Ответить
|
Re: Боль в коленном суставе после эндопротезирования ТБС
Батал Шушания 22 Июнь 2012, 02:03
|
У пациентки имел место диспластичсекий коксартроз- это видно по тому, куда Вы установили чашку эндопротеза- выше истинной вертлужной впадины! По причине того, что деформация у пациентки давняя-длительное время бедро было приведено и ротировано наружу! Соответственно и коленный сустав был адаптирован к имевшей место дисфункции тазобедренного сустава! После решения вопроса с тазобедренным суставом, не произошла обратная адаптация коленного сустава, наоборот усилился вальгус в коленном суставе, имевший место и ранее, до Вашей операции!Судя по снимку, офсет у бедренной ножки стандартный! У данного типа ножек меньшего офсета небывает, есть только больший офсет! Можно конечно было использовать ножку с модульной шейкой, где можно регулировать шеечно-диафизарный угол! Но это уже невозможно-операция выполнена! Нужны снимки всей конечности и возможно коррегирующей остеотомией области коленного сустава можно будет решить возникшую проблему, при отсутствии нестабильности медиальногосвязочного комплекса коленного сустава !
|
[
Ответить ]
|
Re: Боль в коленном суставе после эндопротезирования ТБС
Отправитель: Бахадир 23 Июнь 2012, 15:55
|

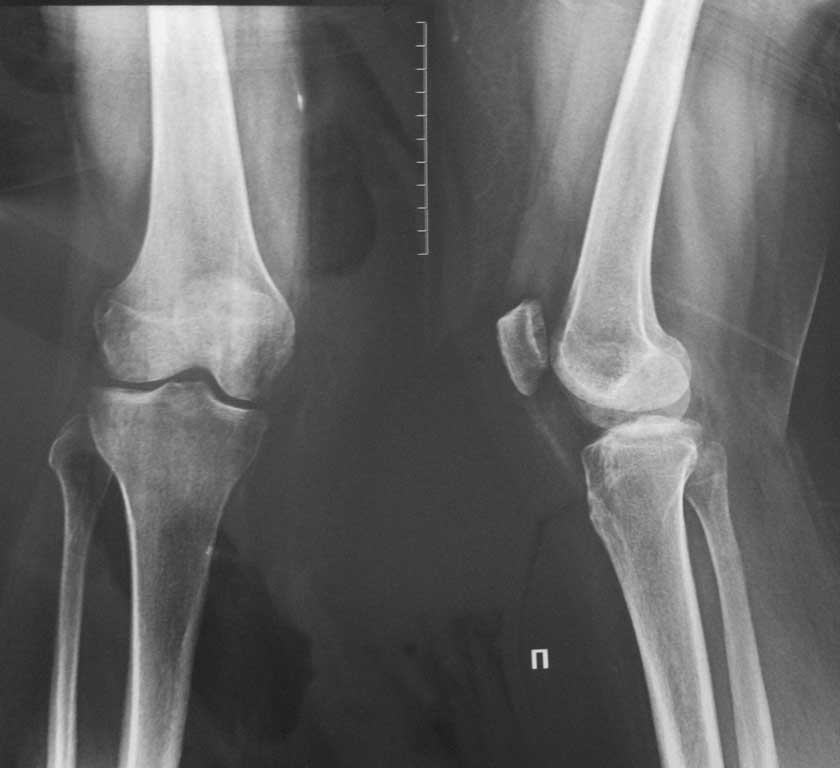
Спасибо Батал. отправляю снимки коленного сустава.
|
[
Ответить ]
|
Re: Боль в коленном суставе после эндопротезирования ТБС
Отправитель: Батал Шушания 24 Июнь 2012, 00:37
|
К сожалению, по этим снимками, относительно поставленной задачи, сказать мало что можно! Для оценки деформации правой нижней конечности нужен снимок всей конечности: от тазобедренного до голеностопного суставов! Тогда, на оснований нехитрых измерений, можно сказать на каком уровне имеет место деформация и имеется ли вообще та самая искомая деформация! Можно выполнить снимки правой нижней конечности по сегментам (тазобедренный сустав с максимальным захватом бедра, колено с максимальным захватом голени и лучше с захватом голеностопного сустава), далее соединить их воедино (тип сделать коллаж)!
|
[
Ответить ]
|
Re: Боль в коленном суставе после эндопротезирования ТБС
Отправитель: Alexander Chelnokov 24 Июнь 2012, 09:37
|
> К сожалению, по этим снимками, относительно поставленной задачи, сказать мало что можно! Для оценки деформации правой нижней конечности нужен снимок всей конечности: от тазобедренного до голеностопного суставов! Тогда, на оснований нехитрых измерений, можно
А еще бы лучше - коленки плотно вместе и обе конечности рядом на одной пленке.
|
[
Ответить ]
|
Re: Боль в коленном суставе после эндопротезирования ТБС
Отправитель: Michael Berenshtein 23 Июнь 2012, 23:40
|
Абсолютно согласен с доктором Шушания. Нет снимков дистального бедра, но видимо потребуется надмыщелковая варизирующая остеотомия бедренной кости.
Михаил Беренштейн.
|
[
Ответить ]
|
Re: Боль в коленном суставе после эндопротезирования ТБС
Отправитель: maxim agalakov 25 Июнь 2012, 17:22
|
есть еще карай дисплазия с уменьшенным офсетом
|
[
Ответить ]
|
|
Re: Боль в коленном суставе после эндопротезирования ТБС
maxim agalakov 25 Июнь 2012, 17:46
|
боль в коленном суставе может быть вызвана хорошо фиксированной бц ножкой. Но здесь похоже проблемы в другой плоскости-высокий центр ротации вмегда ввзывает проблемы, в данном случае прогрессирование вальгуса (исходный офсет был наверное меньше). Остеотомии на бедре не восстановят биомеханики тб, рискуете получить еще больше непонятных проблем, в том числе при ревизии. В 42 года нужно перебивать чашку или весь имплант(вероятнее) а потом спокойно заниматься коленом.
|
[
Ответить ]
|
Re: Боль в коленном суставе после эндопротезирования ТБС
Волошин В. П. 07 Июль 2012, 21:13
|
Пациентка 42 года пользовалась дефектным суставом. Как вы знаете один из вариантов приспособления сопряжен с позой и походкой Дюшена Тренделенбурга, который привел к вальгусу колена и сколиозу. Операция устранила приведение бедра и укорочение конечности, но не слабость отводящих мышц, да и позвоночник не травинка на ветру, ему нужно время. Ожидать, что все и сразу станет хорошо после эндопротезирования не стоит (как и не стоит переустанавливать эндопротез). Это тот случай, когда реабилитация после эндопротезирования актуальна. Проанализируйте походку, дайте упражнения на отводящие мышцы, помогите позвоночнику. Ну а вальгус колена действительно устраняется надмыщелковой остеотомией, только не надо с этим торопится и не переусердствуйте :-).
ВВП
|
[
Ответить ]
|
Re: Боль в коленном суставе после эндопротезирования ТБС
Отправитель: Исмаил Дибиров 08 Июль 2012, 23:05
|
Катастрофически не хватает на местах методистов ЛФК! Нет продолжателей Гориневского, Гориневской, Древинг Каптелина и др. ,Может их лучше готовить из травматологов, не все же хотят махать шашками?" Мануальшиков много, а Кель один"!Оказывается у них какие то проблемы со стажем и оплатой. Массажистов толпа а методистов нет! Некому ставить походку,,давать упражнения на отводящие и иные мышцы. Что, опять это повиснет на ортопедах-хирургах ? Ведь мало показать, ими надо заниматься кропотливо и долго. Эта проблема должна решаться на более высоких уровнях. Может обязывать стационары оказывающие такую помощь иметь для начала кабинет ЛФК, проводить такое лечение, расписывать ее при выписке со сроками и промежуточными этапами. Ввести в Стандарты! Любая самая правильная операция может не иметь тех ожидаемых результатов, если не будет должной реабилитации. Пока заниматься этим важным этапом лечения не начнут травматологи ортопеды, а занимаются даже не медики, результатов не будет. Вспомните Уотсона-Джонса, если найдете... "Национальное Руководство"- это, конечно, "наше все", кто бы спорил...
|
[
Ответить ]
|
|
Re: Боль в коленном суставе после эндопротезирования ТБС
Бахадир 08 Июль 2012, 03:19
|
Cпасибо, коллеги, за советы и помощь! Вчера больная была на преме. Умеренные боли коленном суставе сохраняется. Беспокоит онемение в н/3 правой голени. Это откуда взялось - непонятно!!!
|
[
Ответить ]
|
Re: Боль в коленном суставе после эндопротезирования ТБС
Олег 29 Сентябрь 2012, 19:41
|
Что касается онемения, то это вероятно реакция поясничного отдела на преобразования, связанные с ЭП - анатомия кое устранение ( уменьшение) лордоза и наклона таза. А проще - радикулярная реакция, несколько усугубленная и натяжением седла. нерва, которое скорее всего присутствовало в ходе вмешательства из-за большого офсета. Нужна комплексная терапия нейропати после консультации невролога. Про боли в колене. Даже при неплохой исходной оси коленного сустава смена офсета и центра вращения (одновременно - опоры в одно опорный период ходьбы) перемещают центр нагрузки суставной поверхности тибии и овоцируют адаптационно-алгические опроблемы колена. В данном случае вальгуса велик, колено имеет преартроз и готово болеть и любых переменах, а они случились. Полечите колено , согласен с коллегой Волошиным, не спешите. Однако над мышеловкой коррегирующей остеотоией попахивает, если не сейчас, то через несколько лет. Успехов
|
[
Ответить ]
|
( Ответить )
|
|