AOTRAUMA.ORG Центр Илизарова  

Ортопедия и травматология Общие вопросы/General questions Help Информационные технологии в медицине
 вверх
 отправить
 поиск
 админ
 главная


остеомиелит большеберцовой кости
Ортопедия и травматология Отправлено Сергей Пильников 04 Июль 2012, 01:00
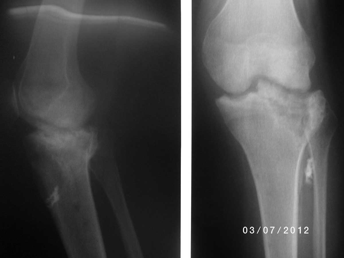
Пациентка Б. 1965 г.р., травма от августа 2011г. закрытый перелом медиального мыщелка большеберцовой кости. Остеосинтез пластиной.
Осложнился нагноением раны. В декабре 2011г. пластина удалена. Неоднократные ревизии. В июле 2012г. появился свищ с гнойным отделяемым. Снимки на данный момент. Планирую санацию, некрсеквестрэктомию, аппаратную фиксацию, проточно-промывное дренирование (7-10 дней), протезирование через 1 год. Коллеги, посоветуйте по тактике лечения. Спасибо. (Старался коротко)

<  |  >

 

  • Сообщения о Ортопедия и травматология
  • Также Сергей Пильников
  • Связаться с автором
  • Ответить

    Re: остеомиелит большеберцовой кости
    Олег Бондарев 05 Июль 2012, 00:01
    Делайте то, что запланировали. После чистки полости уложите бусы с антибиотиком (Стандарт Гентафикса+ 3 грам. Ванкомицина). Проточное дренирование по желанию. Измененные мягкие ткани лучше высечь вместе с кожей и выполнить пластику медиальным брюшком икроножной мышцы. Так шансов, что протез не потечет, будет меньше.
    С уважением,
    Олег Бондарев
    РНПЦ травм и ортоп. Минск
    [ Ответить ]

    • Re: остеомиелит большеберцовой кости
      Отправитель: Коваленко А.Н. 06 Июль 2012, 14:12
      Ни в коем случае нельзя сочетать промывную систему и спейсеры (бусы) с антибиотиками!!!

      [ Ответить ]
    Re: остеомиелит большеберцовой кости
    Afanasyev Oleg 05 Июль 2012, 03:13
    Посев на флору и чувствительность к ан-кам,секвестрнекроэктомия,в полость бусы с антибиотиком,АВФ,анкилоз к/сустава.
    [ Ответить ]

    Re: остеомиелит большеберцовой кости
    Юрий Алексеевич Булахтин 05 Июль 2012, 04:47
    Без КТ трудно определить размер секвестра. Если такой возможности нет, то R-томографию, фистулографию, артропневмографию...

    Юрий Алексеевич Булахтин
    [ Ответить ]

    Re: остеомиелит большеберцовой кости
    maxim agalakov 05 Июль 2012, 17:18
    фото ноги нужно
    [ Ответить ]

    Re: остеомиелит большеберцовой кости
    Екимов Михаил 05 Июль 2012, 21:00
    Действительно, без КТ и фистулографии не обойтись, ещё лучше КТ-фистулография. Это во многом определит диагноз и объём операции.Скорее всего здесь имеются явления гнойного артрита с секвестрацией мыщелков большеберцовой кости, а возможно и бедренной. В таком случае без резекции сустава не обойтись, плюс фиксация в аппарате Илизарова, т.е. идти на артродез. Я так думаю. Всего доброго.
    [ Ответить ]

    Re: остеомиелит большеберцовой кости
    Сергей Пильников 09 Июль 2012, 21:18
    Уважаемые коллеги, спасибо за советы. Сегодня прооперировал. К сожалению начальство запретило аппаратную фиксацию. Ортез. Полость 5х6 см. с гнойным содержимым, сообщается с суставом. Суставные поверхности лизированны, суставной щели нет. Некрсеквестрэктомия, проточно-промывное дренирование.
    [ Ответить ]

    • Re: остеомиелит большеберцовой кости
      Отправитель: Шакола Сергей 10 Июль 2012, 12:21
      Уважаемый Сергей! А что дальше планирует Ваше начальство? При описанной Вами картине напрашивается закрытие полости несвободным мышечным лоскутом и фиксация коленного сустава в АВФ, поскольку это более надежный способ контроля инфекции в ране. А Ваше начальство должно быть в этом заинтересовано( или нет?)для планирования последующих этапов лечения( ТЗКС?).
      С уважением С.К.Шакола

      [ Ответить ]
      • Re: остеомиелит большеберцовой кости
        Отправитель: Сергей Пильников 10 Июль 2012, 20:44
        Уважаемый Сергей! Полностью с Вами согласен, но не нахожу понимания у старших товарищей.

        [ Ответить ]

     

    ( Ответить )

    Powered by Zope  Squishdot Powered MedLink
    Посетитель: 0000140
      "По форме правильно, а по существу - издевательство" В.И.Ленин
    ©2001-2019Orthoforum Coordinator.
    [ Главная | Отправить сообщение | Поиск | Админ ]