Ответить
|
Re: Несращение бедра - тактика лечения?
Alexander Chelnokov 27 Июнь 2012, 23:51
|
У нас много таких больных прошло в середине прошлого десятилетия, сейчас как-то поменьше стало. Малоинвазивно удаляли пластину и закрыто штифтовали с рассверливанием. Без пластик или каких-то резекций.
Чего и тут советуем. Немедленная нагрузка без ограничений и движения в колене.
|
[
Ответить ]
|
Re: Несращение бедра - тактика лечения?
Отправитель: Alexey Semenisty 28 Июнь 2012, 15:48
|
У нас много таких больных прошло в середине прошлого десятилетия, сейчас как-то поменьше стало.
Очень интересно, как вам удалось в вашем регионе снизить количество пациентов, оперированных так?
Несмотря на бОльшую доступность образования, чем 10 лет назад, всевозможные интернет-ресурсы, федеральные и региональные программы властей по травматологии и ортопедии, к сожалению, в Московском (в основном за счет
Подмосковья) количество таких пациентов как-то не уменьшается.
С уважением, А.Семенистый.
|
[
Ответить ]
|
Re: Несращение бедра - тактика лечения?
Отправитель: В.Машталов 28 Июнь 2012, 16:58
|
Не удивительно Алексей! Народ в провинции пытливее, тяга к знаниям побольше.
На конференциях, форумах, даже проводимых в столице москвичей маловато, одна провинция. И Вы с командой АО вносите посильный вклад , носитесь по регионам, учите народ, а потом задаете вопросы "Очень интересно, как вам удалось в вашем регионе снизить количество пациентов, оперированных так? "
Да и у нас таких " ортопедических ужасов" все меньше. За что и Вам спасибо!
По сути вопроса:
долой пласттину, рассверлиться и гвоздь потолще и сразу нагрузку.
С уважением к сообществу В. Машталов
|
[
Ответить ]
|
|
Re: Несращение бедра - тактика лечения?
Андрей! 28 Июнь 2012, 01:05
|
Я полностью согласен с Александром Николаевичем.
Есть два вопроса не совсем по сути:
1. Зачем и как удалять малоинвазивно если скорее всего ставили традиционно?
2. Соотношение винтов проксимально-дистально 4-10 зачем?
|
[
Ответить ]
|
Re: Несращение бедра - тактика лечения?
adonin 28 Июнь 2012, 01:55
|
а я бы не торопился - после последнего остеосинтеза всего 6 мес. Гвоздь, конечно, несравненно лучше, но пластина уже стоит. Если больная может дать полную нагрузку, несмотря на боль - пусть нагружает ногу, снимки каждые 3 мес - либо срастется, либо поломает пластину. Если же ногу нагружать не может - убирайте пластину и штифтуйте сразу ( рассверливание и штифт максимального диаметра). Ни в коем случае не делать реостеосинтез пластиной
|
[
Ответить ]
|
Re: Несращение бедра - тактика лечения?
Коваленко А.Н. 28 Июнь 2012, 12:25
|
> ...боль возникает при осевой нагрузке на правую н/конечность...
> ...Осевая нагрузка болезненна...
Пожалуйста, выберите фразу из вашего сообщения, которая ближе соответствует истине. От этого может зависеть тактика лечения. В первом случае реостеосинтез гвоздем,во втором уже описанная др. Адониным консервативная тактика.
|
[
Ответить ]
|
Re: Несращение бедра - тактика лечения?
Alexander Angelsky 28 Июнь 2012, 15:47
|
если стабильная фиксация, то почему боли? если стабильная фиксация то к вариантам предложенным Дмитрием добавил бы попытку стимуляции костеобразования например костную пластику. Если нет стабильности, то реоперация на блокированный гвоздь. с уважением Александр Ангельский.
PS. Хотя на языке вертится вопрос: какая необходимость такого количества винтов, ведь можно было установить их гораздо больше.
|
[
Ответить ]
|
Re: Несращение бедра - тактика лечения?
Отправитель: Alexey Semenisty 28 Июнь 2012, 16:55
|
PS. Хотя на языке вертится вопрос: какая необходимость такого количества винтов, ведь можно было установить их гораздо больше.
Как завинтить через пластину на 12 отверстий 14 винтов при этом два отверстия оставить пустыми? ... Легко!!!
Мое удивление не только к количеству винтов, но и к их "качеству" .
Блокированные винты в прямой немоделированной диафизарной пластине должны быть параллельны друг другу и введены в определенную часть 8-образнеого отверстия. В проксимиальном отломке, похоже, толко один винт (самый
проксимальный) введен корректно остальные 3 не пойми как. В дистальном отломке угадывается только 2 корректно установленных блокированных винта...
С уважением, А.Семенистый.
____________________________
|
[
Ответить ]
|
|
Re: Несращение бедра - тактика лечения?
Сергей 28 Июнь 2012, 16:30
|
Согласен с Адониным
|
[
Ответить ]
|
Re: Несращение бедра - тактика лечения?
Дмитрий Сычев 28 Июнь 2012, 16:53
|
Нестабильности в зоне перелома сейчас нет, по всей видимости,
нестабильность была после первой операции в связи с чем был произведен реостеосинтез.
По поводу количества винтов я думаю лучше спросит у автора.
|
[
Ответить ]
|
Re: Несращение бедра - тактика лечения?
Galina Diachkova 28 Июнь 2012, 16:56
|
Уважаемый Дмитрий! Ждать бесполезно.Вы же видите, что представляет собой зона перелома.В таких условиях- не срастется. Будет только хуже. У нас, конечно. применили бы аппарат Илизарова. Александр Николаевич советует свой метод.Возможно, но слишком проблемна кость в зоне перелома. Стабильность некоторых винтов проблематична.
Г.В.Дьячкова
|
[
Ответить ]
|
Re: Несращение бедра - тактика лечения?
Алок Бансал 28 Июнь 2012, 23:09
|
Добрый вечер Дмитрий,
Учытивая последные рентген снимки - шансы на сращение есть. Тут возможны 2 варианта либо ждать (Wait and watch ) или идти на установку блок. стержня с рассверливанием.
С Уважением ,
Доктор Алок -Киев.
|
[
Ответить ]
|
Re: Несращение бедра - тактика лечения?
Отправитель: Alexander Chelnokov 02 Июль 2012, 00:12
|
Тут возможны 2 варианта либо ждать
Мы этот вариант перестали рассматривать лет 8 назад после нескольких аналогичных пациентов. Появляются первый раз - пластина держит - ждем счастья. Приходит тот же пациент через 1-2-3 мес. - уже боль и подвижность, винты сломаны. Решение об операции принять много легче, но операция из-за удаления сломанных винтов делается неуютной.
Так что предпочитаем удалять, пока все цело. Тогда получается винты убрать через проколы, а пластину - через небольшой разрез.
|
[
Ответить ]
|
|
Re: Несращение бедра - тактика лечения?
А. Бритько 29 Июнь 2012, 00:16
|
6 месяцев с момента повторного остеосинтеза - слишком малое время для консолидации.
Предложил бы костно-мозговую стимуляцию и дальнейшее консервативное лечение + осевая нагрузка + рентген-контроль.
О вариантах остеосинтеза написали выше.
__________
С уважением.
|
[
Ответить ]
|
Re: Несращение бедра - тактика лечения?
Отправитель: Alexey Semenisty 30 Июнь 2012, 00:09
|
Просветите, пожалуйста, что такое костно-мозговая стимуляция?
|
[
Ответить ]
|
Re: Несращение бедра - тактика лечения?
Отправитель: А. Бритько 30 Июнь 2012, 13:34
|
Просвящайтесь, если не шутите :)
http://www.touchbriefings.com/pdf/3298/manicom.pdf
|
[
Ответить ]
|
Re: Несращение бедра - тактика лечения?
Отправитель: А.Ситник 01 Июль 2012, 13:28
|
Можно верить, а можно и не верить (хотя почему-то в реостеосинтез стержнем верится больше). У вас есть собственные наблюдения на этот счет?
|
[
Ответить ]
|
Re: Несращение бедра - тактика лечения?
Отправитель: А. Бритько 01 Июль 2012, 16:34
|
Есть, но они касаются лечения переломов диафиза плечевой кости. С бедром - не пробовали. Но, кажется, что шанс есть, поскольку третья операция не улучшит местные биологические условия для консолидации. Уже после второй по-логике увеличиваются средние сроки, поэтому до 9-ти месяцев я бы не стал спешить с реостеосинтезом.
______
С уважением.
|
[
Ответить ]
|
Re: Несращение бедра - тактика лечения?
Отправитель: Alexander Chelnokov 02 Июль 2012, 00:48
|
поскольку третья операция не улучшит местные биологические условия для консолидации.
Штифтование с рассверливанием еще как улучшит. Да и гвоздь правильного диаметра с правильными винтами будет протезировать диафиз много дольше любой пластины. Так что пациенту можно сразу не ограничивать нагрузку, возвращатьcя к обычной жизни, и о сращении особо не думать.
|
[
Ответить ]
|
Re: Несращение бедра - тактика лечения?
Отправитель: А. Бритько 01 Июль 2012, 16:43
|
С бедром есть только одно наблюдение, касающееся "воспитания" регенерата с помощью PRP, при корригирующей остеотомии нижней трети бедра у ребенка с вальгусной деформацией с сопутствующей болезнью Вальдмана. Возник бы вопрос: почему требовалась какая-то стимуляция? Дело в том, что общий белок крови никогда у ребенка не повышался выше 50 г/л, что вызывало определенные опасения.
________
С уважением.
|
[
Ответить ]
|
Re: Несращение бедра - тактика лечения?
Отправитель: Столяров Илья 19 Декабрь 2012, 10:10
|
Мне очень интересна тема собственно PRP.
Ответьте, пожалуйста, какие разрешительные документы нужны, чтобы применять методику, нужно ли сертифицированное именно для этого оборудование, требуется ли отдельная лицензия. В интернете не нашел каких-либо документов, разрешающих применять методику в России.
С наилучшими пожеланиями, Столяров Илья (травматолог Нижний Новгород).
|
[
Ответить ]
|
Re: Несращение бедра - тактика лечения?
Отправитель: Alexey Semenisty 02 Июль 2012, 22:44
|
А чем это принципиально отличается от костной пластики спонгиозным трансплантантом, содержащим все эти стимулирующие компоненты, в том числе и стволовые (стромальные) клетки??? И как этот метод улучшит механическую
составляющую проблемы (а она здесь очевидно есть) ?
|
[
Ответить ]
|
|
Re: Несращение бедра - тактика лечения?
Вадим Ильин 29 Июнь 2012, 22:46
|
Доброго времени суток. Через 6 месяцев после реостеосинтеза с костной аутопластикой никаких признаков сращения нет и видимо не будет. Окончательное решение о выборе метода фиксации я принял бы во время операции.
1. Удалить пластину и блокирующие винты (могут быть сложности с удалением винтов)
2. Удалить сломанные винты 4,5 мм.(5штук)Тоже не сахар.
если 1 и 2 пункты удалось выполнить-гвоздь
если нет- аппарат((.
|
[
Ответить ]
|
Re: Несращение бедра - тактика лечения?
Сычев Дмитрий 03 Июль 2012, 12:52
|

Уважаемые коллеги спасибо большое Вам за помощь!
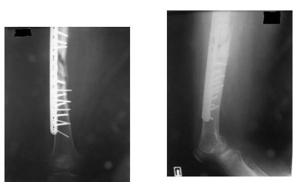
Результат нашего лечения: Произведено удаление пластины МIPO. Интрамедуллярный остеосинтез с рассверливанием канала. На 2-е сутки после операции больная передвигается при помощи костылей, с полной нагрузкой на оперированную конечность, болей в области перелома нет.
Фотографии в приложении.
Еще раз спасибо за советы!
С уважением Сычев Д.
|
[
Ответить ]
|
Re: Несращение бедра - тактика лечения?
Отправитель: Anton Kovalenko 05 Июль 2012, 07:50
|
Скажите пожалуйста, а зачем гвоздик заперт статически? Динамическая фиксация здесь более подходит.
--
С уважением, Коваленко А.Н.
|
[
Ответить ]
|
Re: Несращение бедра - тактика лечения?
Отправитель: Alexey Semenisty 05 Июль 2012, 07:52
|
Вы предполагаете, что дистально всего один винт в овальном отверстии в динамической позиции будет достаточен?
В чем преимущества в данном случае динамического варианта блокирования?
--
С уважением, А.Семенистый.
ГКБ № 13, Москва.
|
[
Ответить ]
|
Re: Несращение бедра - тактика лечения?
Отправитель: Коваленко А.Н. 06 Июль 2012, 01:19
|
Я не предполагаю, я в этом твердо убежден. Статическое блокирование диафизарных переломов показано в ситуациях,когда есть опасения в сохранности длины конечности в условиях осевой нагрузки: при многооскольчатых, косых, винтообразных переломах. Также показанием являются все свежие переломы, поскольку возможно наличие трещин невидимых на рентгене. В данном случае канал рассверлен, диаметр гвоздя хорошо подобран - в статической фиксации нет никакой необходимости, угрозы укорочения на гвозде нет и в помине. Снимается нагрузка с конструкции,не будет перелома винтов. Более того динамическая фиксация в таких случаях уже не более чем через месяц на снимках радует глаз вполне очевидным регенератом.
В недавней дискуссии по поводу "нужна ли динамизация в большинстве случаев" мои оппоненты и одновременно ее(динамизации) противники ссылались на свой личный опыт и один (!) авторитетный не самый свежий учебник, уповали на то, что крайне трудно найти работы по данной теме в доступных публикациях. Ради любопытства в пабмеде за одну минуту я нашел только свежих полнотекстовых статьи 3 штуки (про абстракты вообще молчу). Так вот к факторам, существенно затягивающим сращение диафизарных переломов относится диастаз между отломками более 3 мм (сравниваются статическая и динамическая фиксация). Так вот на снимках как раз такой диастаз - более 3 мм.
А какие Ваши аргументы в пользу статического блокирования в данном случае?
--
С уважением, Коваленко А.Н.
|
[
Ответить ]
|
Re: Несращение бедра - тактика лечения?
Отправитель: Alexey Semenisty 08 Июль 2012, 23:02
|
Я не предполагаю, я в этом твердо убежден. Статическое блокирование диафизарных переломов показано в ситуациях,когда есть опасения в сохранности длины конечности в условиях осевой нагрузки: при многооскольчатых, косых, винтообразных переломах. Также показанием являются все свежие переломы, поскольку возможно наличие трещин, невидимых на рентгене.
С этим согласен
Более того динамическая фиксация в таких случаях уже не более чем через месяц на снимках радует глаз вполне очевидным регенератом.
Это в том случае, когда динамизации предшествовала слишком жесткая фиксация, которая в условиях неанатомичной репозиции является фактором
задерживающим заживления перелома. В обсуждаемом случае стабильности было недостаточно, точнее ее не было, фиксация была нестабильна.
... Так вот к факторам, существенно затягивающим сращение диафизарных переломов относится диастаз между отломками более 3 мм (сравниваются статическая и динамическая фиксация). Так вот на снимках как раз такой диастаз - более 3 мм.
Для свежих случаев да. Здесь же не диастаз в чистом виде. Контакт между отломками безусловно есть, ведь первоначально была открытая репозиция. К сожалению, первичных и после первой операции снимков нет. Здесь более значимы другие факторы, приведшие к замедленному сращению (или через 12 месяцев уже к несращению?) : Открытая травматичная первая операция, потеря стабильности через полгода и вторая, вероятно, не менее травматичная операция также с быстрой потерей стабильности. От первой операции в кости осталось минимум 16 дырок (предполагаю, было минимум по 4 бикортикальных
винта в каждый отломок), плюс 28 дырок (14 бикортикальных винта) от второй операции. Кость после двух циркулярных скелетирований и насверливания в ней стольких поперечных дырок очень и очень нездорова, плюс нынешнее рассверливание канала. Я думаю, не стоит ее сразу нагружать динамическим вариантом блокирования.
С уважением, А.Семенистый.
ГКБ № 13, Москва.
|
[
Ответить ]
|
Re: Несращение бедра - тактика лечения?
Отправитель: Anton Kovalenko 08 Июль 2012, 23:04
|
А есть сколько нибудь убедительные данные о том, что при смене пластины на стержень дырочки при динамической фиксации создают проблемы? Я не встречал ни таких данных, ни проблем. Если есть, пожалуйста поделитесь. Вряд ли дырочки в диафизе, армированном толстым гвоздем, создадут проблемы - деформация возможно только со стержнем. Если опасаться проблем с длиной, по-Вашему выходит, что в проекции расположения пластины и отверстий сегмент кости сложится в гофру. Это возможно?
В том то и дело, что между отломками рубцовая ткань, а не гематома как при свежем переломе. И сколько будет отсутствовать нагрузка на нее, настолько и будет задерживаться формирование костной ткани. Т.е. тип фиксатора сменили, а новый фиксатор при статическом запирании работает как старый - в качестве распорки между отломками.
--
С уважением, Коваленко А.Н.
|
[
Ответить ]
|
Re: Несращение бедра - тактика лечения?
Отправитель: Alexey Semenisty 05 Июль 2012, 07:51
|
Непонятно, нога вроде как правая. ... С проксимальным блокированием вопросов нет. А что, дистальное блокирование делали изнутри кнаружи (смотрю по ориентации снимков)? Зачем???
|
[
Ответить ]
|
|
( Ответить )
|
|