AOTRAUMA.ORG Центр Илизарова  

Ортопедия и травматология Общие вопросы/General questions Help Информационные технологии в медицине
 вверх
 отправить
 поиск
 админ
 главная


Патологический перелом шейки бедра
Ортопедия и травматология Отправлено Игорь 27 Март 2012, 23:29
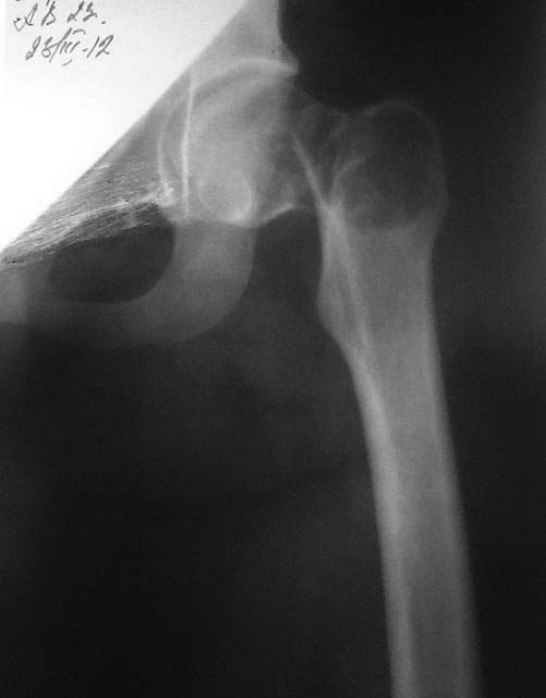
Пациентка 23 года срок беременности 22 недели. Травма низкоэнергетическая ( падение на бок ).
Отмечает наличие болевого синдрома в области т/б сустава около 1 года. Планируем остеосинтез (гамма стержнем или DHS) + биопсия.
Ув. коллеги помогите определиться с тактикой. Возможно мы что то не учитываем.

<  |  >

 

  • Сообщения о Ортопедия и травматология
  • Также Игорь
  • Связаться с автором
  • Ответить

    Re: Патологический перелом шейки бедра
    СЕРГЕЙ ДУКЕР 28 Март 2012, 13:29
    3-Х ВИНТОВ В ПОЛНЕ ДОСТАТОЧНО. Y И DHS НЕ САМЫЙ ЛУЧШИЙ ВЫБОР В ДАННОМ СЛУЧАЕ.
    [ Ответить ]

    Re: Патологический перелом шейки бедра
    Александр Ситник 28 Март 2012, 20:20
    Для планирования конечно хорошо бы снимок во внутренней ротации бедра. Но трех винтов должно хватать, а излишняя агрессия тут пожалуй ни к чему.

    Каков план по наркозу и беременности?
    [ Ответить ]

    Re: Патологический перелом шейки бедра
    Alexander Chelnokov 29 Март 2012, 00:49
    Надо бы сделать еще снимки, а лучше бы плюс КТ. Срок беременности большой, так что не страшно.
    А насчет злокачественного процесса ничего нету подозрительного? Анализы как?
    Если думать про что-то доброкачественное, то план с гаммой вполне годится. Головка будет связана с диафизом, так что даже при дальнейшем разрушении кости обеспечит сохранение формы проксимального отдела бедра. Через точку введения ложкой наскрести материал на исследование. Мысль насчет винтов IMHO плохая, в периферическом отломке держаться им толком не в чем.
    [ Ответить ]

    Re: Патологический перелом шейки бедра
    Зельский Илья Александрович 29 Март 2012, 01:03
    По представленному снимку на первое место я бы поставил гигантоклеточную опухоль.
    С уважением, Зельский И.А., рентгенолог УНИИТО
    [ Ответить ]

    • Re: Патологический перелом шейки бедра
      Отправитель: Alexander Chelnokov 30 Март 2012, 15:50
      Если так, надо делать тщательный кюретаж.

      [ Ответить ]
    Re: Патологический перелом шейки бедра
    Armen 29 Март 2012, 03:24
    Склоняемся к методу 3-мя винтами,после выполнения КТ.Но выполнить еще снимки,КТ,ЭОП в операционной+анестезия+анальгетики в п/о периоде,возможные осложнения и т.п.-не многовато-ли для здоровья плода.Думаем, матери необходимо все хорошо "взвесить" и что для нее важнее.Всякий ведь народ встречается.
    [ Ответить ]

    Re: Патологический перелом шейки бедра
    Michael Berenstein 29 Март 2012, 03:58
    Судя по представленному снимку перелом в основание шейки бедра да еще с
    костным дефектом. Фиксация должна быть стабильной чтобы поставить на ноги
    перед родами и уходом за новорожденным. Фиксатор должен быть с угловой стабильностью - DHS, гвоздь желательно с двумя шурупами в шейку для ротационной стабильности. Если костный дефект большой можно использовать цемент и фиксатор ставить прежде чем цемент застынет. Биопсия конечно.
    Операция лучше под эпидуральной анестезией, мониторинг плода в ходе операции, присутствие гинеколога во время операции чтобы не пришлось самим делать кесарево сечение, если припечет. Рентгена поменьше. Удачи.
    Михаил Беренштейн
    [ Ответить ]

    Re: Патологический перелом шейки бедра
    Игорь Девин 30 Март 2012, 01:22
    С учетом беременности правильно. Если это киста, она регенерирует после травмы и остеосинтеза, если это опухоль (например, ОБК) будете думать после биопсии, что делать и в какие сроки. На зло не похоже.
    С уважением И.Девин
    [ Ответить ]

    Re: Патологический перелом шейки бедра
    Игорь Кучерявый 30 Март 2012, 01:23
    Всерьез думать о синтезе 3 винтами у пациентки с возможной деструкцией кости и с нагрузкой в виде беременного живота?! Тогда уж и на вытяжение повесить можно)))
    [ Ответить ]

    Re: Патологический перелом шейки бедра
    Иван 01 Апрель 2012, 01:20
    первым делом больную должен осмотреть гинеколог. вспомнил случай, когда больная упав на спину и кроме ушиба поясничной области у нее ничего не было, через 6 дней она потеряла ребенка ( правда срок был 13-14 недель). во избежании "совпадения" лучше себя обезопасить. а ребенок первый? как протекает беременность? может с повышенным тонусом матки? тогда ей пару месяцев полежать даже полезно будет. перелом то он переломом, но и про малыша забывать не надо...особенно если его очень ждут.
    [ Ответить ]


    ( Ответить )

    Powered by Zope  Squishdot Powered MedLink
    Посетитель: 0184985
      "По форме правильно, а по существу - издевательство" В.И.Ленин
    ©2001-2019Orthoforum Coordinator.
    [ Главная | Отправить сообщение | Поиск | Админ ]