AOTRAUMA.ORG Центр Илизарова  

Ортопедия и травматология Общие вопросы/General questions Help Информационные технологии в медицине
 вверх
 отправить
 поиск
 админ
 главная


ДЦП, Сколиоз и вывих бедра.
Ортопедия и травматология Отправлено Сергей Дукер 15 Июнь 2012, 14:09
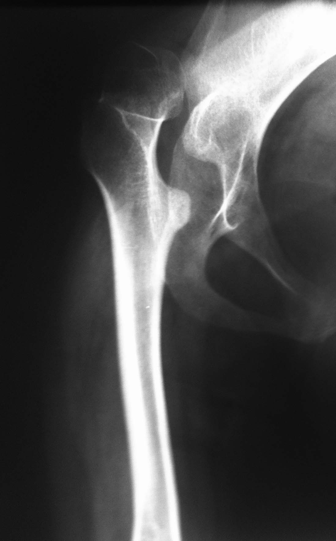
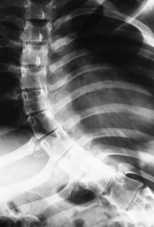
Пациентка 1992 г.р. Болеет ДЦП с рождения. до 2005 г. наблюдалась у неврологов , ходила с поддержкой. В 2005 г. перелом средней трети бедра. Лечилась консервативно в больнице Краснодара.
После лечения постепенно стало наростать укорочение конечности и искривление позвоночника.На представленных Р-гр состояние на сегодняшний день.больная занимает вынужденное полулежачее состояние.Вопрос - где нибудь на просторах РФ могут помочь?????

<  |  >

 

  • Сообщения о Ортопедия и травматология
  • Также Сергей Дукер
  • Связаться с автором
  • Ответить

    Re: ДЦП, Сколиоз и вывих бедра.
    Александр Шевченко 18 Июнь 2012, 15:57
    Если она проживает в Краснодаре, пусть обратиться в Краевую больницу на консультацию. Сейчас наши вертебрологи активно занимаются сколиозами, а с патологией нижней конечности постараемся разобраться.
    Александр Шевченко.(зав.отделением травматологии №2 ККБ)
    [ Ответить ]

    Re: ДЦП, Сколиоз и вывих бедра.
    Cергей Дукер 18 Июнь 2012, 20:33
    Спасибо за отклик. В настоящее время больная живет в Подмосковье.Родители обращались в ЦИТО и др учереждения МСК(отказ)
    после обращения в МЗ МО наша администация получила указивку найти место куда можно направить больную для лечения. Цель родителей поставить девочку в вертикальное положение.
    [ Ответить ]


    ( Ответить )

    Powered by Zope  Squishdot Powered MedLink
    Посетитель: 0388580
      "По форме правильно, а по существу - издевательство" В.И.Ленин
    ©2001-2019Orthoforum Coordinator.
    [ Главная | Отправить сообщение | Поиск | Админ ]