ВХОД ДЛЯ ПАЦИЕНТОВ
вверх
поиск
админ
главная
|
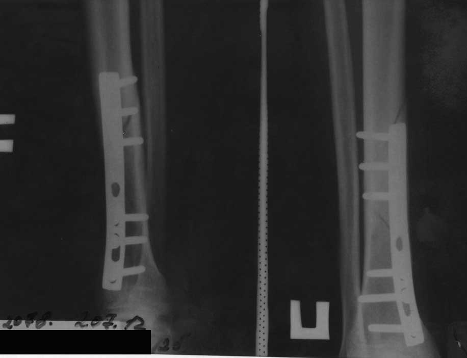
Повторный перелом н/3 большеберцовой кости с наличием металлофиксаторов |
 |
 |
 |
Прислано Vlad Kozanchuk 08 Июль 2012, 04:32
из
Уважаемые коллеги, доброго времени суток!
Больной 25 лет, нормостеник, курящий.
Травма бытовая 28.01.2012. Госпитализирован в травм. отделение. 30.01.2012 выполнено оперативное вмешательство - открытая репозиция, металлоостеосинтез накостной пластиной (сразу приношу извинения за качество п/о рентгенограмм, к тому же, у больного сохранился снимок только в прямой проекции). П/о период без особенностей. Выписан на амбулаторное лечение. Через 4 месяца - полная нагрузка на ногу, вёл обычный образ жизни. 02.07.2012 спрыгнул с дерева и внезапно почувствовал сильную боль в голени. На рентгенограмме - повторный перелом.
Временно наложен сапожок HM Cast. Вопрос: что делать? Оставить так как есть? Открыться и поставить пластину подлиннее(на б/б стержень у больного нет $)? По-моему, линия излома проходит через места выхода винтов, боюсь, как бы они не стали "распоркой" для костных отломков и не стали препятствовать сращению...
Заранее благодарен за помощь.
С уважением,
Влад Козанчук
Маньковская ЦРБ
Черкасская область
Украина.
Обратите внимание: Поля с жирными названиями обязательны.
Старайтесь отвечать в рамках обсуждаемой темы, а не начинать новые обсуждения.
Указывайте адекватную тему сообщения, чтобы было ясно, о чем оно.
Не послайте сообщений не по теме (оффтопик), раздраженных, грубых или обидных комментариев. Здесь это неуместно.
|