AOTRAUMA.ORG Центр Илизарова  

Ортопедия и травматология Общие вопросы/General questions Help Информационные технологии в медицине
 вверх
 отправить
 поиск
 админ
 главная


ДОА 1-го плюснефалангового сустава
Ортопедия и травматология Отправлено Быстров Сергей 21 Май 2012, 11:24 Тверь
Коллеги, помогите с тактикой дальнейшего лечения.
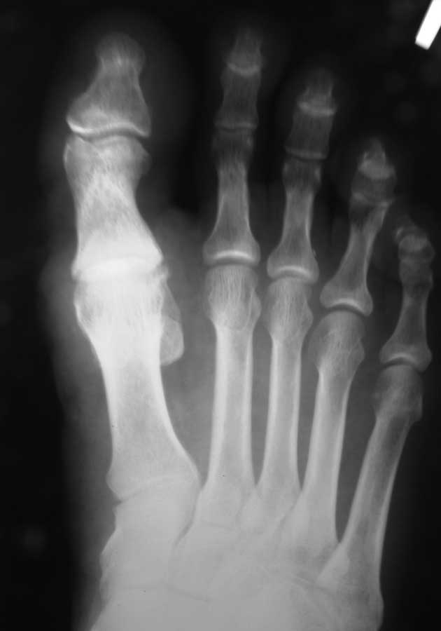
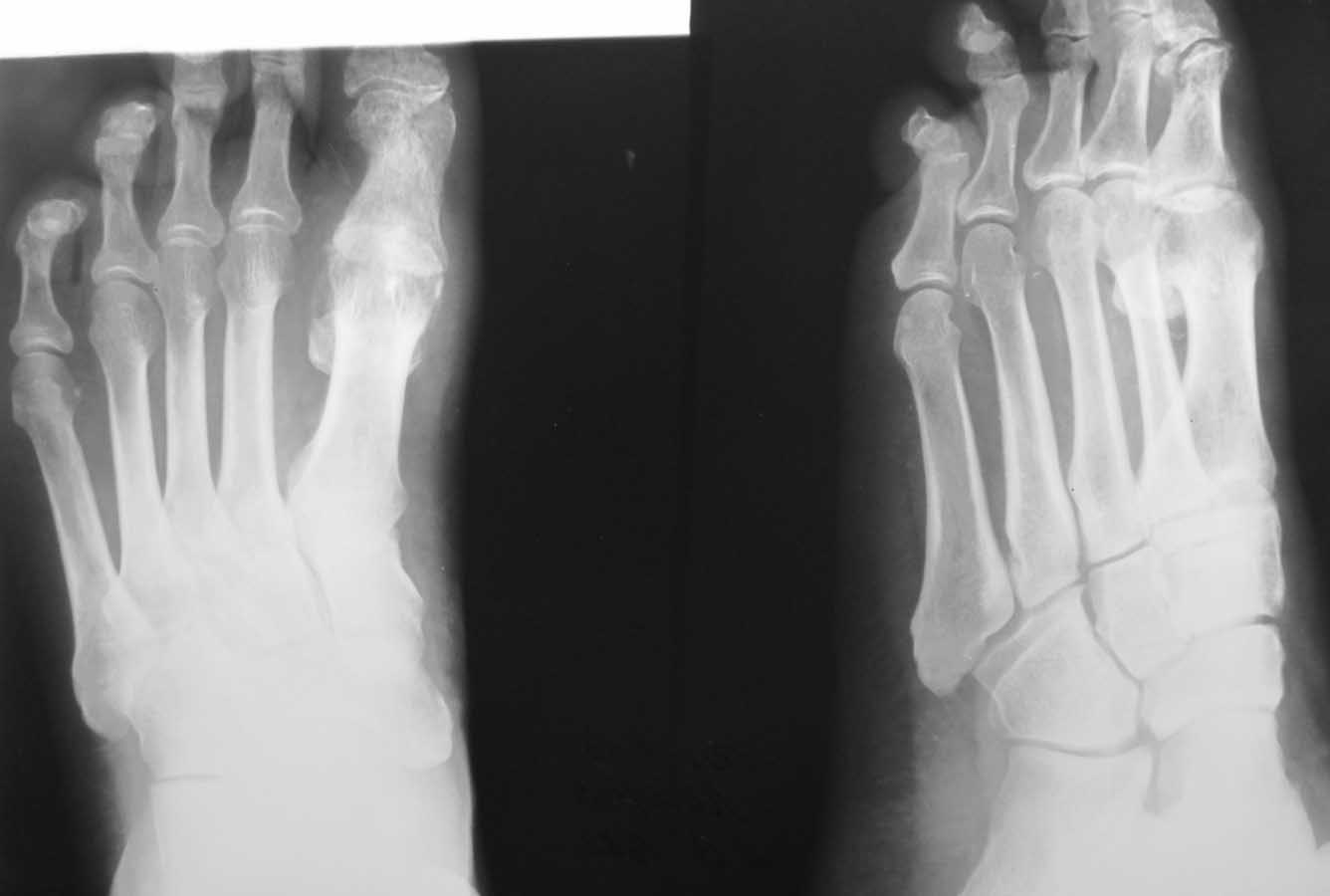
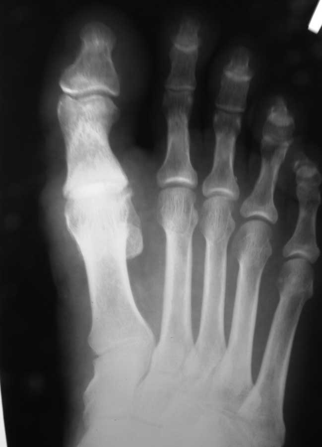
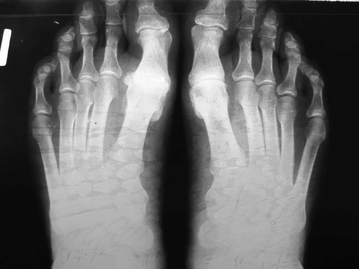
Здравствуйте, коллеги. Помогите с тактикой дальнейшего лечения.Мужчина 52 года, активный физически. В марте 2012 оперирован по поводу ДОА плюсне-фалангового сустава 1 пальца, сделана резекция основания основной фаланги и остеофитов головки плюсневой кости. Послеоперационное лечение: массаж, физиотерапия. В настоящее время беспокоят сильные боли в суставе, сохраняется ограничение движений. Дальнейшая тактика: артродез ПФС?, Эндопротезирование ПФС?, повторная резекция основной фаланги? Мнения наших коллег разделились. На фотографиях: вид стопы в настоящее время, рентгенограммы до операции, после операции, в настоящее время. Прошу прощения за неважное качество снимков.

<  |  >

 

  • Сообщения о Ортопедия и травматология
  • Также Быстров Сергей
  • Связаться с автором
  • Ответить

    Re: ДОА 1-го плюснефалангового сустава
    Батал Шушания 22 Май 2012, 02:15
    Мне кажется, нужна грамотная реабилитация! С первых дней нужно было активно двигать в сформированном суставе первого плюснефалангового сустава! А сегодня, боли скорее всего из-за неадекватной разработки объема движений в оперированном суставе!
    [ Ответить ]

    Re: ДОА 1-го плюснефалангового сустава
    адонин 22 Май 2012, 03:20
    артродез.
    [ Ответить ]

    Re: ДОА 1-го плюснефалангового сустава
    Maxim Agalakov 22 Май 2012, 13:00
    Просто удаление остеофитов не приводит к желаемому результату. Необходимо резецировать до 1/3 суставной поверхности головки, основание очистить от остеофитов с тыльной поверхности.
    Кликните для загрузки файла Рисунок1.jpg
    26KB (26993 bytes)

    [ Ответить ]

    Re: ДОА 1-го плюснефалангового сустава
    Бережной Сергей 22 Май 2012, 23:34
    Любой из рассматриваемых Вами вариантов имеет право на жизнь. Наиболее вероятная причина болей - слишком экономная резекция фаланги: адекватная декомпрессия сустава не достигнута. Протезирование 1 ПФС у молодого активного физически мужчины предполагает ревизию уже через несколько лет. Так что артродез или повторная резекция основной фаланги - равнозначные оптимальные варианты.
    [ Ответить ]

    Re: ДОА 1-го плюснефалангового сустава
    Бурков Дмитрий 23 Май 2012, 18:11
    У больного 1 плюсневая кость длинее 2 (в этом основная причина развития патологии). Молодой активный пациент с высокими требованиями, считаю, что эндопротезирование более оптимальный вариант. Эндопротезирование явлеяется альтернативой артродезу (который можно сделать всегда, но движений не будет уже) и артропластике (после которой рецидив будет очень быстро). Эндопротезированием можно восстановить и объем движений и функцию.
    [ Ответить ]

    Re: ДОА 1-го плюснефалангового сустава
    Дима 25 Май 2012, 12:16
    Считаю, правильным сделать артродез, потому как объем движений как мне кажется уже не большой и после еще одной операции врядли он станет больше, да потом еще придется удалять этот протез и делать тот же артродез, но с еще меньшим количеством костной ткани. Правильно сделанный артродез дает хорошие результаты.
    [ Ответить ]

    Re: ДОА 1-го плюснефалангового сустава
    Кравцов Олег 25 Май 2012, 20:28
    Причинами неудовлетворительного результата могли стать следующие: 1) недостаточная величина резекции основной фаланги и 2) "стирание" оставшегося хряща головки 1 ПК опилом фаланги. В своей практике обычно убираем больше кости (примерно 1/4 - 1/3 длины фаланги), опил моделируем, укрываем лоскутом капсулы или Артелоном (специальный биодеградируемый скользящий материал).
    В настоящее время возможны варианты:
    1) ничего не делать (только консервативное лечение) и посмотреть в динамике. Не исключено, что болевой синдром уменьшится (ориентировочно, через 6 мес. после операции), объём движений незначительно увеличится, и больной к Вам больше обращаться не будет.
    2) повторная резекция основания фаланги (опил необходимо укрыть), круговой релиз 1 ПФС. Ранняя разработка движений в суставе.
    3) эндопротезирование 1 ПФС, если это посильно для больного. На операции наверняка столкнётесь с тугоподвижностью, тщательно мобилизуйте сесамовидные кости и сухожилия коротких сгибателя, разгибателя, отводящей мышцы.
    4) артродез 1 ПФС. Наименее привлекательный вариант в плане функции. Пациент вернётся к тому, с чего начал (Hallux rigidus), только уже в необратимом варианте.
    Наилучшим вариантом представляется вар. 2, так как сохраняется собственная головка 1 ПК, которая хорошо переносит нагрузки (а в фазу заднего толчка на неё приходится до 70% веса человека). Имеем достаточно много отдалённых результатов: амплитуда движений в 1 ПФС 30 - 45 градусов, болевой синдром не беспокоит.
    Ничего не могу сказать про отдалённые результаты эндопротезирования (8 - 10 лет и больше), ближайшие - хорошие. В конце концов, при возникновении проблем в любом варианте никогда не поздно сделать артродез.
    Удачи!
    [ Ответить ]


    ( Ответить )

    Powered by Zope  Squishdot Powered MedLink
    Посетитель: 0000134
      "По форме правильно, а по существу - издевательство" В.И.Ленин
    ©2001-2019Orthoforum Coordinator.
    [ Главная | Отправить сообщение | Поиск | Админ ]