Ответить
|
Re: варусная деформация коленных суставов
адонин 20 Март 2012, 23:26
|
Одно из условий для одномыщелкового эндопротезирования – вальгус стресс тест должен полностью коррегировать варус, но не вызывать гиперкоррекцию . Так что сделайте рентгенограммы с вальгус стрессом, если получите полную коррекцию - я бы предпочел однополюсное эндопротезирование (конечно, если остальные условия соблюдены – интактная передняя крестовидная, полное разгибание и пассивное сгибание до 110 градусов). Слишком уж долга ждать конечных результатов после остеотомии, особенно если речь идет о двустороннем процессе.
|
[
Ответить ]
|
Re: варусная деформация коленных суставов
Leonid Solomin 21 Март 2012, 00:29
|
Уважаемый Тарас Рокита,
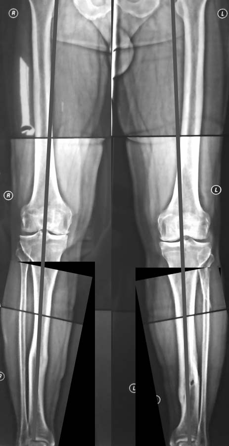
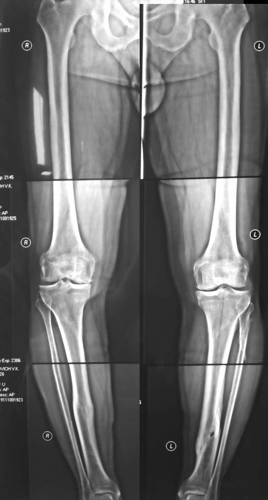
Обе большеберцовые кости имеют 2 вершины деформации, т.е. речь идет о двухуровневых корригирующих остеотомиях. И только после этого ставить вопрос об одномыщелковом протезировании. При тотальном протезировании, возможно, можно будет обойтись только диафизарными остеомиями
(дистальная CORA). К сожалению, точнее сказать не могу - для расчетов Рг низкого качества.
С уважением,
Л.Соломин
|
[
Ответить ]
|
Re: варусная деформация коленных суставов
Отправитель: Alexander Chelnokov 24 Март 2012, 09:54
|
Привет, коллеги, особенно Леонид и Тарас.

А если сделать как-то так? С точки зрения практической должно технически получиться. То есть может стать не идеально, но все равно много-много лучше, чем было. И насчет эндопротезирования вопрос может надолго отложиться.
PS. И фиксировать ясно чем ;-))
|
[
Ответить ]
|
Re: варусная деформация коленных суставов
Отправитель: Leonid Solomin 24 Март 2012, 14:27
|
Здравствуй, дорогой!
> А если сделать как-то так? С точки зрения практической должно технически получиться. То есть может стать не идеально, но все равно много-много лучше, чем было. И насчет эндопротезирования вопрос может надолго отложиться.
> PS. И фиксировать ясно чем ;-))
Согласен - действительно станет гораздо лучше и зафиксировать чем можно будет, и эндопротезирование подождет :-)
Выбор - за хозяином положения.
Всего доброго,
Л.Соломин
|
[
Ответить ]
|
Re: варусная деформация коленных суставов
Отправитель: maxim agalakov 26 Март 2012, 17:48
|
лучше с гиперкоррекцией,но предупредить,что может быть косметический дефект
|
[
Ответить ]
|
|
Re: варусная деформация коленных суставов
Sereda Andrey 22 Март 2012, 22:30
|
Я бы сделал рентген в вальгус-стрессе и именно по нему бы чертил оси.
|
[
Ответить ]
|
Re: варусная деформация коленных суставов
Отправитель: Edgar B. 23 Март 2012, 16:54
|
Это изменит только механические оси, но не анатомические.
|
[
Ответить ]
|
|
Re: варусная деформация коленных суставов
Maxim Agalakov 24 Март 2012, 09:53
|
я бы сделал НТО (+ клин), ось голени вполне приличная, "плюс клин" сильно не затруднит возможное тотальное протезирование.Образовавшийся дефект можно не замещать - закроется сам, а если использовать Puddu plate или ее аналаог -можно разрешать раннюю полную нагрузку.
|
[
Ответить ]
|
Re: варусная деформация коленных суставов
Мацукатов Феодор 24 Март 2012, 22:09
|
Вариант, предложенный Александром Николаевичем, наиболее рациональный. Но я бы добавил небольшой сдвиг дистальных фрагментов большеберцовых костей кнаружи для разгрузки внутренних мыщелков. Так однозначно можно получить хороший положительный эффект.
|
[
Ответить ]
|
Re: варусная деформация коленных суставов
Armen 29 Март 2012, 03:44
|
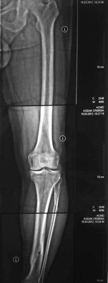
Интересно ,как "стоят" дистальные фрагменты в боковой проекции!?
|
[
Ответить ]
|
Re: варусная деформация коленных суставов
doctor_smith 31 Март 2012, 21:41
|
Согласен с предложенной вальгизирующей остеотомией, только мне кажется, уровень должен быть выше, и ось желательно проводить через точку Фуджисава!
|
[
Ответить ]
|
( Ответить )
|