Ответить
|
Re: проксимальное бедро.
Alexbone 18 Май 2012, 03:39
|
Как советуют старшие коллеги - применяйте то, чем лучше владеете. На такой сложный перелом просится гвоздь - менее инвазивно и более стабильно. Было время когда в моей практике гвозди были еще недоступны и на такие переломы ставили DHS, иногда со второй накладной пластиной TSP для стабилизации большого вертела (часто трескался). Тогда ждали пока видна будет мозоль, а с гвоздем можно мобилизовать пациента в более быстрые сроки.
|
[
Ответить ]
|
Re: проксимальное бедро.
игорь 19 Май 2012, 02:47
|
Как по мне, так просится проксимальная бедренная пластина с блокированием(та где вводятся спонгиозные винты в головку)
|
[
Ответить ]
|
Re: проксимальное бедро.
Отправитель: Cергей 21 Май 2012, 23:26
|
КАКАЯ ПЛАСТИНА???? Зачем???? Только длинная версия проксимального стержня
|
[
Ответить ]
|
|
Re: проксимальное бедро.
Иван 19 Май 2012, 17:30
|
Удлиненная версия какого-нибудь цефаломедуллярного стержня.
|
[
Ответить ]
|
Re: проксимальное бедро.
Отправитель: Владимир 20 Май 2012, 20:54
|

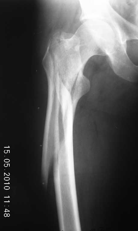
добавлю боковую проекцию(на месте) Какой стержень предназначен для таких переломов?
|
[
Ответить ]
|
Re: проксимальное бедро.
Отправитель: Иван 25 Май 2012, 19:23
|
к примеру такой:

|
[
Ответить ]
|
Re: проксимальное бедро.
Отправитель: Alexander Chelnokov 28 Май 2012, 07:17
|
Если пациент молодой - то нет необходимости использовать проксимальные бедренные гвозди для остеопроозных переломов (с диаметром прокимальной части 15-17 мм и шеечными винтами 10-12 мм). Вполне сгодится более изящный реконструкционый гвоздь с проксимальным диаметром 13 мм и винтами 6,5 мм.
|
[
Ответить ]
|
|
( Ответить )
|