Ответить
|
Re: открытый перелом н/3 обеих костей левой глени
Семенистый 05 Июль 2012, 01:53
|
что делать?
Сделать рентгеновские снимки -это как минимум, Неплохо бы еще показать "до" и сразу "после".
|
[
Ответить ]
|
Re: открытый перелом н/3 обеих костей левой глени
Afanasyev Oleg 05 Июль 2012, 03:01
|
Одной фотографии недостаточно для полной информации,Ro-гр?Механизм травмы?
|
[
Ответить ]
|
Re: открытый перелом н/3 обеих костей левой глени
Отправитель: дмитрий 05 Июль 2012, 18:47
|
был сбит автомобилем
|
[
Ответить ]
|
|
Re: открытый перелом н/3 обеих костей левой глени
Юрий Алексеевич Булахтин 05 Июль 2012, 04:43
|
Для начала выложить рентгенограммы
|
[
Ответить ]
|
Re: открытый перелом н/3 обеих костей левой глени
Отправитель: дмитрий 05 Июль 2012, 18:55
|
ответить
|
[
Ответить ]
|
|
Re: открытый перелом н/3 обеих костей левой глени
Maxim Agalakov 05 Июль 2012, 08:16
|
Рентген и фото голени со смежными суставами целиком в разных ракурсах
|
[
Ответить ]
|
Re: открытый перелом н/3 обеих костей левой глени
Сергей. 05 Июль 2012, 11:27
|
Уважаемый, Дмитрий. ЧКО с помощью аппарата Илизарова это не только фиксация, но и еще компрессия и дистракция, а еще возможность управления положением отломков. Как видно из компоновки аппарата (спицефиксаторы старого образца, спицы скушены близко к опорам, спицы не изогнуты) возможно вы не использовали все возможности аппарата Илизарова, а возпользовались только фиксацией (видимо и не наступила консолидация). Возможно следует сделать: перемонтаж апарата Илизарова для облегчения доступа к ранам, устранения скольжения голени по спицам, аутодермоплатиска ран. А далее Rg снимки в форум.
|
[
Ответить ]
|
Re: открытый перелом н/3 обеих костей левой глени
Отправитель: дмитрий 06 Июль 2012, 11:23
|
спасибо.а что делать осколками между фрагментами?
|
[
Ответить ]
|
|
Re: открытый перелом н/3 обеих костей левой глени
дмитрий 05 Июль 2012, 18:40
|

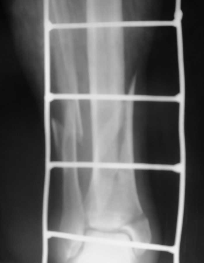
рентгенограмы
|
[
Ответить ]
|
Re: открытый перелом н/3 обеих костей левой глени
Doktorov Alexey 06 Июль 2012, 01:08
|
Уважаемый Дмитрий, не совсем понятно, когда Вы спрашиваете "что делать". Что делать с переломом или кожными дефектами, или и с тем и другим? Судя по фотографии дефект кожи в нижней трети обусловлен неврозом кортикала б/берцовой кости. Можно было бы попробовать сделать вторичную хирургическую обработку и перфорацию кости спицами дабы дать возможность снизу вырасти грануляциям, а на них уже выполнить аутодермопластику, либо попробовать закрыть дефект местно выкроив кровоснабжаемый лоскут, либо брюшко мышцы. Что касается АВФ, создается впечатление, что он недостаточно стабилен, а отломки немного перерастянуты, хотя по оси смотрится очень прилично. Желаю удачи.
|
[
Ответить ]
|
Re: открытый перелом н/3 обеих костей левой глени
Отправитель: дмитрий 06 Июль 2012, 11:18
|
с тем и другим.мне интересно,что делать с двумя осколками свободно
лежащими.
|
[
Ответить ]
|
Re: открытый перелом н/3 обеих костей левой глени
Отправитель: Мацукатов Феодор 07 Июль 2012, 23:19
|
Если судить по рентгенологической картине, то по всей вероятности имеем дело с механизмом непрямой травмы. Такие переломы при хорошем сопоставлении отломков срастаются в пределах 60-70 дней. На фото видны инфицированные раны, будто это участки некроза. Как бы там ни было созерцаемый на фото аппарат "неживой" и нефункциональный, будто его давно не касалась рука врача. Он полностью исчерпал себя, думаю, что он нестабилен. Предлагаю его демонтировать, дать конечности отдохнуть 2-3 недели, за это время провести курс комплексой терапии, как общей, так и местной, затем пациента вновь взять в операционную. Судя по фото, конечность атрофичная, поэтому есть возможность использовать кольца аппарата Илизарова малого диаметра, они фиксируют жестче. На дистальный фрагмент, судя по рентгенограммам, можно установить только одну опору. Чтобы она фиксировала хорошо, необходимо провести спицы (все с напайками с разных сторон) с хорошим перекрестом и разбросом. Для большей стабильности можно временно, на 3 недели, зафиксировать стопу 3/4 кольца и 2 спицами через пятку. На проксимальный фрагмент необходимо установить две опоры, причем нижняя из них должна быть расположена выше ран, чтобы легче было за последними ухаживать. Также провести по две перекрещивающиеся спицы с хорошим перекрестом и натяжением. Осколок можно дополнительно фиксировать спицей с напайкой за пределами ран ИЛИ В КРАЙНЕМ СЛУЧАЕ КОНСОЛЬЮ С НАПАЙКОЙ. Постарайтесь добиться максимально точной репозиции. Только так можно стабилизировать перелом, что позволит пациенту адекватно нагружать конечность, а это и есть путь к решению проблемы.
С уважением Мацукатов Ф.А.
|
[
Ответить ]
|
Re: открытый перелом н/3 обеих костей левой глени
Отправитель: дмитрий 09 Июль 2012, 01:20
|
Спасибо
|
[
Ответить ]
|
Re: открытый перелом н/3 обеих костей левой глени
Отправитель: дмитрий 09 Июль 2012, 01:25
|
а что означает курс комплексной терапии?
|
[
Ответить ]
|
Re: открытый перелом н/3 обеих костей левой глени
Отправитель: Мацукатов Феодор 10 Июль 2012, 10:21
|
1. Антибиотикотерапия в соответствии с результатами посева. Желательно 2 антибиотика.
2. Мероприятия по очищению ран от некротических наложений. Каждый раз на перевязке вооружайтесь пинцетом и скальпелем и аккуратно удаляйте нежизнеспособные ткани. Перевязки с химотрипсином или мазью ируксол для расплавления некротизированных тканей 1 раз в 2-3 дня.
3. После очищения раны - актовегин или солкосерил как местно, так и парентерально.
4. Дополнительно: трентал, никотиновая кислота, витамины.
5. Ретаболил - по 50 мг 1 раз в 15 дней. 2 иньекции на курс.
6. Как иммуностимулятор можно ронколейкин, если он у вас есть.
7. Гипербарическая оксигенация №7, если есть такая возможность.
Будут вопросы - пишите, можно в личку.
С уважением.
|
[
Ответить ]
|
Re: открытый перелом н/3 обеих костей левой глени
Отправитель: Мацукатов Феодор 10 Июль 2012, 10:27
|
Кстати, репозиция у Вас неплохая, только большой диастаз между отломками. Если отломки еще податливы, то попробуйте его устранить.
|
[
Ответить ]
|
Re: открытый перелом н/3 обеих костей левой глени
Отправитель: дмитрий 12 Июль 2012, 03:24
|
остеотомия м/б кости нужна?
|
[
Ответить ]
|
Re: открытый перелом н/3 обеих костей левой глени
Отправитель: Мацукатов Феодор 13 Июль 2012, 21:25
|
С этим можно определиться только на операционном столе, исходя из податливости при устранении деформации. Судя по выложенным снимкам там сращения нет. Кстати, имеется наружная ротация дистального отломка большеберцовой кости порядка 15 градусов. Об этом свидетельствует то, что он на прямой проекции шире, чем проксимальный.
С уважением.
|
[
Ответить ]
|
Re: открытый перелом н/3 обеих костей левой глени
Отправитель: дмитрий 14 Июль 2012, 00:27
|
что делать с ротацией отломка?оставить так?
|
[
Ответить ]
|
Re: открытый перелом н/3 обеих костей левой глени
Отправитель: дмитрий 14 Июль 2012, 00:30
|
может просто фрагменты перерастянуты?
|
[
Ответить ]
|
Re: открытый перелом н/3 обеих костей левой глени
Отправитель: Мацукатов Феодор 14 Июль 2012, 08:10
|
Лучше оставьте так, потому что велика вероятность получить поперечное смещение при ее устранении, а Вы, как понимаю, не имеете большого опыта работы с аппаратом. На сегодняшний день главное - срастить, а для этого нужна стабильная фиксация. Вопросы пишите на ящик theodorosm@mail.ru
С уважением.
|
[
Ответить ]
|
Re: открытый перелом н/3 обеих костей левой глени
Отправитель: Григорий 23 Сентябрь 2012, 12:35
|
можно еще попробовать инъекции озона по периферии ран-может дать неплохой эффект
|
[
Ответить ]
|
|
( Ответить )
|
|