вверх
отправить
поиск
админ
главная
|
ложный сустав н/3 костей голени |
 |
 |
 |
Отправлено Алмасбек 19 Июль 2012, 18:07
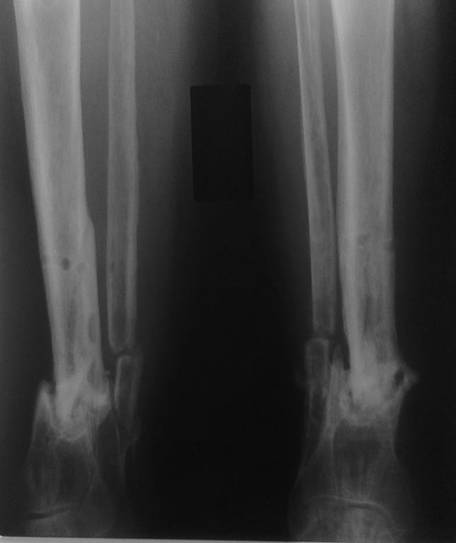
Больной А 50 лет. Тугой ложный сустав н/3 костей голени, был открытый оскольчатый перелом н/3 костей голени в 2010 году, лечение консервативное, 2011 году по поводу ложного сустава оперирован в г. Ташкенте: ВКДО аппаратом Илизарова, в свизи с болевым синдромом и инфицированием вокруг спиц, больной отказался от аппаратной фиксации, (психологический пациент не совсем адекватный), ч/3 6 мес демонтаж аппарата, но рентгенологических признаков консолидации нет. В данный момент голень фиксирована эластическим бинтом, наступает с помощью троста, хромает, у больного сопутствующий посттравматическая болезнь головного мозга, парез правой в/к. В н/к пареза нет.Какая тактика лучше: 1.У меня на руках есть: Интрамед ретроградный стержень для большеберцовой кости (Chm)- 8-10х240-260мм. и Аппарат Илизарова. 2. Как репонировать костныt отломкb (открытым или закрытым способом), 3. Резекция краев костных отломков (адаптировать) и очистка от рубцовых тканях надо или нет. 4. Аутопластика спонгиозной костью... 5. Оптимальный метод остеосинтеза 6. В проксимальных отделах стержня нет овального отверстия для динамизации, при этой ситуации динамизация...
<
|
>
|
|
Ответить
|
Re: ложный сустав н/3 костей голени
Алексей 19 Июль 2012, 22:31
|
Продольная малоинвазивная (через микроинцизию кожи)остеотомия зоны ложного сустава б/б кости + компрессионный стабильный остеосинтез по Илизарову с ранней нагрузкой весом тела на конечнсоть.
|
[
Ответить ]
|
Re: ложный сустав н/3 костей голени
Алмасбек 20 Июль 2012, 16:49
|
Как вы смотрите на ретроградный чрезсуставной (голеностопный сустав) блокирующий остеосинтез большеберцовой кости специальным гвоздем для артродеза.
|
[
Ответить ]
|
Re: ложный сустав н/3 костей голени
maxim agalakov 20 Июль 2012, 19:26
|
а какие методики вам доступны?
|
[
Ответить ]
|
Re: ложный сустав н/3 костей голени
maxim agalakov 20 Июль 2012, 19:38
|
в первую очередь следует исключить или подтвердить инфекцию (срб, пунктат). А дальше вариантов много, в том числе и тот, что у вас в руках, скорее не самый оптимальный
|
[
Ответить ]
|
Re: ложный сустав н/3 костей голени
Сергей 21 Июль 2012, 08:39
|
1. ЧКО с помощью аппарата Илизарова не показан пациентам с психологическими нарушениями!!!
2. Репонировать тугой ложный сустав? закрыто - не получится, открыто - укорочение (т.к. простой остеотомии здесь не хватит)
3. Сразу будет укорочение, а если аппрат не показан, то резекция тоже не показана.
4. Зачем? Результат?
5. Интрамедулярный стержень. Рассмотрите вопрос раннего артродезирования голеностопного сустава.
6. Плохо.
P.S. В данном случае считаю не следует проводить оперативное лечение.
|
[
Ответить ]
|
( Ответить )
|
|