Ответить
|
Re: Ганглии на ахилловых сухожилиях
Андрей 31 Май 2012, 23:30
|
Уважаемый Юрий Алексеевич!
Оперировал один раз на двух стопах. Пациентка 22 года, активная спортсменка (рукопашный бой). Были основные жалобы на косметический дефект и РАЗНЫЙ РАЗМЕР ОБУВИ!!
Поперечным доступом по кожной складке образования удалены + часть костной ткани (краевое удаление). Заживление первичное. Результат через 3 года компенсированный ( не вызывающий жалоб) рецедив на одной стопе.
З.Ы. На гистологии фиброзная ткань (с большей доли вероятности рубцовоизмененное сухожилие)
С ув. Андрей
|
[
Ответить ]
|
Re: Ганглии на ахилловых сухожилиях
Ostanin 31 Май 2012, 23:51
|
Буквально сегодня снял швы - убрал, гистологи написали фиброму. На деле - плотно спаяное с ахиллом и бугром округлое образование - тоже боялся секануть лишнего. Доступ окаямляющий, иссек все нелицеприятное, зажило без происшествий.
|
[
Ответить ]
|
Re: Ганглии на ахилловых сухожилиях
Бережной Сергей 01 Июнь 2012, 00:53
|
Похоже на болезнь Хаглунда. Как раз, чаще всего у молодых женщин бывает. Нужно рентгенограммы пяток в боковой проекции посмотреть и фотографии пяток сзади. Если Хаглунд, то основная задача лечения - удаление костной выпуклости под ахилловым сухожилием. Делать это можно открыто, чрескожно, эндоскопически. Позадиахилловую слизистую сумку можно не иссекать. Ахиллово сухожилие постараться травмировать минимально. Но сначала нужно все-таки уточнить диагноз.
|
[
Ответить ]
|
Re: Ганглии на ахилловых сухожилиях
Батал Шушания 01 Июнь 2012, 13:22
|
Поддерживаю доктора, Бережного Сергея! Нужно выполнить рентгенографию, иногда даже МРТ для оценки состояния тканей данной области! На последнем съезде АСТАОР в апреле 2012 года как раз были Лекции, по инсерционным тендопатиям ахиллова сухожилия! Они, докладчики, выполняют в только эндоскопическое удаление таких образований(шевированием).Но не отрицали и открытое удаление!
|
[
Ответить ]
|
Re: Ганглии на ахилловых сухожилиях
Куликов Иван 06 Июнь 2012, 00:05
|
Здравствуйте. если еще актуально- 1.МРТ обязательно
2. скорее всего тендинопатия ахилового сухожилия, хотя и низковато.
3. удалял артроскопически. результат хороший. иммобилизации не требует, наоборот специфическая ранняя - степ- нагрузка.
конечно можно и открыто.
|
[
Ответить ]
|
Re: Ганглии на ахилловых сухожилиях
Отправитель: Бережной Сергей 06 Июнь 2012, 13:48
|
А чего удалял то?
|
[
Ответить ]
|
|
Re: Ганглии на ахилловых сухожилиях
Андрей Верховский 06 Июнь 2012, 22:30
|
Вероятнее всего речь идет об оссифицирующем тендините ахилловых сухожилий в сочетании с деформацией Haglund. Для диагностики наиболее подходит МРТ. Для лечения удалние оссификатов сухожилий, над и подсухожильных слизистых сумок, краевая резекция пяточных костей в области деформации + удаление кортикального слоя выше места фиксации ахилла + дополнительная фиксация анкером с нерассасывающимися нитями (так как причина недостаточность фиксации вследствие хронической травматизации либо значительного повышения нагрузок либо дегенерации самого сухожилия). Тогда можно рассчитывать на хороший долгосрочный результат.
|
[
Ответить ]
|
Re: Ганглии на ахилловых сухожилиях
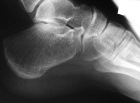
Юрий Алексеевич Булахтин 19 Июнь 2012, 13:50
|
Уважаемые коллеги!
Спасибо всем, кто принимает участие в обсуждении случая. Досылаю рентгенограммы и МРТ. Хотелось-бы уточнить объем резекции пяточных костей.

Юрий Алексеевич Булахтин
Камчатский Военно-морской госпиталь
|
[
Ответить ]
|
Re: Ганглии на ахилловых сухожилиях
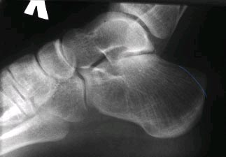
Батал Шушания 19 Июнь 2012, 23:40
|
Я думаю объем резекции должен быть в таком объеме.

|
[
Ответить ]
|
Re: Ганглии на ахилловых сухожилиях
Отправитель: Алибек 24 Июнь 2012, 19:23
|
Батал, прошу прощения, я был неправ. Не посмотрел внимательно фото и снимки.
|
[
Ответить ]
|
|
Re: Ганглии на ахилловых сухожилиях
Алибек 24 Июнь 2012, 19:04
|
Батал, надеюсь Вы шутите?
|
[
Ответить ]
|
Re: Ганглии на ахилловых сухожилиях
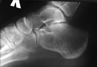
Отправитель: Юрий Алексеевич Булахтин 26 Июнь 2012, 16:16
|
Сегодня прооперировал пациентку. Результат идентичный на обеих ногах, выкладываю одну. Огромное спасибо всем коллегам за помощь.

Юрий Алексеевич Булахтин
Камчатский Военно-морской госпиталь
|
[
Ответить ]
|
|
( Ответить )
|