вверх
отправить
поиск
админ
главная
|
Варусная деформация проксимального конца бедренной кости |
 |
 |
 |
Отправлено Алмасбек 30 Март 2012, 14:07
Больной А 49 лет, автомеханик, обратился с диагнозом: Неправильно консолидированный подвертельный перелом левой бедренной кости, с варусной деформацией. Из анаменеза 2003 году получил автодорожную травму. С диагнозом Закрытый подвертельный перелом левой бедренной кости со смещением произведено открытая репозиция, металлоостеосинтез гвоздем Бокычарова. В динамике по поводу перелома металлического имплантата повторно госпитализирован, имплантат был удален и повторно фиксирован обычной накостной пластиной (по передний поверхности бедренной кости) без исправлении деформации. Данный момент больной активно передвигается, работает, хромает на левую н/к. Отведение в тазобедренном суставе слева резко ограничены, безболезненны. Сгибания в ТБС не ограничено. Укорочение левой н/к на 4 см. 2012 году в январе накостная пластина удалена (сломанные винты остался закрывая костномозгового канала). На рентгенограммах левого тазобедренного сустава шеечно-диафизарный угол 90 градусов. Признаки артроза 2 ст. Некоторые коллеги предлогали подвертельную остеотомию с фиксацией гамма гвоздем. Некоторые за эндопротезирования, но больной от эндопротезирования категорический отказался. Ув. коллеги помогите определиться с тактикой. Будем рады любой помощи со стороны уважаемого сообщества.
<
|
>
|
|
Ответить
|
Re: Варусная деформация проксимального конца бедренной кости
Alexander Chelnokov 30 Март 2012, 15:37
|
>шеечно-диафизарный угол 90 градус. Признаки артроза 2 ст. Некоторые коллеги предлогали
подвертельную остеотомию с фиксацией гамма гвоздем. Некоторые за эндопротезирования, но
Так, абстрактно, если сустав безболезненный, движения есть, деформация внесуставная, надо делать вальгизирующую остеотомию. Технических нюансов много. Снимки бы увидеть, тогда можно что-то более конкретно посоветовать.
|
[
Ответить ]
|
Re: Варусная деформация проксимального конца бедренной кости
Отправитель: Алмасбек 02 Апрель 2012, 18:05
|

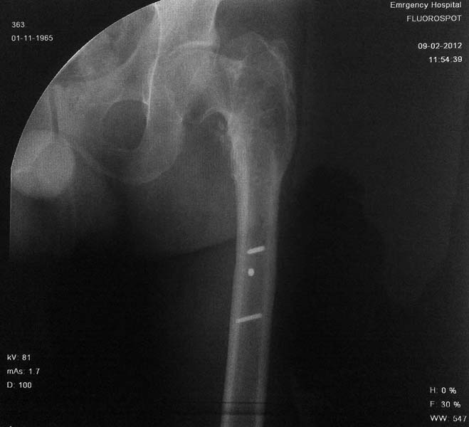
Рентгенограмма пациента А 49 лет с диагнозом: Неправильно консолидированный подвертельный перелом левой бедренной кости, с варусной деформацией.
На рентгенограммах левого тазобедренного сустава шеечно-диафизарный угол 90 градус. Признаки артроза 2 ст и очаг остеосклероза в проекции ШДУ (указан стрелкой).
|
[
Ответить ]
|
Re: Варусная деформация проксимального конца бедренной кости
Отправитель: Alexander Chelnokov 04 Апрель 2012, 02:12
|
Да, тут вполне очевидно надо делать вальгизирующую остеотомию. Сделайте снимок с максимальным приведением, это покажет возможную коррекцию.
Межвертельная остеотомия, если не удалять сломанные винты, то фиксировать лучше пластиной, клинковой 130-градусной или DHS. Тогда клин иссечь из периферического фрагмента.
Мы бы сделали с фиксацией гвоздем, с открытым клином.
|
[
Ответить ]
|
|
Re: Варусная деформация проксимального конца бедренной кости
Andrey Lifanov 01 Апрель 2012, 00:23
|
Вальгизирующая остеотомия с фиксацией пластиной. Выложите Р-гр.
|
[
Ответить ]
|
( Ответить )
|
|