Ответить
|
Re: Перелом проксимального отдела локтевой кости
Paul 77 11 Июнь 2012, 16:00
|
Открытая репозиция перелома и стабилизация реконструктивной часто приводит к неудовлетворительным результатам. Несколько раз использовали пластину с угловой стабилизацией винтов. Хороший результат даёт остеосинтез спицами и проволочной петлёй (Вебер)
|
[
Ответить ]
|
Re: Перелом проксимального отдела локтевой кости
Anton Bekhterev 11 Июнь 2012, 16:08
|
Штифтом остеосинтез данного перелома возможен. Но зачем? Получится операция ради самой операции. Тот же Остеомед выпускает премоделированные пластины с угловой стабильностью для лечения переломов проксимального предплечья типа С.
|
[
Ответить ]
|
Re: Перелом проксимального отдела локтевой кости
Александр 11 Июнь 2012, 21:52
|
Из того, что удается рассмотреть на рентгенограммах такой вариант возможен, но я бы его не рассматривал, как основной.
Скорее стоит отдать предпочтение http://www.chm.eu/pk_5_458_472_265_1_plytki_blokowane_5_0chlp.html
или аналогам.
Альтернатива - Вебер. Последний дешев, надежен, проверен временем. :)
А что с головкой луча хотите делать?
|
[
Ответить ]
|
Re: Перелом проксимального отдела локтевой кости
Отправитель: Метелюк Игорь 11 Июнь 2012, 23:58
|
Спасибо за ответ. Мы думали о возможности малоинвазивно собрать перелом проксимального отдела локтевой кости (перелом распространяется значительно дальше локтевого отростка) блокируемым штифтом. Насколько будет стабилен остеосинтез по Веберу в этом случае? У компании "Синтез" для остеосинтеза таких переломов существует "олекранонная" пластина. Но пациент не "тянет" по деньгам. А перелом головки лучевой кости думали синтезировать Т-образной минипластиной из отдельного разреза.
|
[
Ответить ]
|
Re: Перелом проксимального отдела локтевой кости
Отправитель: Александр 12 Июнь 2012, 02:05
|
Насколько дальше распространяется линия перелома? Не могли бы выложить снимки в лучшем качестве?
Пластина от "Синтез" аналог той же ChM, ссылку на которую я дал постом выше. Из текущего обсуждения это, видимо, лучший вариант. Может поискать вариант дешевле, чем в "Синтез"?
PS Неплохо бы еще КТ сделать, тогда вопросы по поводу выбора металлоконструкции видимо отпали бы.
|
[
Ответить ]
|
Re: Перелом проксимального отдела локтевой кости
Отправитель: Станислав Дмитриев 13 Июнь 2012, 22:07
|
У "Остеомеда" тоже есть олекранонная пластина левая/правая с УС. А вот "Вебера" я бы сюда не стал применять. "Вебер" работает на растяжение. Если перелом распространяется дистальнее венечного отростка - работать не будет. Синтез нестабильный. Писали уже про это.
|
[
Ответить ]
|
|
Re: Перелом проксимального отдела локтевой кости
Mikhail_G 11 Июнь 2012, 22:10
|
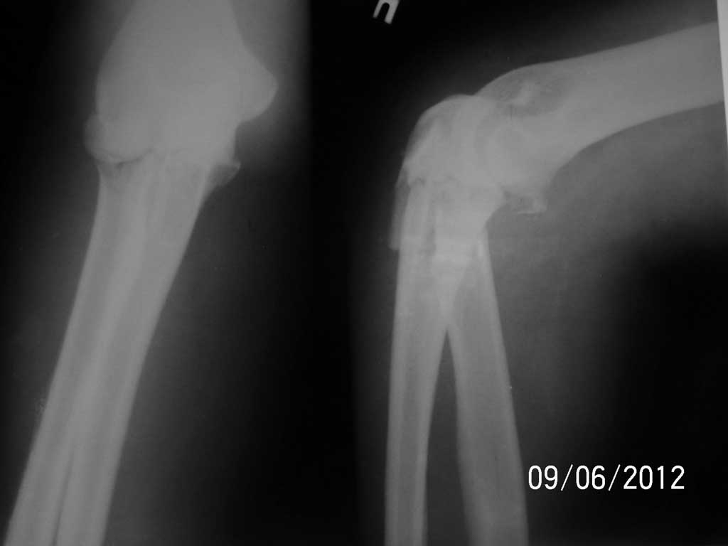
Доброго времени суток! Мне показалось, или на Ro-граммах перелом проксимального луча?
|
[
Ответить ]
|
Re: Перелом проксимального отдела локтевой кости
Doktorov Alexey 12 Июнь 2012, 22:52
|
Конечно качество R-гр оставляет желать лучшего,но создается впечатление,что перелом оскольчатый и к тому же внутрисуставной,поэтому считаю открытый остеосинтез пластиной в данном случае оптимальным. Если же ошибаюсь можно попробовать и штифт. Что касается остеосинтеза по Веберу, то в данной ситуации считаю его нецелесообразным. Как раз недавно почти подряд прошло два похожих случая с гипертрофическими ложными суставами на фоне похожих переломов и их остеосинтеза по Веберу. Желаю удачи в принятии решения. Поделитесь потом результатами.
|
[
Ответить ]
|
Re: Перелом проксимального отдела локтевой кости
Отправитель: Метелюк Игорь 18 Июнь 2012, 23:47
|
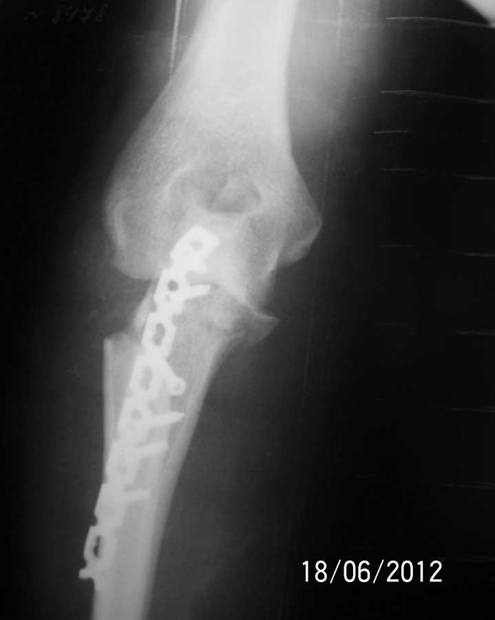
Доброго времени суток коллеги.
Операция состоялась. Выполнить остеосинтез головки лучевой кости не удалось из-за оскольчатого характера перелома. Её пришлось резецировать. Произведен остеосинтез проксимального отдела локтевой кости LCP реконструктивной пластиной.

Рентгенограммы прилагаются.
|
[
Ответить ]
|
|
Re: Перелом проксимального отдела локтевой кости
Doktorov 20 Июнь 2012, 20:01
|
Молодцы. В боковой проекции смотрится не плохо, а почему не стали блокировать проксимальные отверстия в пластине.
|
[
Ответить ]
|
( Ответить )
|