Ответить
|
Re: Неправильно сросшийся перелом
Alexander Chelnokov 01 Июль 2012, 09:51
|
А чего не динамизировали своевременно?
По этим снимкам не видно, то ли правда сросшийся, то ли тугой ложный сустав. В любом случае надо исправлять ось. Если ложный сустав, можно аппаратом закрыто, только малоберцовую пересечь. Проксимальная часть стержня и винты удалятся без проблем. Дистальная - у В.Машталова есть хорошая удалялка, может, он подскажет, где такую раздобыть. Нам, кстати, тоже пригодилась бы. Иначе приходится "открывать" створку на дистальном отломке.
Действительно, можно лечить и аппаратом до конца, это дольше, но удалять дистальный фрагмент гвоздя не надо.
|
[
Ответить ]
|
Re: Неправильно сросшийся перелом
Отправитель: Николов Олег 02 Июль 2012, 22:14
|
Своевременно не динамизировали, т.к. увидели пациента через 1,5 года после операции. Возможно я был недостаточно убедителен говоря о необходимости контроля оперирующим хирургом. А поликлиническая служба у нас оставляет желать лучшего...
И на сросшийся похоже, но покажет только операция, постараемся быть готовыми к различным вариантам.
|
[
Ответить ]
|
|
Re: Неправильно сросшийся перелом
Сергей 01 Июль 2012, 10:00
|
Уважаемый, Олег. Если верить Rg снимкам там ложный сустав, в самом неблагоприятном месте. Следует удалить стержень(из 2-ух доступов). Далее произвести адаптацию костных отломков. Далее ЧКО апп. Илизарова в компрессионном режиме с исправлением варусно-антекурвационной деформации. лечение в аппарате до консолидации, так как повторный БИОС повредит костную мазоль и вызовет риск рецидива.
P.s. Возможное укорочение не следует исправлять на данном этапе лечения.
|
[
Ответить ]
|
Re: Неправильно сросшийся перелом
Отправитель: Иван 01 Июль 2012, 19:59
|
Далее произвести адаптацию костных отломков. -
что имеется в виду по адаптацией костных отломков?
Предлагаете резецировать? как то очень радикально.
|
[
Ответить ]
|
Re: Неправильно сросшийся перелом
Отправитель: Сергей 02 Июль 2012, 15:56
|
В результате формирования ложного сустава на концах отломков формируются замыкательные костные пластиники. Из гистологии известно это хаотично расположенные костные балки с большим содержанием соеденительной ткани, со сниженным содержанием сосудистого компонента и полной облитерацией костномозгового канала (исчезновение питания из костномозгового канала, но в данном случае он проделан штифтом). Следовательно для достижения оптимальных процессов консолидации требуется оптимальное кровоснабжение, не только из мягкотканного компонента. Так что требуется резецирование замыкательных пластинок. Радикально - это резекция кости на протяжении, а резецирование "освеживание" костных отломков с формированием наибольшей площади контакта отломков с учетом исправления деформации.
|
[
Ответить ]
|
Re: Неправильно сросшийся перелом
Отправитель: Николов Олег 02 Июль 2012, 22:37
|
Уважаемый, Сергей. Меня тоже смущает "адаптация костных отломков", -- это как? И чем повредит БИОС с рассверливанием, какую-такую костную мозоль он повредит в гипертрофическом ложном суставе?
|
[
Ответить ]
|
Re: Неправильно сросшийся перелом
Отправитель: Сергей 03 Июль 2012, 16:27
|
Адаптация костных отломков - придание конгруэнтной формы одного из отломков или обоих, для формирования максимально выгодной в данном случае зоны контакта между отломками. Например, если одномоментно исправить деформацию мы получим клиновидную зону диастаза, если адаптировать отломки можно одномоментно исправить деформацию и улучшить кровоснабжение зоны консолидации. БИОС с рассверливанием вредит в том случае, если ранее там не было БИОС.
|
[
Ответить ]
|
|
Re: Неправильно сросшийся перелом
VlaD 01 Июль 2012, 23:38
|
Здравствуйте, уважаемые коллеги.
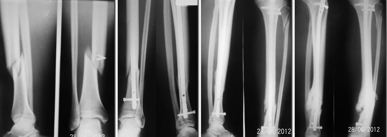
Нам приходилось сталкиваться с подобными случаями, и они заставили нас внести коррективы в интерлокинг инфраистмальных (как впрочем, и супраистмальных) переломов большеберцовой кости. На представленных рентгенограммах – типичный гиперпластический ложный сустав с угловой деформацией отломков. Перелом стержня, можно сказать, «в типичном месте» - через самое проксимальное из дистальных блокирующих отверстий. И ошибки (личное мнение) при выполнении интерлокинга инфраистмального перелома в данном случае тоже типичные. При интерлокинге не учтены особенности именно инфраистмальных переломов. При таких переломах диаметр костномозгового канала дистального отломка уже на уровне перелома всегда больше диаметра стержня. Поэтому исключается плотный контакт стержня и дистального отломка сразу ниже перелома, что намного снижает прочность создаваемого соединения стержень – дистальный отломок. Если нет плотного контакта стержня и кости дистального отломка сразу ниже перелома, то вся ответственность по стабилизации биомеханической системы стержень-дистальный отломок ложится на дистальные блокирующие винты. При инфраистмальных переломах два (даже три) винта не всегда могут обеспечить стабильность создаваемой системы стержень-дистальный отломок, даже если они проведены в разных плоскостях. Это легко можно установить экспериментально. Поэтому мы при интерлокинге инфраистмальных переломов вводим по четыре блокирующих винта, проведенных в разных плоскостях, что обеспечивает гарантию стабильности соединения дистальный отломок-стержень. Также значительно увеличивает стабильность соединения «locking interlocking». Кроме того, в данном случае сыграл свою отрицательную роль при нагрузке и лёгкий варус дистального отломка после интерлокинга. Позволю себе не согласиться с Александром Николаевичем по проблеме ранней динамизации. Сдержанно отношусь к динамизации вообще, как к планируемой рутинной процедуре. В данном случае динамизация ,выполненная в рекомендуемые сроки, никаких проблем бы не решила, поскольку несращение было обусловлено подвижностью в месте перелома дистального отломка из-за нестабильности его соединения со стержнем, а не диастазом или отсутствием компрессии между отломками. Кстати, самодинамизация была (сломанный проксимальный блокирующий винт), но она не предотвратила несращение и перелом стержня, что является лишним подтверждением сказанного выше.
Что касается дальнейшей тактики лечения. Безусловно, обе части сломанного стержня необходимо удалить. Поскольку стержень канюлированный, отломанную дистальную часть стержня можно удалить после удаления проксимальной части через то же отверстие без всяких специальных приспособлений. По-моему, на форуме такой способ уже обсуждался. Пример из личного опыта на фото. Я думаю, принцип извлечения понятен.

Дальше мы бы выполнили остеотомию малоберцовой кости на вершине деформации большеберцовой и после одномоментного устранения угловых деформаций в репозиционном аппарате выполнили бы реостеосинтез блокированным стержнем в режиме статической фиксации. При невозможности одномоментного устранения угловых деформаций в репозиционном аппарате (таких случаев в нашей практике не было) - внеочаговый остеосинтез аппаратом Илизарова с дозированным устранением деформации.
С уважением, VlaD.
|
[
Ответить ]
|
Re: Неправильно сросшийся перелом
Отправитель: Alexander Chelnokov 02 Июль 2012, 01:01
|
Напомню, что такие переломы во всем мире успешно и массово лечили штифтованием, когда гвоздей с возможностью введения >3 винтов в дистальный отломок еще и в помине не было. Это совершенно диафизарный перелом, так что гвоздь потолще и два фронтальных винта побольше диаметром вполне были и остаются приемлемы. Сегодняшняя возможность использовать большее количество винтов - при таком переломе, как говорится, не must, а optional. Стабильность при интрамедуллярном остеосинтезе всегда относительная, так что и макроподвижность остается. И на этом фоне вторичное сращение вполне обычно. И разрушается конструкция не из-за большей или меньшей стабильности, а из-за недостатка усталостной прочности.
Что было бы, если бы вовремя удалили статический винт, когда еще не оформилось несращение - при таком исходном положении отломков должно было срастись. А тут - и был диастазик, еще и увеличился, чуть подрассосались концы, а сблизиться отломкам не дали, и получился остеосинтез не гвоздем, а пластиной. Раз сделали nonunion machine, разрушение имплантата - вопрос времени, вот этого самого запаса усталостной прочности.
Спасибо, что подметили, что гвоздь полый. Конечно, тогда надо удалять дистальный фрагмент гвоздя с помощью проводника с шариком на конце и одной или нескольких спиц.
|
[
Ответить ]
|
Re: Неправильно сросшийся перелом
Отправитель: Николов Олег 02 Июль 2012, 22:17
|
Т.е., если я правильно понял, коррекция деформации в условиях ложного сустава без остеотомии большеберцовой кости? И почему в режиме статической фиксации? И если не удалось выполнить одномоментную репозицию, то почему после постепенного устранения деформации не забить стержень?
|
[
Ответить ]
|
|
Re: Неправильно сросшийся перелом
начинающий 04 Июль 2012, 16:08
|
здравствуйте! К сожалению был подобный опыт!результат ожидаемый если не использовать винт Поллера "Poller Screw" заводимый в дистальный отломок в передне - заднем направлении. Есть статья на английском The jornal of bone & joint surgery
|
[
Ответить ]
|
Re: Неправильно сросшийся перелом
Вадим 05 Июль 2012, 16:04
|
Уважаемый,Сергей.
Наиболее щадящий вид остеосинтеза, который в максимально быстрые сроки обеспечит консолидацию большеберцовой кости - удаление винтов, проксимального конца стержня, ЧКДО с остеотомией малоберцовой кости, устранение смещения отломков большеберцовой кости в аппарата Илизарова и постоянная компрессия (с раздавливанием ложного сустава). Удаление дистального конца стержня через доступ в месте перелома ухудшит кровоснабжение и замедлит консолидацию несмотря на гипертрофический ложный сустав (необходимо учитывать возраст больного и сопутствующие заболевания при удалении дистальной части стержня).Наибольший опыт в лечении таких больных накоплен в РНЦ ВТО им.акад. Г.А. Илизарова.
Вадим.
|
[
Ответить ]
|
Re: Неправильно сросшийся перелом
Мацукатов Феодор 07 Июль 2012, 22:42
|
Пациентов с подобной рентгенологической картиной к нам в РНЦ "ВТО" приезжает немало. Оптимальным вариантом считаю следующий: 1. удаление проксимального фрагмента стержня; 2. Удаление шурупов из дистального стержня; 3. Наложение аппарата Илизарова из 4-х опор (по две на каждый фрагмент и по две спицы в каждой опоре, парафрактурные все с напайками); 4. "Ослабление" зоны ложного сустава (сращения) долотом; 5. Постепенное устранение деформации.
Лично я против т.н. "раздавливающей компрессии". Давно уже доказано, что ни к чему хорошему она не приводит. Главное - стабильный остеосинтез на фоне точного устранения всех элементов деформации. В таких условиях пациент инстинктивно переходит к полной нагрузке на конечность в течении месяца, а это гораздо важнее.
А вообще-то нестабильные переломы предлагаю лечить методом внешней фиксации. Современные его технологии позволяют даже студенту получить точную репозицию в считанные минуты и добиться сращения за 45-50 дней.
С уважением Мацукатов Ф.А.
|
[
Ответить ]
|
( Ответить )
|
|