AOTRAUMA.ORG Центр Илизарова  

Ортопедия и травматология Общие вопросы/General questions Help Информационные технологии в медицине
 вверх
 отправить
 поиск
 админ
 главная


Дефект проксимального отдела плеча
Ортопедия и травматология Отправлено Леонид Пак 17 Май 2012, 18:50
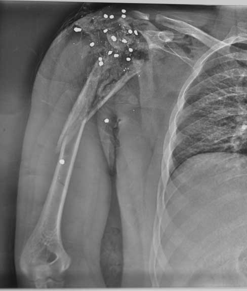
Молодой человек 25 лет поступил с огнестрельным ранением области плечевого сустава.
травма 12.05.12 - огестрельное ранение правого плечевого сустава, открытый многооскольчатый перелом проксимального отдела плеча с переходом на диафиз. стреляли практически вупор. Входное отверстие округлое диам 3 см по передней поверхности дельтовидной области, выходных отверстий множество диам до 0,5 см больше по задне верхней поверхности дельтовидной области. при поступлении - ПХО при ревизии - удален пластиковый пыж, повреждена вся дельтовидная мышца частично повреждены надостная подостная мышцы, капсула сустава разорвана в клочья,сухожилия ротаторной манжеты также разорваны в кашу, головка плеча - ее не было - просто костная каша в ране, кроме того выявлен перелом акромиона. гленоид практически не пострадал. Рана промыта нежизнеспособные ткани иссечены, костная крошка удалена. швы на рану, перелом стабилизирорван стержневым аппаратом. На сегодняшний день - рана без воспаления, заживление первичное. Движения в кисти, локтевом суставе в полном объеме. Вопрос к уважаемому сообществу - что делать? С уважением Леонид Пак

<  |  >

 

  • Сообщения о Ортопедия и травматология
  • Также Леонид Пак
  • Связаться с автором
  • Ответить

    Re: Дефект проксимального отдела плеча
    Юрий Кавецкий 17 Май 2012, 20:52
    Думается, что если рана заживает первично то и хорошо. Аппарат внешней фиксации держит- тоже хорошо. Скорее всего все закончится эндопротезированием. Отпускайте домой месяца на 2 а там рентгенконтроль и посмотрите что делать.
    [ Ответить ]

    • Re: Дефект проксимального отдела плеча
      Отправитель: Дедок Михаил 17 Май 2012, 22:53
      А будет ли толк от эндопротезирования, если от манжеты почти ничего не осталось?

      [ Ответить ]
      • Re: Дефект проксимального отдела плеча
        Отправитель: Леонид Пак 18 Май 2012, 03:30
        Об этом и речь ! Я специально акцентировал внимание на локальном статусе. Или есть какие технологии? Кто владеет?
        С уважением Леонид Пак

        [ Ответить ]
        • Re: Дефект проксимального отдела плеча
          Отправитель: Ivan Petrov 24 Май 2012, 12:09
          Присоединяюсь к мнению одного из коллег - рассмотрите вариант подготовки плеча к реверсивному эндопротезу.

          [ Ответить ]
      • Re: Дефект проксимального отдела плеча
        Отправитель: Ostanin 18 Май 2012, 21:07
        C языка сорвал)))

        [ Ответить ]
    Re: Дефект проксимального отдела плеча
    Ostanin 17 Май 2012, 22:53
    Закончится-то все протезом, но кто им шевелить будет, если от ротаторов и дельты ничего не осталось? Главной задачей будет как раз "мотор", а не "шарнир".
    [ Ответить ]

    Re: Дефект проксимального отдела плеча
    adonin 18 Май 2012, 01:54
    Ничего больше не делать. У меня лет 7 назад был такой точно больной - водитель такси, выстрел из обреза в упор ( c переднего пассажирского сиденья) в плечо. из недочищенной костной крошки вырос неплохой регенерат, движений в плеч суставе, конечно, нет, за счет тораколопаточной артикуляции градусов 30 отведения и сгибания, боли нет
    [ Ответить ]

    Re: Дефект проксимального отдела плеча
    Maxim Agalakov 18 Май 2012, 10:03
    Срастить плечо, затем ЛФК. После сращения, если не будет сильно болеть - оставить как есть, если основной жалобой будет боль - протезировать.
    [ Ответить ]

    Re: Дефект проксимального отдела плеча
    Эдуард Р. 20 Май 2012, 11:32
    реверсивный протез дельта - функция за счет дельтовидной мышцы
    [ Ответить ]

    Re: Дефект проксимального отдела плеча
    Paul 23 Май 2012, 19:57
    Наиболее правильное решение аппарат внешней фиксации. В своё время применил фикацию проксимального уастка (лопатки)спицами через клювовидный отроток и в ость лопатки - несколько слепых спиц - получилась стабильная фиксация с помощью которой удалось закрыто вправить заднй вывих плеча. Ядумаю для формирования фидрозного анкилоза или артродеза будет достаточно.
    [ Ответить ]


    ( Ответить )

    Powered by Zope  Squishdot Powered MedLink
    Посетитель: 0000095
      "По форме правильно, а по существу - издевательство" В.И.Ленин
    ©2001-2019Orthoforum Coordinator.
    [ Главная | Отправить сообщение | Поиск | Админ ]