вверх
отправить
поиск
админ
главная
|
Несращение дистального отдела костей голени |
 |
 |
 |
Отправлено Marat 03 Май 2012, 04:45
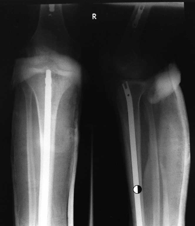
Коллеги, помогите определиться с тактикой лечения сложного пациента Пациент 19 лет, лечится с 17 лет, когда был перелом костей н/3 голени и был оперирован пластиной. Через год - повторный перелом с повреждением пластины (по видимому ложный сустав) , соответственно вторая операция - БИОС б/бецовой кости стержнем ChM с биодеградирующей крошкой в область ложного сустава на метафизе и фиксацией серкляжами + остеосинтез м/берцовой кости пластиной.Далее через несколько месяцев после операции осенью 2012 года также после нагрузок ломается уже стержень в области метафиза с деформацией голени. В связи с чем оперируется уже в третий раз в январе 2012 г., где после длительной операции удалить стержень до конца не удается (на снимках все дистальные винты стержня и сломанный его фрагмент, а также серкляжи - удалены), ставится пластина(!)- видимо фиксировали тем, что было под рукой. Как выяснилось позже, был план по установке АВФ, но проксимальный фрагмент стержня оказался из разряда неудалимых и, пришлось оставлять его (!).На сегодня ситуация следующая. Парень обратился на консультацию, нога в лонгете. На снимках - деформация н/3 голени с миграцией пластины, часть стержня в проксимальном фрагменте, перелом пластины на малоберцовой кости. Кожа чистая, воспаления и свищей нет. Хотелось бы услышать Ваше мнение по тактике лечения.
<
|
>
|
|
Ответить
|
Re: Несращение дистального отдела костей голени
Galina Diachkova 03 Май 2012, 22:23
|
Уважаемый коллега! Позволю себе посоветовать для лечения аппарат Илизарова, который был показан больному в самом начале.
Файл Word, 143 Kb
В приложении -результат лечения в Центре Илизарова.
Больной был обследован методом КТ, плотность костной мозоли- 610 HU. Рефрактуры, деформации не было.
Г.В.Дьячкова.
|
[
Ответить ]
|
Re: Несращение дистального отдела костей голени
Ушаков Сергей 03 Май 2012, 22:27
|
Добрый день! Уважаемый Марат. Судя по всему вы представили рентгенограммы после второго этапа лечения. никакой миграции стержня нет и не могло быть. С большей вероятностью штифт введен в порочном положении на фоне трудно устраняемой многоплоскостной деформации,обусловленной тугоподвижным ложным суставом с синостозированием дистального межберцового синдесмоза. Поэтому поломка фиксатора гарантирована. Для определения дальнейшей тактики, хотелось бы лицезреть рентгенограммы последнего этапа лечения! А так же внешний вид конечности. Действительно ли нет свищей?! после такого то количества вмешательств на дистальном сегменте голени. Это не ирония. Очень важно оценить на ряду с проблемами скелета состояние мягкотканного компонента (свищи: да,нет; рубцы и их локализация; нейродистрофический синдром).От этого зависит дальнейшая тактика. Возможно несколько вариантов:
1.Удаление всех металлоконструкций (для удаления проксимальной части штифта необходимо выполнить продольную или Г-образную продольно ориентированную "ограниченную" (5-6 см) остеотомию в области истмуса, после чего штифт удаляется без проблем, но необходимо начать с полупоперечной остеотомии, с целью ограничения возможных расщепов до проксимального отдела большеберцовой кости. Остеосинтез по Илизарову с остеотомией обеих костей на вершине деформации и дистракционным остеосинтезом с устранением деформации на шарнирах. Либо клиновидная резекция с последующим дистракционным остеосинтезом.
2. Накостный остеосинтез большеберцовой кости пластиной LCP после остеотомии и исправления деформации, но с предполагаемым укорочением (о чем необходимо предупредить пациента).
3. По мимо прочего оценить функцию голеностопного сустава и выполнить первичный артродез голеностопного, подтаранного суставов при помощи АВФ или БИОС, но после устранения многокомпонентной деформации дистального сегмента голени. С уважением Сергей.
|
[
Ответить ]
|
Re: Несращение дистального отдела костей голени
Leonid Solomin 04 Май 2012, 01:57
|
... засылайте, Marat, его нам, в РНИИТО им. Р.Р. Вредена (по квоте).
С уважением,
Л.Соломин
|
[
Ответить ]
|
Re: Несращение дистального отдела костей голени
Alexander Chelnokov 04 Май 2012, 02:15
|
Тут надо все удалять. Кстати, пластина на малоберцовой, как пишут P.Rommens со товарищи (2012), в 8 раз увеличивает риск несращения большеберцовой при штифтовании.
Не очень понятны трудности с удалением проксимальной (?!) части гвоздя - резьба сорвана? Если нет, то привинченный скользящий молоток - это страшная сила. Можно подготовиться, взять утяжеленный. Можно еще вдоль гвоздя рассверлить каналы спицей 3 мм или развертками 4-5 мм. Ни разу не приходилось делать остеотомию при целом проксимальном конце гвоздя с резьбовым каналом.
Дальше - если ложный сустав - остеотомия малоберцовой и закрытая коррекция большеберцовой, с последующим гвоздем с антибактериальным покрытием. В дистальный отломок отклоняющие спицы, подготовить там канал длинной развертой, в общем, на этот раз правильно фиксировать, не в смещении. Понятное дело, 4-5 запирающих винтов надо.
Если сращение - поперечная остеотомия чуть ниже несращения, далее то же самое.
С пластинами тут связываться вряд ли стоит, как раз нагноение тут и наконец-то восторжествует.
Можно и аппаратом все начать и до конца провести, лет 10 назад так бы и сделали.
|
[
Ответить ]
|
Re: Несращение дистального отдела костей голени
Marat 04 Май 2012, 04:00
|

Вчера не вышло выслать все фото. Последние снимки более более драматичные, как раз с куском проксимального стержня и пластиной что не к месту!
|
[
Ответить ]
|
Re: Несращение дистального отдела костей голени
Ушаков Сергей 05 Май 2012, 00:47
|
пластина для проксимального отдела плеча, заканчивающаяся на уровне ложного сустава, конечно не к месту.и вновь состояние мягкотканного компонента?.... Аппарат Илизарова. Суважением Ушаков С.
|
[
Ответить ]
|
Re: Несращение дистального отдела костей голени
Marat 05 Май 2012, 10:12
|
Спасибо за ответы.
Со слов отсутствовала заглушка на проксимальном конце стержня и была сорванная резьба. Потуги с обеих концов не достигли успеха. Одно проксимальное отверстие через которое происходило выбивание стержня было порвано. До остеотомии не дошли, видимо времени было потрачено достаточно много.
Сомневаюсь, поможет ли теперь ограниченная 5-6см Г-образная остеотомия для извлечения проксимального конца стержня. Т.е. добиваемся декомпрессии в области истмуса и стержень легко извлекается?
Кожа чистая, воспалений и свищей нет.
Еще одна версия лечения высказана теоретиками - оставить в покое прокс. кусок стержня и фиксировать дистальной пластиной LCP как при перипротезных переломах.
На очереди на операцию по квоте уже стоят, обещают годика через два она подойдет)))
И еще снимок в/3 голени:
|
[
Ответить ]
|
Re: Несращение дистального отдела костей голени
Отправитель: VlaD 06 Май 2012, 02:17
|
Здравствуйте, уважаемые коллеги.
Проксимальную часть стержня (при любой последующей тактике лечения) необходимо извлечь. Для этого необходимо изготовить нестандартный экстрактор, который представлял бы собой полый цилиндр длиной 5 см, с внутренним диаметром на 0,5 мм больше диаметра стержня, с поперечным сквозным отверстием с резьбой на одном конце и скользящим молотком на втором. Полый цилиндр одевается на проксимальную часть стержня, отверстия на цилиндре совмещаются и блокируются винтом без головки. Молоток для выбивания должен быть тяжёлым. В своей практике не удаляемых стержней встречать не доводилось. Также не доводилось делать продольные остеотомии кости. Что касается дальнейшей тактики, мы бы удалили все металлоконструкции, резекция 0,5 см малоберцовой кости на вершине деформации, устранение деформации большеберцовой кости в репозиционном аппарате (что позволяет обойтись без отклоняющих винтов) на операционном столе, рассверливание сверлом на 1 мм больше диаметра извлечённого стержня. Остеосинтез блокированным стержнем такого же диаметра как и извлечённый с дистальным блокированием 4-5 винтами, проведёнными в полиаксиальных плоскостях. Стержень необходим без длинного отверстия на дистальном конце (самое слабое место в таком стержне). В послеоперационном периоде рекомендовали бы сразу полную нагрузку на ногу.
С уважением, VlaD.
|
[
Ответить ]
|
Re: Несращение дистального отдела костей голени
Отправитель: Marat 14 Май 2012, 02:54
|
Интересная идея насчет нестандартного экстрактора, только проксимальный конец откушенного стержня деформирован и посадить цилиндр один в другой не получится.
И нужно ли вновь возвращаться к БИОС? Уже было дистальное блокирование с полиаксиальными винтами с цементом и серкляжами впридачу, теперь там каша из отломков.
|
[
Ответить ]
|
|
Re: Несращение дистального отдела костей голени
Maxim Agalakov 05 Май 2012, 14:43
|
Cкорее всего инфицированный ложный сустав, это нужно подтвердить или опровергнуть (СРБ, посевы пунтата, сцинтиграфия). Дальше чем - лучше владеете, аппарат с возможной конверсией в гвоздь или masquelet попробовать.
С уважением, Максим Агалаков
|
[
Ответить ]
|
Re: Несращение дистального отдела костей голени
Ушаков Сергей 07 Май 2012, 02:51
|
День добрый! Предложенная методика в условиях сломанного проксимального отдела стержня является альтернативным вариантом. однако есть риск ятрогении и "второго" околосуставного перелома в пределах одного сегмента, а судя по представленным рентгенограммам, пациент с политравмой, и, вероятнее всего, движения в коленном суставе значительно ограничены уже. Декомпрессия в области истмуса в данном случае вполне оправдана, а продольный "расщеп" всегда можно фиксировать компрессирующими винтами. с уважением Ушаков С.
|
[
Ответить ]
|
Re: Несращение дистального отдела костей голени
Александр Т. 09 Май 2012, 09:28
|
Уважаемый Marat! Учитывая предстоящее обязательное удаление обеих пластин, коррекцию оси б/б кости и, как следствие, ревизию зоны ложного сустава, наиболее целесообразным представляется ретроградное "выбивание" проксимального фрагмента стержня через костно-мозговой канал. В моей практике приходилось несколько раз (6) прибегать к этому методу. В качестве "кондуктора" обычно использовали равноразмерный прямой и/м стержень. Во всех случаях процедура удаления была эффективной и достаточно быстрой. После удаления всех металлоконструкций тактика будет зависить от состояния мягких тканей. Оптимальный вариант - умеренно упитанный пациент с хорошей трофикой тканей в зоне л/с (очень редкий случай) - оптимально использовать предызогнутую пластину с угловой стабильностью. Если состояние тканей сомнительное - то по мудрому совету колег - реостеосинтез БИОС с соблюдением методики, либо аппарат Илизарова.
С уважением и успеха в лечении.
Александр Т.
|
[
Ответить ]
|
( Ответить )
|
|