AOTRAUMA.ORG Центр Илизарова  

Ортопедия и травматология Общие вопросы/General questions Help Информационные технологии в медицине
 вверх
 отправить
 поиск
 админ
 главная


перелом пяточной кости
Ортопедия и травматология Отправлено Роман Д. 08 Июль 2012, 16:13
Уважаемые коллеги помогите определиться по дальнейшей тактике лечения
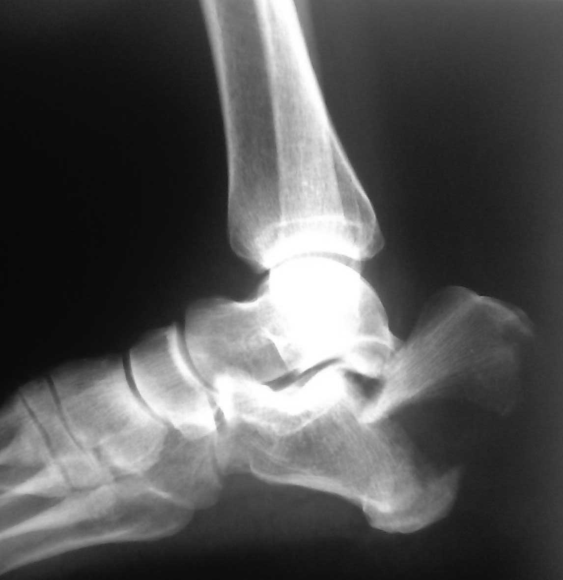
пациент 1966г.р. травма бытовая 19.06.12г падение с высоты 2 этажа, находясь в состоянии возбуждения, на фоне отмены алкоголя. Пациент галлюцинировал, была наложена гипсовая лонгета, госпитализирован в наркологическое отделение. После вывода из состояния возбуждения был переведен в травматологическое отделение. Определялся выраженный отек пяточной области, обширные фликтены. Наложено скелетное вытяжение за пяточный бугор, которое пациент самостоятельно неоднократно снимал ( отрывал шнур и снимал груз). Скелетное вытяжение несколько раз переводилось, пациент ходил с полной нагрузкой на больную ногу . Проводилась закрытая ручная репозиция- безуспешно.в настоящее время флектены зажили, по задней поверхности в области пяточного бугра определяется участок некроза ( следствие пролежня от отломка), черного цвета без явных признаков воспаления, 3.3*3.5 см).планируем открыться(хотя настораживает наличие некроза), попытаться выполнить репозицию ,вопрос встал чем фиксировать, в наличии есть только аппарат, винты, пластин нет. Заранее спасибо. С уважением Роман Д.

<  |  >

 

  • Сообщения о Ортопедия и травматология
  • Также Роман Д.
  • Связаться с автором
  • Ответить

    Re: перелом пяточной кости
    Alex 09 Июль 2012, 04:10
    Оперативное лечение переломов типа А1( “открытый утиный клюв “)
    Оперативное вмешательство желательно выполнять в первые 6-12 часов с момента травмы, или по прошествии 7-10 суток с момента повреждения, но не более трех недель. В качестве доступа используется вертикальный дугообразный задне-латеральный разрез. Открытая репозиция отломков выполняется за счет вывода стопы в положение подошвенного сгибания (эквинуса) и сгибания конечности в коленном суставе с последующей анатомической адаптацией отломка однозубым крючком и провизорной фиксацией достигнутого репонированного положения двумя спицами Киршнера.
    Окончательная фиксация выполняется с помощью двух спонгиозных винтов, по аналогии с остеосинтезом внесуставного отрывного перелома бугра пяточной кости, которые вводятся перпендикулярно линии перелома из верхушки и верхнего края пяточной кости в тело, с обязательным погружением их резьбовых частей в противоположный кортикальный слой подошвенной поверхности пяточной кости. После этого провизорные спицы удаляются. В дальнейшем, внешняя иммобилизация гипсовой лонгетой используется только в послеоперационном периоде на протяжении 7 дней, после чего начинают активные и пассивные движения в суставах прооперированной стопы и в голеностопном суставе, массаж мышц голени и стопы. Ходьбу с помощью костылей без весовой нагрузки на конечность начинают с третьих суток после оперативного вмешательства. Дозированную весовую нагрузку на прооперированную конечность разрешают с 7-8 недели после вмешательства, полную – с 10 недели. Удаления металлических конструкций выполняют через 8-12 месяцев.

    [ Ответить ]

    Re: перелом пяточной кости
    Андрей Волна 09 Июль 2012, 14:33
    Одна из нечастых ситуаций с пяткой, когда была показана ЭКСТРеННАЯ операция. Открытая, полуоткрытая репозиция с фиксацией винтами. В первую очередь, для предотвращения некроза кожи. А теперь? Зависит от состояния мтк. Аппарат не исключен.
    [ Ответить ]

    Re: перелом пяточной кости
    Дедок Михаил 09 Июль 2012, 23:34
    Вариант 1. Пусть дальше ходит с "полной нагрузкой на ногу" ибо не в коня корм.

    Вариант 2. Введите, не открываясь, в пяточный бугор винт Шанца и тракцией книзу сделайте репозицию. Затем чрез кожно временно спицами и потом чрезкожно винтами. По идее должно получится, времени прошло не много.

    3. Если не получится винтом, то сделайте репозицию аппаратом в операционной одномоментно и затем опять же винты.

    Но он все равно будет ходить.... и похерит все Ваши труды.
    Удачи.


    [ Ответить ]

    Re: перелом пяточной кости
    Alex 10 Июль 2012, 01:23
    Оперативное лечение переломов типа А1( “открытый утиный клюв “)
    Оперативное вмешательство желательно выполнять в первые 6-12 часов с момента травмы, или по прошествии 7-10 суток с момента повреждения, но не более трех недель. В качестве доступа используется вертикальный дугообразный задне-латеральный разрез. Открытая репозиция отломков выполняется за счет вывода стопы в положение подошвенного сгибания (эквинуса) и сгибания конечности в коленном суставе с последующей анатомической адаптацией отломка однозубым крючком и провизорной фиксацией достигнутого репонированного положения двумя спицами Киршнера.
    Окончательная фиксация выполняется с помощью двух спонгиозных винтов, по аналогии с остеосинтезом внесуставного отрывного перелома бугра пяточной кости, которые вводятся перпендикулярно линии перелома из верхушки и верхнего края пяточной кости в тело, с обязательным погружением их резьбовых частей в противоположный кортикальный слой подошвенной поверхности пяточной кости. После этого провизорные спицы удаляются. В дальнейшем, внешняя иммобилизация гипсовой лонгетой используется только в послеоперационном периоде на протяжении 7 дней, после чего начинают активные и пассивные движения в суставах прооперированной стопы и в голеностопном суставе, массаж мышц голени и стопы. Ходьбу с помощью костылей без весовой нагрузки на конечность начинают с третьих суток после оперативного вмешательства. Дозированную весовую нагрузку на прооперированную конечность разрешают с 7-8 недели после вмешательства, полную – с 10 недели. Удаления металлических конструкций выполняют через 8-12 месяцев.

    [ Ответить ]

    • Re: перелом пяточной кости
      Отправитель: Ушаков Сергей 10 Июль 2012, 18:15
      День добрый! коллеги. С подобными ситуациями сталкиваемся достаточно часто, и алкогольный и наркотический делирии.В идеале: сразу после травмы закрытая репозиция была бы успешна без проблем. фиксация пучком разнонаправленных спиц или винтом Штеймана, дополнително гипсовая повязка с окном в эквинусе, а "умные операции-умным людям". И аппарат ,и накостный остеосинтез в данном случае "противопоказаны". Сейчас, учитывая наличие пролежня, в проекции бугра наружный углообразный доступ не применим-полыхнет, репозиция винтом Штеймана не выполнима, через некроз не введеш. попробуйте отрепонировать при помощи большой репонирующей цапки закрыто, если не получится небольшой доступ снаружи для разобщения отломков, репозиция, фиксация пучком разнонаправленных спиц и гипсовой повязкой в эквинусе с окном для перевязок. С уважением Сергей.

      [ Ответить ]
    Re: перелом пяточной кости
    Андрей 10 Июль 2012, 21:00
    Мое предложение: закрытая репозиция с использованием джойстиков с последующей фиксацией 2 спонгиозными винтами. и пусть ходит. С такими "друзьями" аппарат, открытая репозиция - будут родственники.
    [ Ответить ]

    Re: перелом пяточной кости
    Роман Д. 11 Июль 2012, 19:32
    Огромное спасибо уважаемые коллеги.Как всегда ответы были исчерпывающими!Посмотрим как будет протекать послеоперационный период. Хотя он в этот же день начал приступать на носок больной ноги!
    Человек измученный "Нарзаном"!
    С уважением Роман Д.
    [ Ответить ]


    ( Ответить )

    Powered by Zope  Squishdot Powered MedLink
    Посетитель: 0390014
      "По форме правильно, а по существу - издевательство" В.И.Ленин
    ©2001-2019Orthoforum Coordinator.
    [ Главная | Отправить сообщение | Поиск | Админ ]