AOTRAUMA.ORG Центр Илизарова  

Ортопедия и травматология Общие вопросы/General questions Help Информационные технологии в медицине
 вверх
 отправить
 поиск
 админ
 главная


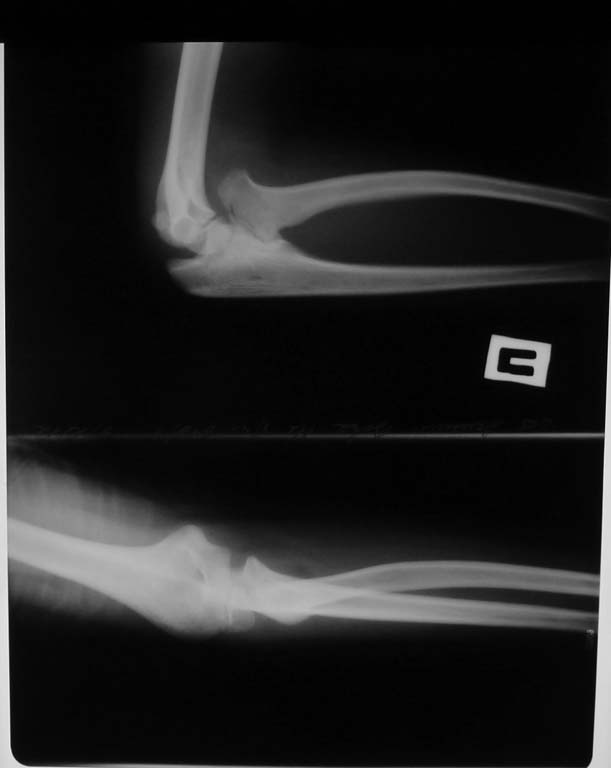
Межкостный экзостоз
Ортопедия и травматология Отправлено Данила Курышев 20 Март 2012, 05:00 Тушинская ДГБ
Больной 11 лет. В последние месяцы отмечается нарастание ограничения движений в локтевом суставе и предплечье. После получения незначительной травмы обратился в травмпункт.
Выявлен костно-хрящевой экзостоз, растущий в межкостный промежуток из проксимального конца локтевой кости, приведщший к вывиху головки лучевой кости, вторичной деформации шейки, формированию неоартроза между экзостозом и лучом.
Сгибание в локтевом суставе до 110 град, разгибание полное. Ротационные движения предплечья резко ограничены. Неврологии нет. Прилагаем снимки и КТГ.Мнения относительно оперативного вмешательства разделились.
Первое предложение: удалить экзостоз, выполнить резекцию головки лучевой кости.
Второе предложение: удалить экзостоз, выполнить остеотомию локтевой кости, дитракция в АНФ, максимально возможная редукция головки в сустав, трансартикулярная фиксация в достигнутом положении.
Третья робкая версия: вышеперечисленное, но с эндопротезированием головки после открытого вправления. Думается, что случай не частый. Просим вариатов решения проблемы.
Заранее благодарны.

<  |  >

 

  • Сообщения о Ортопедия и травматология
  • Также Данила Курышев
  • Связаться с автором
  • Ответить

    Re: Межкостный экзостоз
    Данила Курышев 21 Март 2012, 17:02
    Виноват, описался. Экзостоз, конечно же, лучевой кости. Прошу прощения.
    [ Ответить ]

    Re: Межкостный экзостоз
    Данила Курышев 21 Март 2012, 17:02
    Виноват, описался. Экзостоз, конечно же, лучевой кости. Прошу прощения.
    [ Ответить ]

    Re: Межкостный экзостоз
    Sereda Andrey 21 Март 2012, 22:31
    Это не экзостоз. Это синостоз. Описан еще в 1793году Sandifort-ом. Ни один из приведенных вами способов успеха не даст - попробовать можно только резекцию синостоза с внедрением васкуляризированного лоскута между костями.
    [ Ответить ]

    • Re: Межкостный экзостоз
      Отправитель: Данила Курышев 22 Март 2012, 00:28
      Спасибо за ответ , Андрей.
      Но, синостоз ли? Насколько я встречал синостозы - они без вывиха головки и выглядят именно как синостоз.
      Если ротационные движения всё равно гарантированно не восстановятся - надо ли вообще оперировать и, тем более, внедрять васкуляризованный лоскут.

      [ Ответить ]
      • Re: Межкостный экзостоз
        Отправитель: Sereda Andrey 22 Март 2012, 22:26
        Данила, думаю все таки синостоз. Щель между костями еще прослеживается, но и она исчезнет. Чего только не внедряли между костями для реконструкции, даже целлофан. Лучше ничего не делать, конечно же.

        [ Ответить ]
    Re: Межкостный экзостоз
    Ельцин Александр 22 Март 2012, 02:48
    Уважаемые коллеги! Представлена непростая клиническая история. Необходимо сделать рентгенограммы здорового предплечья и локтевого сустава в строго симметричных представленным снимкам проекциях, сравнить, померить, обсудить и подумать. А при возможности, сделать сканирование верхних конечностей на КТ. Быстрых решений быть не должно.
    Готовы к обсуждению.
    С уважением, Александр Ельцин.

    [ Ответить ]

    Re: Межкостный экзостоз
    Данила Курышев 24 Март 2012, 00:52
    Уважаемые коллеги!
    Спасибо вам за отклик и комментарии.
    Дальнейшее обсуждение не получится. Ребёнка соперировал шеф. Андрей Середа был прав. Это типичный радиоульнарный синостоз, что хорошо было видно в ране. Головка росла с отклонением кпереди, рентгенологически создавая картину вывиха. Вмешательство окончилось частичной остеотомией головки. удалена мешающая сгибанию её часть. На том всё и закончилось. Никаких реконструктивных вмешательств не предпринимали.
    Ещё раз благодарю за внимание
    [ Ответить ]


    ( Ответить )

    Powered by Zope  Squishdot Powered MedLink
    Посетитель: 0393958
      "По форме правильно, а по существу - издевательство" В.И.Ленин
    ©2001-2019Orthoforum Coordinator.
    [ Главная | Отправить сообщение | Поиск | Админ ]