Ответить
|
Re: Дефомация коленного сустава
Батал Шушания 12 Май 2012, 22:48
|
очень мало информации!Нет Жалоб пациентки,что её конкретно беспокоит, боль или косметический дефект! В объективном статусе: внешний вид нижних конечностей спереди сбоку сзади, в чем причина контрактуры (неправильная реабилитация или еще что-то), рентгнеография всей конечности в прямой и боковой проекциях, положение надколенника при различных углах сгибания. Есть у Вас результат МРТ - оценка состояния менискового аппарата, крестообразных и боковых связок. Далее, как вы планируете решить проблему с контрактурой (Ваш взгляд). Так что, прежде чем сообществу ставить вопрос на обсуждение, нужен больший объем информации! Это еще раз о качестве предоставления материала на обсуждение.
|
[
Ответить ]
|
Re: Дефомация коленного сустава
Alexander Chelnokov 12 Май 2012, 23:25
|
Не очень понятно, про какую именно остеотомию идет речь - уровень?
Если проблема во вдавлении суставной поверхности, то надо поднимать ее, не так ли?
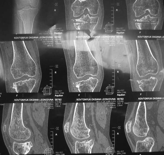
Надо на КТ посмотреть для планирования.
|
[
Ответить ]
|
Re: Дефомация коленного сустава
Батал Шушания 12 Май 2012, 23:44
|
Мне кажется, нужно понять характер полученного перелома тибиального плато, степень и характер смещения отломков, есть ли дефект поверхности тибиального плато. На все это ответит КТ исследование! Тогда Вы тут остеотомией ничего не получите. Дообследуйте пациентку.
|
[
Ответить ]
|
Re: Дефомация коленного сустава
Ihor 13 Май 2012, 01:57
|
Спасибо за замечания ,

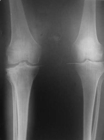
Жалобы на деформацию и нарушение функции правого коленного сустава .Внешний вид –вальгусная деформация на уровне коленного сустава .Коленный сустав стабильный, надколенник при сгибании в правильном положении.
Планируэм провести остеотомию на уровне проксимального метафиза большеберцовой кости .
|
[
Ответить ]
|
Re: Дефомация коленного сустава
Отправитель: Олег Бондарев 15 Май 2012, 02:07
|
При сросшемся импрессионном переломе коленный сустав в положении разгибания часто стабилен. Вальгусная нестабильность будет проявляться на дуге 30-60град. Если так, то остеотомию следует делать над уровнем прикрепления связок с ориентацией долота на межмыщелковое возвышение. Костная пластика обязательна. Пластина отмоделированая под наружный мыщелок (блокирование не принципиально). Томофикс для этой поверхности не подойдет. Гиперкоррекция около 5 град.
С уважением.
|
[
Ответить ]
|
|
Re: Дефомация коленного сустава
Alexbone 13 Май 2012, 07:47
|

Имеется ввиду остеотомия, представленная на рисунке, TOMOFIX, только латерально. Согласен.
В отношении состояния суставной поверхности - даже при большом повреждении думаю такой молодой девушке не показан эндопротез. Его можно будет поставить через много десятков лет. Всегда успеется :)
Просмотрев всю имеющуюся у меня литературу нашел лишь данные по США - 12% посттравматического ОА у больных с травмами колена. При переломах плато авторы более склонны к развитию нестабильности коленного сустава, чем к артрозу.
Привожу некоторые выдержки:
1. The incideoce of functionally limitiog arthritis after tibial plateau fractures is not well defined but does not appear to be directly related to the quality of the articnlar reduction.
2. There is no universal agreement on the
amount of articular depression that can be accepted; ranges from 4 to 10 mm have been described as tolerable. Long-term studies (>20 years’ follow-up) have indicated a lack of correlation between residual osseous depression of the joint surface and the development of arthrosis.
3. Joint deformity or depression that is
significant enough to produce joint instability or dynamic alteration of the mechanical axis is predictive of a poor result.
4. There are no accurate data on the amount (area) of articular displacement and
depression that leads to degenerative joint disease.
Поэтому, конечно, лечим пациента, а не снимок. А если лечащий врач решил применить оперативное лечение, то логично иметь на это причины (нестабильность и др.), которые иногда для нас можно опустить (это к вопросу о полноте анамнеза, симптомов). Часто нужен просто "механический" совет, как и каким способом можно фиксировать, исправить. А когда свищи на коже или еще что, то конечно понятно что их лечить надо, а не обременять пациента лишним металлом.
|
[
Ответить ]
|
Re: Дефомация коленного сустава
Alexbone 13 Май 2012, 08:27
|
Если есть загадочное нарушение функции коленного сустава - боюсь предположить нестабильность, просто нужно хорошенько обследовать, покрутить коленку.
Прилагаю дополнения...
1. Rasmussen Acta Orthop Scand 1972; 43:566-572
Incidence of arthrosis:
Valgus < 10o 14%
Valgus > 10o 79%
2. Honkonen J Orthop Trauma 1995; 4:273-77
70% arthrosis in patients who had undergone meniscectomy
3. Rasmussen Acta Orthop Scand 1972; 43:566-572
46% arthrosis in patients with mediolateral instability (17% incidence in all others)
4. Honkonen J Orthop Trauma 1995; 4:273-277
69% arthrosis in patients with mediolateral instability > 10o
5. Rasmussen, JBJS, 1973
Secondary OA in 17-21% of fractures
13% with normal angulation
31% in those with valgus
46% in those with instability
6. Honakanen, J Orthop Trauma, 1995
Medial Tilt = More OA than Lateral Tilt
|
[
Ответить ]
|
Re: Дефомация коленного сустава
Maxim Agalakov 14 Май 2012, 11:39
|
У меня был пациент, которому неправильно сросшийся перелом н/мыщелка помог избежать развития значимого гонартроза (вторую коленку запротезировали)
|
[
Ответить ]
|
Re: Дефомация коленного сустава
Отправитель: Хименко Сергей 19 Май 2012, 03:55
|
Подозреваю, что варусная деформация, имеющая место быть в случае гонартроза, была "уравновешена" вальгусом после импрессии наружного мыщелка. Снимки бы увидеть, если можно.
|
[
Ответить ]
|
|
Re: Дефомация коленного сустава
Ihor 19 Май 2012, 02:43
|
Здравствуйте, уважаемые коллеги.
Большое спасибо за Ваши профессиональные советы .Разрешите задать вопрос иначе . Возможно ли выполнить резекцию по медиальной стороне большеберцовой кости (closing wedge osteotomy) для устранения вальгусной деформации коленного сустава.
С уважением,
Ihor.
|
[
Ответить ]
|
Re: Дефомация коленного сустава
Отправитель: Алибек 21 Май 2012, 09:54
|
Игорь Вы правы. мне кажется,надо менять наклон наружного плато,чтобы слегка "утопить" межмыщелковое возвышение.Для этого нужна остеотомия наружного мыщелка(косая,но по направлению к межмыщелковому возвышению.Коррекция только угловая с костной пластикой открывшегося угла. Ревизия сустава обязательна.
|
[
Ответить ]
|
|
( Ответить )
|