AOTRAUMA.ORG Центр Илизарова  

Ортопедия и травматология Общие вопросы/General questions Help Информационные технологии в медицине
 вверх
 отправить
 поиск
 админ
 главная


Экзостозы
Ортопедия и травматология Отправлено Marina 20 Июль 2012, 00:18
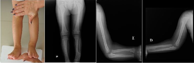
Здравствуйте, уважаемые коллеги!Посоветуйте как поступить при деформации голени у ребенка.
Ребенку 2 года 8 месяцев. Около полугода назад появилась деформация нижней трети левой голени. Сделали рентгенограммы. У матери ребенка так же экзостозы в верхней трети большеберцовой кости, ребер.Что можно предпринять при такой деформации голени?

<  |  >

 

  • Сообщения о Ортопедия и травматология
  • Также Marina
  • Связаться с автором
  • Ответить

    Re: Экзостозы
    Сергей 21 Июль 2012, 08:24
    Хотелось бы Rg нижних конечностей большего формата и клинические измерения, описание походки.
    [ Ответить ]

    Re: Экзостозы
    Алексей 26 Июль 2012, 23:48
    У ребенка имеется полиоссальная форма экзостозной хондродисплазии, которая лечиться последовательным удалением экзостозов путем краевой резекции. Какие-либо коррегирующие операции в данном возрасте не показаны.
    [ Ответить ]


    ( Ответить )

    Powered by Zope  Squishdot Powered MedLink
    Посетитель: 0000308
      "По форме правильно, а по существу - издевательство" В.И.Ленин
    ©2001-2019Orthoforum Coordinator.
    [ Главная | Отправить сообщение | Поиск | Админ ]