спортсмен - борец вольного стиля, рост 170см, вес 92кг. Со слов была травма в детстве, но характер травмы описывает смутно и мед. документацию не предоставляет. Жалобы на периодические боли в области т/б сустава, но больше смущает укорочение конечности и хромота. Похоже на последствия остеохондропатии головки бедренной кости (Легга-Кальве-Пертеса) или неправильно консолидированного перелома. Объем движений в т/б суставе в пределах нормы, но по сравнению со здоровой ограничено: внутренняя ротация на 15гр., отведение до 25-30гр., наружняя ротация, сгибание, разгибание и приведение одинаково. Укорочение конечности 4.5см. Отмечается незначительная гипотрофия мышц бедра и голени: бедро в объеме меньше здорового на 5см, голень на 3см. Опыта ТЭТС при данной патологии у нас нет. Хотим отправить пациента за пределы республики. Больной к оперативному лечению морально и материально подготовлен)) При необходимости можно оформить квоту на ТЭТС.
<
|
>
|
|
Ответить
|
Re: Тотальное эндопротезирование тазобедренного сустава.
Djoldas Kuldjanov 18 Март 2012, 11:57
|
Здесь комбинированная патология тазобедреннего сустава, связанная с высокостоящим вертелом и отсутствием (ротирована?) шейкой. А на стороне вертлужной впадины диспластический сустав. Обычно высоко расположенный вертел приводит к уменьшению силы мышц абдукторов, но отстутствие шейки привело к вертикальному расположению сил в суставе. Боли появляются из-за вертикального давления, а неровные контуры головки приводят к ограничению движений в суставе. Такое состояние быстро изнашивает сустав, и больные в молодом возрасте заканчивают тотальным протезированием.
Протезировать может любой специалист по артропластике, но все таки молодой возраст, не очень приятная перспектива. Желательно сохранить собственный сустав и иногда укорочение конечности можно устранить за счет удлинения шейки, а в дальнейшем Периацетабулярная Остеотомия. Но, еще раз повторяю, иногда!
Для оценки пригодности сустава надо сделать снимки во внутренной и наружной ротации, а также с отведением и приведением каждого сустава. Сравнительные снимки покажут возможный подвывих и укорочение, а также состояние суставной щели. 3D Компьютерная Томография покажет возможную ротацию шейки.

Представленный случай имеет схожесть...., и последний снимок после 2 х лет.
|
[
Ответить ]
|
Re: Тотальное эндопротезирование тазобедренного сустава.
Отправитель: Эльдар Шамадаев 18 Март 2012, 13:30
|

Снимок выполнен в прямой проекции с внутренней ротацией. На днях сделаем СКТ с 3D модуляцией.
|
[
Ответить ]
|
Re: Тотальное эндопротезирование тазобедренного сустава.
Отправитель: Эльдар Шамадаев 18 Март 2012, 15:02
|
Описался: рентгеновский снимок выполнен в прямой проекции с наружной ротацией.
|
[
Ответить ]
|
|
Re: Тотальное эндопротезирование тазобедренного сустава.
Батал Шушания 18 Март 2012, 14:15
|
Главное, в этом сообщение то, что "Больной к оперативному лечению морально и материально подготовлен))" А если серьезно, то сделайте, не поленитесь, снимки, как сказал Джолдас Кулджанов. И тогда, можно будет определиться, что предпочтительнее остеотомии в области тазобедренного сустава или, все таки, тотальная замена сустава. Если сообщество склонится к остеотомиям, то можете лично попросить профессора о выполнении реконструктивной операции на тазобедренном суставе!
|
[
Ответить ]
|
Re: Тотальное эндопротезирование тазобедренного сустава.
Отправитель: Эльдар Шамадаев 18 Март 2012, 15:13
|
Батал, к сожалению, на сегодняшний день моральная подготовка больного к оперативному лечению занимает значительно меньше времени и словосочетаний. И материальная, а не моральная подготовка, зачастую определяет тактику и технику оперативного вмешательства. Такой он - мир материальных ценностей и рыночных отношений)))))
|
[
Ответить ]
|
|
Re: Тотальное эндопротезирование тазобедренного сустава.
Ильдар Ф. Ахтямов 18 Март 2012, 15:07
|
Уважаемый Эльдар! Следует установить тотальный бесцементный эндопротез, можно с укороченной ножкой. Головка желательна большого размера, а пара трения, судя по весу, мет.-мет-л. Можем пригласить к себе, можем решить проблему на Вашей тер-и. АИФ
|
[
Ответить ]
|
Re: Тотальное эндопротезирование тазобедренного сустава.
Отправитель: Эльдар Шамадаев 19 Март 2012, 01:36
|
Большое спасибо за поддержку, ув. Ильдар Фуатович. Больной активно занимается спортом, по 2-3 часа в день, включая бег и подобные упражнения. Как Вы считаете, сколько времени, в данном случае, может занять период реабилитации больного после тот. эндопротезирования т/б сустава с использованием бесцементной фиксации и короткой ножки? Само оперативное вмешательство подразумевает,что по окончанию периода реабилитационного лечения (при благоприятном исходе), появится возможность восстановления больным физ. тренировок в объеме дооперационных? Важен вопрос: сможет ли пациент когда-нибудь вернуться к активным тренировкам после операции ТЭТС?
|
[
Ответить ]
|
Re: Тотальное эндопротезирование тазобедренного сустава.
Отправитель: я 19 Март 2012, 03:38
|
Если эндопротез, то может лучше керамика-керамика?
|
[
Ответить ]
|
|
Re: Тотальное эндопротезирование тазобедренного сустава.
Денис Ёлкин 19 Март 2012, 03:06
|
Здравствуйте, Эльдар!
Возможность сохранить сустав, на мой взгляд, существует только гипотетически. Я за эндопротезирование с применением керамико-керамической (как вариант - металл-металл) пары трения. Важный момент - восстановление нормального оффсета, для чего необходимо тщательное планирование с оценкой рентгенограмм противоположного сустава.
С уважением,
Д. Ёлкин
|
[
Ответить ]
|
Re: Тотальное эндопротезирование тазобедренного сустава.
Бен. Э. М. 19 Март 2012, 04:41
|
Уважаемый Эльдар саламалейкум!
У больного последствия эпифизеолиза головки бедренной кости, эпифизеолиз возможно связан с травмой в детстве или просто юношеский.
В данный момент никаких показании к эндопротезированию, что нужно вашему больному? :
-сбросить 25 кг,
-забыть про борьбу,
-ЛФК для укрепления мышц нижней конечности,
-ношение ортопедической обуви для компенсации 5 см,
-трость для ходьбы на усмотрение,
-постоянное наблюдение у ортопеда.
|
[
Ответить ]
|
Re: Тотальное эндопротезирование тазобедренного сустава.
Отправитель: Эльдар Шамадаев 23 Март 2012, 02:23
|
Ваалейкум салам. Большое спасибо за участие.
-сбросить 25 кг,-вряд ли получится сбросить вес, парень крепкий, подкожножировой слой развит слабо.
-забыть про борьбу,-этот вариант не рассматривается вообще)))
-ЛФК для укрепления мышц нижней конечности,-ЛФК занимается регулярно.
-ношение ортопедической обуви для компенсации 5 см,-тут небольшая загвоздка в том, что обувь с компенсацией более 2см изготавливается на протезном заводе индивидуально и выглядит мягко говоря непрезентабельно))) Больной от обуви отказывается категорический, использует только стельки(~1.5-2.0см)
-постоянное наблюдение у ортопеда.-попробуем понаблюдать))))
-трость для ходьбы на усмотрение,-нет необходимости.
|
[
Ответить ]
|
|
Re: Тотальное эндопротезирование тазобедренного сустава.
Maxim Agalakov 19 Март 2012, 23:02
|
я за остеотомию. как вариант - поверхностное эндопротезирование (в этой ситуации сложно). Другие варианты вмешательств могут не позволить бороться. а это можеть быт очень важным, учитывая регион. В Самару - как вариант.
|
[
Ответить ]
|
Re: Тотальное эндопротезирование тазобедренного сустава.
Отправитель: Эльдар Шамадаев 23 Март 2012, 02:52
|
Спасибо, Максим. В данном случае, если бы не короткая короткая шейка бедра, как вариант может был бы "resurfacing"?
|
[
Ответить ]
|
|
Re: Тотальное эндопротезирование тазобедренного сустава.
Батал Шушания 20 Март 2012, 00:35
|
Эльдар, эндопротезирование и борьба вольного стиля вещи не очень совместимые. Конечно можно ставить эксперименты, но это не в интересах самого пациента! Мое мнение, нужно дообследовать, и побороться за данный (родной) сустав. Вот тогда он может рассчитывать на продолжение спортивной деятельности (если он не может жить без этого). Наберитесь терпения, дообследуйте пациента. Джолдас Кулджанов периодически приезжает в Россию, и если будут показания к реконструктивной операции на тазобедренном суставе с прогнозируемым результатом, то он скорее всего не откажет Вам в помощи!
|
[
Ответить ]
|
Re: Тотальное эндопротезирование тазобедренного сустава.
Отправитель: Эльдар Шамадаев 23 Март 2012, 03:02
|
Спасибо, Батал. СКТомограф один, больных много, думаю в течении недели сделаем 3D. Обязательно выложу снимки.
|
[
Ответить ]
|
|
Re: Тотальное эндопротезирование тазобедренного сустава.
Береговой Леонид 31 Март 2012, 01:42
|
Доброго времени суток, уважаемые коллеги!не смотрите прицельно только на т/б сустав, предвкушая, что вы с ним можете сделать. Верно, можете! Только рекомендую взглянуть на пациента обоими глазами с головы до пят. И мы наверняка увидим нечто, что оказывается у него разная длина ног под вопросом : ТАК ЛИ?
Имеет ли место перекос таза, искривление поясничного отдела или грудо-поясничного отдела позвоночника?
ПЯТКА. А как вы хотели, при укорочении ноги человек наступает на передний отдел стопы компенсируя дефицит длины. Пятка вынуждено подтянута, тем более спортсмен (нагрузки!!!)
Если мануальный врач осмотрит и проведет свои действа, то ситуация в т/б суставе может кардинально измениться, как и длина ног.
ЖЕЛАТЕЛЬНО, чтобы текст данного сообщения знал пациент.
|
[
Ответить ]
|
( Ответить )
|
|