Ответить
|
Re: Патология переднего отдела стоп - косметический дефект
Джонатан 06 Май 2012, 07:42
|
основную фалангу наверно оптим. вариант. чем фиксировать? может спицей+вокруг пластырем или чем пожестче, через 1-2 мес срастеться
вообще - у нее вариант "мужской" стопы. думаю, что ноги у нее варусные!))
|
[
Ответить ]
|
Re: Патология переднего отдела стоп - косметический дефект
Шведовченко Игорь Владимирович 06 Май 2012, 19:26
|
Уважаемый Антон, это греческий тип стопы. Размеры плюсневых костей вполне пропорциональны. Обратите внимание на длину основных фаланг 2-х пальцев, мне кажется, что укорачивать надо их. Какими способами? Их великое множество, как и фиксаторов для этой цели. Но не жертвуя для этой цели суставами, во всяком случае плюсне-фаланговым и проксимальным межфаланговым.
|
[
Ответить ]
|
Re: Патология переднего отдела стоп - косметический дефект
Бережной Сергей 07 Май 2012, 09:43
|
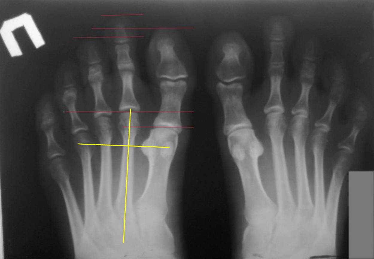
Хорошо, что пациентка отказалась от удлинения 1 плюсневой. Это привело бы к быстрому развитию hallux limitus и артроза.

А почему Вы подумали, что 1 плюсневые укорочены? На представленной Вами рентгенограмме я провел перпендикуляр к оси 2 плюсневой кости на уровне середины латеральной сесамовидной. Линия прошла точно через середину головки 4 плюсневой. Это норма. То есть, длины 4 и 5 плюсневых соответствуют длине первой. А вот длины 2 и 3 плюсневых значимо преобладают над длиной первой. В такой ситуации развитие молоткообразной деформации 2 пальца вполне естественно. Есть ли у пациентки натоптыш под головкой 2 плюсневой? Пусть даже и бессимптомный. Если есть, то лучше всего совместить укорочение основной фаланги с остеотомией 2 плюсневой по Вейль. Сама по себе эта остеотомия дает укорочение до 3-5мм. И одновременно позволяет вывести из-под повышенной нагрузки головку 2 плюсневой. Вмешательство на фаланге и плюсневой кости можно делать из одного доступа.
|
[
Ответить ]
|
Re: Патология переднего отдела стоп - косметический дефект
Дмитрий 09 Май 2012, 04:57
|
Мое мнение, что удлинять 1 плюсневую кость не стоит по нескольким причинам: разовьется артроз 1 плюснефалангового сустава, появится косметический дефект в виде рубца и как было сказано выше длинна 1 плюсневой кости нормальная. Мое мнение что надо делать остеотомии 2 и 3 плюсневых костей с их укорочением, при наличии натоптышей с изменением угла наклона данных костей.
|
[
Ответить ]
|
Re: Патология переднего отдела стоп - косметический дефект
Зубенко Андрей 10 Май 2012, 05:50
|
Ув. Антон!
Вы можете повлиять на ситуацию используя остеотомию Weil с косой резекцией субкапитального фрагмента второй плюсневой кости. К сожалению не могу Вам дать ссылку на литературу, может, коллеги помогут, но Вы можете посмотреть эту операцию в youtube она там широко представлена
|
[
Ответить ]
|
( Ответить )
|