вверх
отправить
поиск
админ
главная
|
Псевдоартроз правой бедренной кости в н/3 |
 |
 |
 |
Отправлено Игорь 10 Июль 2012, 03:01
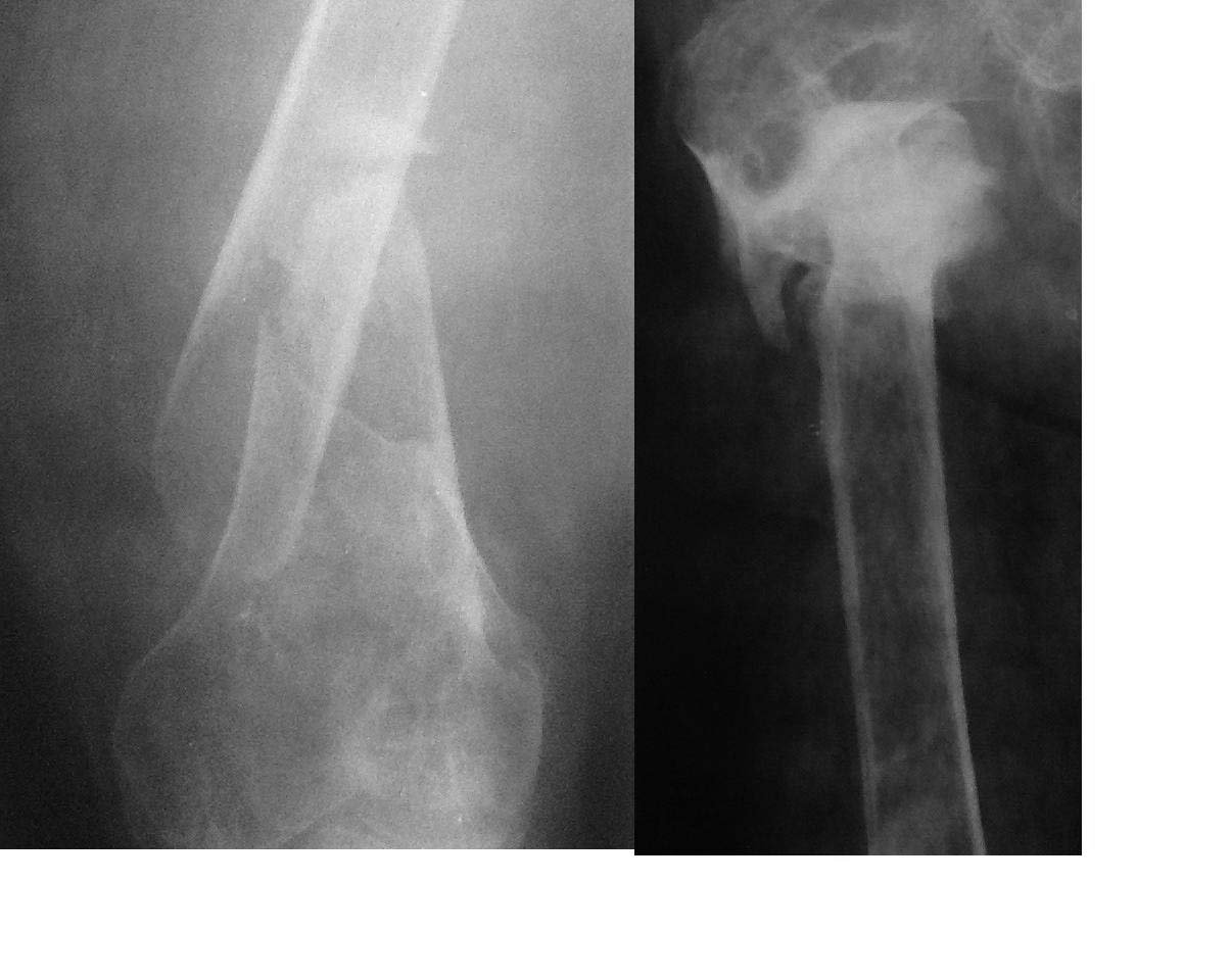
Пациент 52 года обратился с диагнозом псевдоартроз правой бедренной кости в нижней трети. Из анамнеза в 1986 году политравма в результате ДТП: таз, кости голени, проксимальное бедро справа (обращает на себя особое внимание в силу неправильной консолидации см. снимки). В 2010 бытовая травма: перелом диафиза правого бедра в н/3. Консервативное лечение на скелетном вытяжении около 3-х месяцев с формированием ложного сустава и фиброзного анкилоза правого коленного сустава. Лечился в спице-стержневом аппарате внешней фиксации, последний был демонтирован в связи с формированием спицевого остеомиелита. На данный момент кожный покров чистый, больной передвигается на костылях без опоры на конечность. Закрытый интромедуллярный остеосинтез по классическим методикам кажется проблематичным в силу невозможности сформировать точки входа (анкилоз коленного сустава при ретроградном, неправильно сросшийся перелом проксимального отдела бедра при антеградном остеосинтезе). В итоге склоняемся к остеосинтезу пластиной с костной пластикой. Однако, учитывая низкое качество кости, остеомиелит в анамнезе, открытые вмешательства не кажутся оптимальными. Хотелось бы услышать альтернативные варианты/предложения по лечению данного пациента.
<
|
>
|
|