вверх
отправить
поиск
админ
главная
|
Перелом пятки - тактика лечения? |
 |
 |
 |
Отправлено Сергей 10 Июль 2012, 17:27
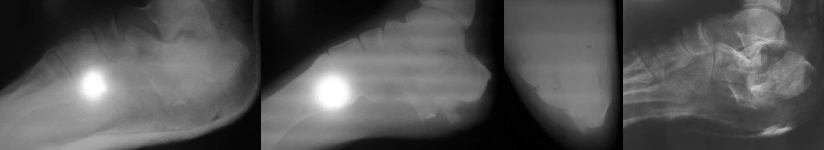
Уважаемые коллеги! П-ка, 28 лет, выпрыгнула с 3 этажа в состоянии а/о, неосл.переломы L1,2,3,ушиб почки, мочевого пузыря, перелом пяточной кости справа без смещения, оскольчатый перелом левой пяточной кости со смещением. Rn-гр.соответственно при поступлении, контроль в динамике и после закрытой ручной репозиции под в/в анестезией. Грубое смещение сохраняется. В арсенале спицы Киршнера, возможен забор аутотрансплантата. Есть сомнения по поводу заживления (алкогольный анамнез и возможно не только) после операции. Нужно в данном случае всеми средствами приводить к более менее терпимой картине? Допустима операция после консолидации этой "каши" в отсроченном порядке или вообще консервативная тактика. Повторюсь, есть сомнения в выполнении п-кой послеоперационных рекомендаций, возможно нарушение ортопедического режима? Спасибо за ваше мнение.
<
|
>
|
|
Ответить
|
Re: Перелом пятки - тактика лечения?
Kuleshov 11 Июль 2012, 01:28
|
По представленным рентгенограммам судить о чем-то сложно. Полноценным исследованием считается с выполнением снимков в 5 проекциях, а лучше еще и КТ. По латеральной проекции после репозиции создается впечатление об относительно приемлемом состоянии подтаранного сустава. Возможно, в данной ситуации после спадения отека (появление морщинок на коже стопы) можно попробовать отрепонировать бугор пяточной кости на стержне Штеймана, фиксировать спицами, проведенными через него в таранную и кубовидную кости, загнув и оставив их над поверхностью кожи. Иммобилизация окончатой повязкой. Спицы, кстати, уменьшат желание ходить на сломанной пятке. Если пациентка совсем не комплаентна, можно оставить как есть с прицелом на артродез подтаранного сустава через год-два, если созреет. Открыто оперировать не стал бы в силу интеллектуально-социальных особенностей пациента, даже если бы ORIF была бы показана по рентгенограммам и КТ.
|
[
Ответить ]
|
Re: Перелом пятки - тактика лечения?
Afanasyev Oleg 11 Июль 2012, 01:48
|
ВО ЧКО по Илизарову,стержень в пяточный бугор,низвести.И в перспективе 3-х сутавной артродез.
|
[
Ответить ]
|
Re: Перелом пятки - тактика лечения?
Maxim Agalakov 13 Июль 2012, 09:32
|
Можно попробовать полечить по Essex-Lopresti любым доступным стержнем. Методика на русском есть в одном из номеров Margo Anterior
|
[
Ответить ]
|
Re: Перелом пятки - тактика лечения?
Сергей 17 Июль 2012, 21:51
|
Решил не оперировать: сухой некроз на всю пятку, фликтены с обеих сторон пяточной кости в стадии заживления. Считаю,что риск инфекционных осложнений даже с использованием спиц высокий.
|
[
Ответить ]
|
Re: Перелом пятки - тактика лечения?
Григорий 23 Сентябрь 2012, 12:22
|
Если нет возможности открытой репозиции я бы наложил ск.вытяжение за пят.бугор и за ногтевую фалангу 1го пальца и дал тягу по двум векторам
|
[
Ответить ]
|
( Ответить )
|
|