вверх
отправить
поиск
админ
главная
|
Аваскулярный некроз таранной кости |
 |
 |
 |
Отправлено Алексей Баженов 20 Март 2012, 20:51
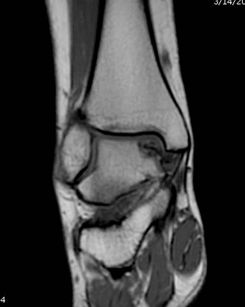
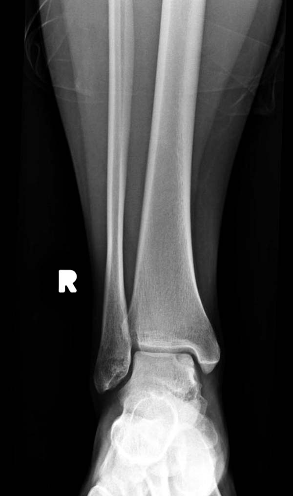
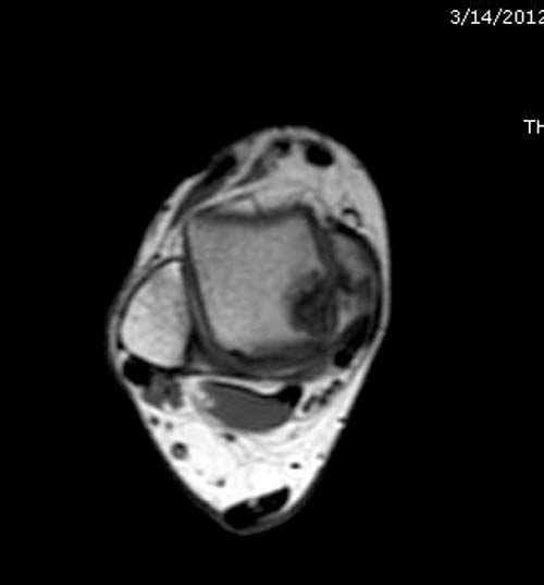
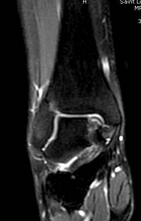
Доброго времени суток, уважаемые коллеги. Прошу помочь определиться с тактикой лечения. Пациентка 40 лет, в течение последних 8-9 мес. беспокоила боль в левом голеностопном суставе после значительной физической нагрузки (по роду деятельности вынуждена проходить в день не менее 15 км). Факт травмы отрицает. Лечилась самостоятельно, мазями и приемом НПВП. В последнее время боль стала возникать после умеренной нагрузки, присоединились отек и хромота. Прием НПВП и ограничение нагрузки до уровня бытовой болевой и отечный синдром купируют. Обратилась к нам, выявлены изменения таранной и пяточной кости, представленные на КТ. Вопрос: единственным ли выходом является артродез или можно обойтись менее радикальным вмешательством? Смущает невыраженная клиника и молодой возраст пациентки... Будем рады любой помощи со стороны уважаемого сообщества. А. Баженов, г. Екатеринбург
<
|
>
|
|
Ответить
|
Re: Аваскулярный некроз таранной кости
адонин 20 Март 2012, 23:36
|
я бы просто поговорил с больной, объяснил все возможные опции (артродез или аналгетики, модификация образа жизни, попробовать внутрисуставно гиалуроновую кислоту, ортез, попытка артроскопического дебрайдмента и т.д) и пусть она сама примет решение
|
[
Ответить ]
|
Re: Аваскулярный некроз таранной кости
Анатолий 21 Март 2012, 14:52
|
Алексей,
артродез в данной ситуации- слишком радикальное решение. Артроскопия позволит уточнить степень и характер повреждения+дебридмент, тунелизация; + охранительный режим и образ жизни в последующем позволят, как минимум, отсрочить более радикальное вмешательство на годы!!
|
[
Ответить ]
|
Re: Аваскулярный некроз таранной кости
Максим Королев 22 Март 2012, 16:01
|

Алексей! Артродез у пациентки в 40 лет не очень бы хотелось. Из практики год назад оперировали с точно таким же диагнозом пациента-обошлись-артроскопией, тунелизацией+ дефект оказался большим но с охраненным кортикалом(заполнили Хронос Джет). иммобилизация жестким ортезом после операции 1,5 месяца. Через 2 месяца болевой синдром полностью купировался. Ходит с полной опорой, занимается футболом.
|
[
Ответить ]
|
Re: Аваскулярный некроз таранной кости
Владимир 22 Март 2012, 16:28
|
Был подобный случай. Сделали остеохондропластику. Доступ к некрозу таранной кости с отсечением внутренней лодыжки. Трансплантат брали с неопорной части мыщелка бедра. Результат отличный. Успеха
|
[
Ответить ]
|
Re: Аваскулярный некроз таранной кости
Maxim Agalakov 24 Март 2012, 10:12
|
Можно начать с декомпрессии с импакционной пластикой малоинвазивно через небольшой доступ кнаружи от ахилла, если в дальнейшем жалобы будут сохраняться - структурная пластика (как вариант -по вышеописанной методике), в дальнейшем - от артродеза до протезирования(не классические показания)
|
[
Ответить ]
|
Re: Аваскулярный некроз таранной кости
Алексей Баженов 26 Март 2012, 02:48
|
Спасибо, коллеги. Ваше мнение помогло принять окончательное решение.
Воздержимся пока от радикальных операций, пойдем по пути сохранения сустава. Попробуем...
|
[
Ответить ]
|
Re: Аваскулярный некроз таранной кости
Djoldas Kuldjanov 08 Апрель 2012, 02:48
|
Разбираемый случай не имеет ничего общего с классическим Аваскулярным Некрозом Таранной кости. Здесь так назывемый (osteochondral defect) или osteochondritis dissecans (OCD) таранной кости, при котором патология локализуется в медиально-верхнем нагрузочном отделе. В основном OCD
встречается после хронической травмы, но бывают случаи врожденного генеза, которые обнаруживаются при случайных исследованиях.
Антифизиологическая стойка или хроническая травма: у лыжников или конькобежцев является фактором, приводящим к износу медиальной нагрузочной зоны тарана.
Симптоматология OCD выражается слабым отеком, а более сильные боли наступают после физической нагрузки. В отличие от АВН тарана, когда боли постоянные, а при OCD боли изчезают после отдыха. В начальных стадиях
на рентгенограммах не всегда заметны склерозные участки, и поэтому в большинстве диагноз устанавливается поздно. Приход КТ и МРТ улучшил диагностику, и в срезах внутри кисты можно увидеть жидкость, но это не означает проявление симптоматологии. Симптомы проявляются с момента образования внутрисуставных краевых фрагментаций!
При умеренных проявлениях можно ограничиться консервативным лечением, но при выраженной симптоматике необходимо удалить свободные фрагменты.
Артроскопия с дебридментом приносит облегчение, но огромные медиально-верхние дефекты надо замещать. Хирургический доступ через медиальную лодыжку, а для замещения применяют современные алломатериалы.
Для ресторации хряща используем хорошо зарекомендовавший продукт компании DeNovo, который полностью восстанавливает повреждение.

И пару дней назад провели операцию... А при огромных дефектах остеохондральный аллографт который выбирается по контуру тарана.
http://www.zimmer.com/content/pdf/en-US/DeNovo_NT_Graft_Surgical_Technique_(97-5608-002-00)_(02_2010).pdf
|
[
Ответить ]
|
Re: Аваскулярный некроз таранной кости
Отправитель: Anton Kovalenko 09 Апрель 2012, 02:47
|
Уважаемый Джолдас!
Пытался найти разницу между OCD и AVN. В Appley's System of Orthopedics and Fractures есть глава Osteonecrosis and related disorders. Там OCD отнесен к разновидностям AVN, как я понял, только отличается локальностью поражения. Да есть разница в течении.
Я хотел спросить, какая на Ваш взгляд, разница в патогенезе и чем она обусловлена. Так проще запомнить все остальные различия.
Сравнивал представленные КТ с тем что есть в сети в свободном доступе - тоже не нашел разницы между OCD и AVN таранной кости
Спасибо.
С уважением, Коваленко А.Н.
|
[
Ответить ]
|
Re: Аваскулярный некроз таранной кости
Отправитель: Djoldas Kuldjanov 09 Апрель 2012, 02:53
|
Антон,
Тотальный АВН и ОСД можно отности к ишемическим заболеваниям таранной кости. Но, кроме этого, в развитии ОСД (Osteochondritis Dissecans) прямая травма хряща играет важную роль, когда наступает остеохондральный краевой
перелом. Остеохондральный перелом в зависимости от условии может быть In Situ, т.е. оставаться на месте без отрыва или быть свободным в суставе как "суставная мышь", например, как в коленном суставе.
Главное отличие - тотальное изчезновение тарана после АВН тарана, а при ОСД можно сохранить таранную кость!
http://radiographics.rsna.org/content/25/2/399.full Avascular Necrosis of the Talus: A Pictorial Essay Dawn H. Pearce, MD, FRCPC, Christopher N. Mongiardi, MD,Victor L. Fornasier, MD, FRCPC and Timothy R. Daniels, MD, FRCSC
|
[
Ответить ]
|
Re: Аваскулярный некроз таранной кости
Отправитель: Alexander Chelnokov 09 Апрель 2012, 17:08
|
Пытался найти разницу между
Да вроде разница бросается в глаза? После перелома шейки таранной кости что получается? Вот этот самый AVN, целый блок мертвый, все расплющиваеся потом. А диссеканс - локальные очажки, отшнуровка кусочка, но в остальном блок живой.
|
[
Ответить ]
|
|
( Ответить )
|
|