Ответить
|
Re: Перелом лопатки
Pavel Volykov 09 Апрель 2012, 19:58
|

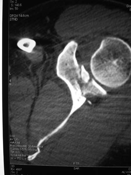
КТ отправляю
|
[
Ответить ]
|
Re: Перелом лопатки
adonin 10 Апрель 2012, 04:33
|
Я бы оставил все как есть. ориентация гленоида нормальная, перелом суставной поверхности без существенного смещения
Вообще, больших серий наблюдений по переломам лопатки нет ( по крайней мере, в англоязычных учебниках, или, по крайней мере, мне таковые неизвестны), современные рекомендации основаны на наблюдениях в лучшем случае десятка-двух больных, ни о каких рандомизированных исследвоаниях и метаанализах речи нет.
|
[
Ответить ]
|
Re: Перелом лопатки
Ostanin 10 Апрель 2012, 23:20
|
Дезо бы заменил на подушку или подобие отводящей шины - иммобилизация в любом случае не меньше 4 недель. Понятно, что неудобно, но тем не менее (хотя не уверен - какой нынче тренд про отведение плеча при длительной иммобилизации?).
Про внутрисуставной характер - есть и есть, особого резона в оперативном лечении не вижу. Случай редкий, интересно во что выльется.
|
[
Ответить ]
|
Re: Перелом лопатки
Sereda Andrey 11 Апрель 2012, 13:41
|
Латеральный край лопатки развернут в антеверсию вместе с суставной впадиной лопатки, плюс суставная впадина при этом мигрировала медиально. В таком случае считаю важным развернуть латеральную "колонну" обратно путем остеосинтеза тела лопатки. Внутрисуставные фрагменты пока загадка. Сами по себе они могут особо не мешать, но там может быть тяжелый SLAP.
|
[
Ответить ]
|
Re: Перелом лопатки
Pavel Volykov 11 Апрель 2012, 20:54
|
Всем спасибо. Пациента решили все-таки вести консервативно. Сегодня выписали
|
[
Ответить ]
|
( Ответить )
|