вверх
отправить
поиск
админ
главная
|
Инфицированное несращение дистального бедра |
 |
 |
 |
Отправлено Виноградский Александр 20 Июнь 2012, 00:17 СОКП ГВВ
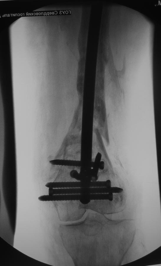
Уважаемые коллеги!Пациентка 72 лет, сочетанная травма в июле 2011. Одно из повреждений (кроме ЧМТ, грудной клетки, длительной реанимации) перелом дистального бедра. После временной фиксации в аппарате через 3 недели накостный остеосинтез. Раннее нагноение, попытки консеравативного лечения. Под наше наблюдение попала через 6 месяцев, гнойный свищ по наружной поверхности бедра, до пластины, нестабильная фиксация,миграция винтов, боли, постельный режим. Первым этапом удалена пластина, некрэктомия, бусы из цемента с а\б, апааратная фиксация. Заживление первичное. Вторым этапом снятие аппарта через месяц, замена бус, интрамедуллярный остосинтез, в последующем (через 1,5 месяца) бусы удалены, введены дополнительные винты из-за начинающейся миграции. Заживление первичное. В настоящее время 7 месяцев после последнего вмешательства, гвоздь динамизирован. На фоне улучшения общего состояния (пациенка активизирована, ходи с доп.опорой, болевой синдром незначительный) сохраняются эпизоды гипертермии проходящие на фоне а\б широкого спектра (авелокс). Р-граммы в динамике - отсутствие признаков нестабильности, резорбции, динамизация не исчерпана.Основная проблема - гипертермия, возобновляющаяся через 2-3 недели после прекращения а\б. Варианты:1) Наблюдать до 12-18 месяцев надесясь на консолидацию с последующим удалением 2) некрэктомия? 3) Резекция в пределах здоровых тканей с онкологическим протезом? Другие варианты
<
|
>
|
|
Ответить
|
Re: Инфицированное несращение дистального бедра
maxim agalakov 20 Июнь 2012, 20:14
|
Попробовать заменить антибиотик на "попроще" после отмены авелокса (оставить резервом), по посеву после его отмены на высоте температуры, далее длительная супрессивная терапия по переносимости. Если в средствах не стеснена - УВТ, затем ВМР2. За "железо" и стабильность бороться до последнег
|
[
Ответить ]
|
Re: Инфицированное несращение дистального бедра
Отправитель: Коваленко А.Н. 01 Июль 2012, 02:53
|
Да, Макс, хотел спросить, УВТ - ударно-волновая терапия?
Если я не ошибаюсь, Александр Николаевич выкладывал какое-то время назад выкладки из статей о рандомизированных исследованиях эффектов УВТ. Результат был одинаковый с группой плацебо - в 30% улучшения в основной и контрольной группой. Что, есть другие доказанные данные?
|
[
Ответить ]
|
|
Re: Инфицированное несращение дистального бедра
Alexander Chelnokov 26 Июнь 2012, 16:28
|
Посмотрели, пообсуждали с В.Н.Бабушкиным. Радикальный вариант с протезом (еще и двухэтапным, видимо?), наверно, лучше пока оставить в резерве. Не вижу, нужна ли некрэктомия - явных секвестров как-то не просматривается. А в посевах что?
У меня пока складывается впечатление, что надо бы удалить гвоздь, поправить ось и пересинтезировать гвоздем с покрытием. Сейчас есть вальгус, гвоздь очень спереди, в дистальном отломке держится плоховато. То есть улучшить соотношение отломков и увеличить стабильность. Плюс рассверлить.
|
[
Ответить ]
|
Re: Инфицированное несращение дистального бедра
Отправитель: Виноградский Александр 28 Июнь 2012, 23:18
|
Устранять такой вальгус, в 72 года, после многих операций, при стойкой контрактуре в коленном суставе и инфекции - это круто.
Про переднее положение гвоздя- это есть, но он точно в дистальном отломке, Сместить кзади не получилось из-за множественных дефектов от пластины, пороза, отклоняющие спицы просто режутся
За семь месяцев нет ни дополнительной резорбции, ни миграции винтов - какие причины сомневаться в стабильности? Новые отверстия для винтов при многих предыдущих -что добавит стабильность?
Канал был рассверлен, гвоздь 11,5 с покрытием из цемента
|
[
Ответить ]
|
Re: Инфицированное несращение дистального бедра
Отправитель: Maxim Agalakov 01 Июль 2012, 19:52
|
мне тоже кажется, что более толстый гвоздь не решит проблему, метафиз он все равно не заполнит, а каналов от винтов там уже предостаточно
|
[
Ответить ]
|
|
Re: Инфицированное несращение дистального бедра
Anton Kovalenko 28 Июнь 2012, 17:01
|
А может целесообразнее выполнить сцинтиграфию (думаю в Екатеринбурге точно есть)? Если отломки совсем мертвые (или инфицированные), стоит ли ждать у моря погоды и самое время делать резекцию?
С уважением, Коваленко А.Н.
|
[
Ответить ]
|
Re: Инфицированное несращение дистального бедра
Отправитель: Maxim Agalakov 28 Июнь 2012, 17:02
|
А зачем сцинтиграфию? То, что бедро гниет и так понятно. В недавно выложенной книжке по доказательной ортопедии есть отличная главка по поводу того, удалать или нет металл в случае инфекции. Резекции, маскулет или транспорт - не самые удобные способы в этой локализации, вспомни про возраст - результата можно не дождаться.
|
[
Ответить ]
|
Re: Инфицированное несращение дистального бедра
Отправитель: Anton Kovalenko 28 Июнь 2012, 17:04
|
По сообщениям показалось, что есть некорторые сомнения относительно инфицированности бедра. Ну если нет, то конечно сцинтиграфия лишена смысла.
По поводу металла давно существует позиция, в очередной раз подтвержденная в выложенной книжке, что-то типа "Хуже инфицированого несращения, только нестабильное инфицированное несращение"
Действительно, смущает близкое расположение гвоздя к переднему кортикалу в дистальном отломке - это явно не добавляет стабильности. И если есть возможность увеличить стабильность - надо ее использовать. Да местное депо антибиотиков будет не лишним.
С уважением, Коваленко А.Н.
|
[
Ответить ]
|
|
( Ответить )
|
|