ВХОД ДЛЯ ПАЦИЕНТОВ
вверх
поиск
админ
главная
|
Возможно ревизионное колено? |
 |
 |
 |
Прислано Виноградский Александр 02 Апрель 2012, 20:00
из СОКП ГВВ
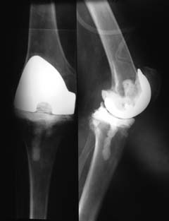
Уважаемые коллеги! Пациент мужчина 62 года, эндопротезирование коленного сустава в сентябре 2011 в одном из соседних учреждений. Множественные операции по восстановлению связок в анамнезе.
Под наше наблюдение попал спустя 3 месяца с клиникой глубокой перипротезной инфекции. Гнойный свищ, MRSA в посеве. Выполнено удаление протеза, некрэктомия, установка цементного спейсера. Заживление первичное, а\б терапия по посевам, в течении 2 месяцев положительная динамика, нормализация лабораторных показателей. В последующем усиление болей, отек, разрушение спейсера по рентегнограммам. Взят в операционную для повторной некрэктомии, удаления спейсера. Во время операции выявлено- отсутствие явного гнойного содержимого, ткани более жизнеспособные, чем во время первого удаления, отсутствие значительного прогрессирования костных дефектов. Решено от одномоментного артродеза воздержаться, конечность стабилизирована дистракционным аппаратом. В интраоперациооных посевах St.aureus. В настоящее время две недели после операции, встает вопрос о возможностях далнейшего лечения. Ревизонное колено? Еще раз после спейсера или сразу? Или артродез?
Обратите внимание: Поля с жирными названиями обязательны.
Старайтесь отвечать в рамках обсуждаемой темы, а не начинать новые обсуждения.
Указывайте адекватную тему сообщения, чтобы было ясно, о чем оно.
Не послайте сообщений не по теме (оффтопик), раздраженных, грубых или обидных комментариев. Здесь это неуместно.
|