ВХОД ДЛЯ ПАЦИЕНТОВ
вверх
поиск
админ
главная
|
Посттравматический артроз голеностопного сустава |
 |
 |
 |
Прислано Сергей 03 Июль 2012, 20:52
из
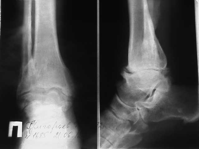
Больной М, 40 лет, повышенного питания,13.01.2005г. получил травму:закрытый косой оскольчатый перелом малоберцовой кости в н/3, поперечный перелом внутренней лодыжки правого голеностопного сустава, разрыв ДМБС, подвывих стопы кнаружи
(диагноз из вып.эпикриза ГорБ-цы, где проводилось лечение).18.01.05г.операция-остеосинтез внутренней лодыжки винтом, малоберцовой кости пластиной, фиксация ДМБС болт-стяжкой. П/о период гладкий.19.01.06г. в связи с консолидацией переломов (Rg-грамм нет) выполнено удаление металлоконструкции. В дальнейшем наблюдался в пол-ке по поводу п/травм.артроза правого г/ст сустава. На сегодня (впервые попал к нам) жалобы на ограничение движений, боли при ходьбе, периодические отёки. Объективно: хромает на правую ногу (без доп. опоры), контуры сустава сглажены, правая стопа незначительно пронирована, пальпация безболезненная, окружность н/3 голени (в проекции лодыжек) +2см, движения в суставе ограничены за счёт тыльного сгибания( 110 градусов). Больной хочет восстановить объём движений и избавиться от болей. Что можно и необходимо сделать в этом случае?
Обратите внимание: Поля с жирными названиями обязательны.
Старайтесь отвечать в рамках обсуждаемой темы, а не начинать новые обсуждения.
Указывайте адекватную тему сообщения, чтобы было ясно, о чем оно.
Не послайте сообщений не по теме (оффтопик), раздраженных, грубых или обидных комментариев. Здесь это неуместно.
|