AOTRAUMA.ORG Центр Илизарова  

Ортопедия и травматология Общие вопросы/General questions Help Информационные технологии в медицине
 вверх
 отправить
 поиск
 админ
 главная


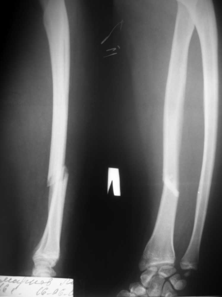
Перелом костей предплечья
Ортопедия и травматология Отправлено Михаил 19 Июнь 2012, 08:25
Доброго времени суток, уважаемые коллеги! С прошедшим праздником всех.
Пострадавший, 16 лет, поступил в отделение 16.06.12. Травма в результате ДТП- воткнулся на скутере в неподвижный автомобиль. Других повреждений нет. За прошедшие выходные какими-то окольными путями умудрился получить консультацию сотрудника института травматологии и ортопедии, находящегося в областном центре. Сотрудник этот (д.м.н., профессор, весьма уважаемый в травматологическом, да и вообще во врачебном, сообществе нашего региона человек) рекомендовал консервативное лечение. Сам пострадавший, точнее, его родители, хотят отличного результата, отсутствие последствий, независимо от метода лечения, но находятся под влиянием слов профессора. Считаю, что такое повреждение просто необходимо оперировать, но чтобы переубедить пострадавшего, необходимо авторитетное мнение уважаемого сообщества.PS. Если операция, то может быть есть какие-то особенности. Заранее благодарен всем, высказавшим свое мнение. Любое!

<  |  >

 

  • Сообщения о Ортопедия и травматология
  • Также Михаил
  • Связаться с автором
  • Ответить

    Re: Перелом костей предплечья
    РК. г.Астана АО "РНЦНМП" отдел политравма 19 Июнь 2012, 16:02
    Здравствуйте коллеги! Учитывая:
    1 молодой возраст пациента,
    2 настояние родителей на отличном результате,
    3 разрыв дистального радиоульнарного сочленения,
    4 смещение отломков по ширине и длине,
    5 снижение радиоульнарного угла
    Мы врачи травматологи-ортопеды РНЦ "Неотложной медицинской помощи" г.Астана, Казахстан рекомендуем оперативное лечение: Интрамедуллярный блокирующий остеосинтез лучевой кости с восстановлением дистального радиоульнарного сочленения

    [ Ответить ]

    • Re: Перелом костей предплечья
      Отправитель: Михаил 20 Июнь 2012, 01:54
      Восстановить радиоульнарное сочленение чем? Позиционный винт?

      [ Ответить ]
      • Re: Перелом костей предплечья
        Отправитель: Александр 20 Июнь 2012, 19:11
        Позиционный винт приведет к формированию синотоза дистального радиоульнарного сочленения.

        Видится необходимым выполнение остеосинтеза, лучше интрамедуллярно, с последующим обычным и стресс-рентген-контролем на столе. При сохраняющемся значительном расхождении костей предплечья и значительной нестабильности в области дистального радиоульнарного сочленения - пластика из сухожилия FCU.

        [ Ответить ]
    Re: Перелом костей предплечья
    Алибек 20 Июнь 2012, 19:34
    Повреждения Галеацци с отрывом шиловидного отростка локтевой кости трудны для закрытой репозиции, склонны к вторичным смещениям. Разумеется,оперативное лечение обеспечит гарантированный результат.С диафизом понятно.Для радиоульнарного сочленения наверно проще позиционный винт.Желательно подшить и шиловидный отросток. Не понял,причём тут радиоульнарный угол?
    [ Ответить ]

    Re: Перелом костей предплечья
    Игорь Кучерявый 20 Июнь 2012, 21:39
    А можно увидеть свежие контрольные снимки в гипсе?
    [ Ответить ]

    Re: Перелом костей предплечья
    Alexander Chelnokov 20 Июнь 2012, 23:52
    Единственное показание к консервативному лечению - изолированный перелом локтевой кости почти или без смещения. Потеря формы и ротационных соотношений фрагментов лучевой кости приводят к функциональному дефициту, так что тут операция показана безусловно.
    [ Ответить ]

    Re: Перелом костей предплечья
    Андрей 21 Июнь 2012, 00:34
    Ув. коллеги!
    Если можно покажите снимкм в гипсовой повязке, когда проводились элементы коррекции. При укорочении до 10 мм и расхождении соединения до 4 мм показано оперативное лечение (чтобы доказать, что оно есть надо рентген здоровой руки)
    [ Ответить ]

    Re: Перелом костей предплечья
    maxim agalakov 21 Июнь 2012, 17:09
    оперировать нужно, классика-пластина, можно закрыто стержнем (только если хорошо владеете методикой). При анатомичной репозиции с сочленением можно ничего не делать, если будет беспокоить -вернуться к этому позже.
    [ Ответить ]

    Re: Перелом костей предплечья
    Дедок Михаил 21 Июнь 2012, 23:39
    Есть еще один плюс от операции- с пластиной в армию не возьмут :)
    [ Ответить ]

    Re: Перелом костей предплечья
    Михаил 22 Июнь 2012, 00:17
    Всем спасибо!Больного переубедили! Коррекции никакой не проводилось. Снимки здоровой конечности делали-действительно разрыв. Выложить не могу - фотоаппарат умер.

    [ Ответить ]

    Re: Перелом костей предплечья
    Michael Berenshtein 23 Июнь 2012, 23:44
    Классический перелом Галеацци с повреждением дистального лучелоктевого сочленения. Невозможно вправить вывих без восстановления длины луча.
    Абсолютное показание к открытой репозиции луча со стабильной фиксацией (пластинка).
    В большинстве случаев головка локтя вправляется сама и не требуется дополнительного вмешательства. Если в будущем возникают проблемы в лучезапястном суставе необходимо выполнить МРТ для выявления вида повреждения и решить о виде операции по восстановлению.

    Михаил Беренштейн
    [ Ответить ]


    ( Ответить )

    Powered by Zope  Squishdot Powered MedLink
    Посетитель: 0389982
      "По форме правильно, а по существу - издевательство" В.И.Ленин
    ©2001-2019Orthoforum Coordinator.
    [ Главная | Отправить сообщение | Поиск | Админ ]