вверх
отправить
поиск
админ
главная
|
Ложный сустав вертельной области и с/з диафиза бедра |
 |
 |
 |
Отправлено Абдурашид 24 Июль 2012, 00:41
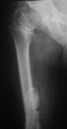
Уважаемые коллеги. Госпитализирован б-ной 47 лет, травма высотная 9 месяцев назад, тогда оперирован и/м остеосинтез (чрезвертельный перелом не диагностирован) в одном мед.объединение, через 3 месяца почему-то штифт удален. Больной ходит с двумя костылями, ногу не нагружает, выраженная патологическая подвижность в с/з бедра, в обл вертелов патологическую подвижность определить не удается, умеренная отечность всего бедра, укорочение около 4-5см. В плане в начале дистрактор, после устранения укорочение и репозиции БИОС реконструктивным стержнем( универсальным). Уважаемые коллеги помогите советом!, какие другие варианты, нюансы, случаи из практики! С уважением Абдурашид.
<
|
>
|
|
Ответить
|
Re: Ложный сустав вертельной области и с/з диафиза бедра
Савранский Александр 29 Июль 2012, 14:31
|
Наверное имеет смысл покачать бедро под ЭОПом и определить есть ли сращение чрезвертела.
Если нет, то Ваш план хорош- можно зафиксировать оба перелома. Если же чрезвертел сросся, то диафиз можно фиксировать ретроградно или LCP с костной пластикой.
Хотелось бы увидеть результат.
|
[
Ответить ]
|
Re: Ложный сустав вертельной области и с/з диафиза бедра
Отправитель: Абдурашид 30 Август 2012, 22:58
|
Извините коллеги , что так долго.

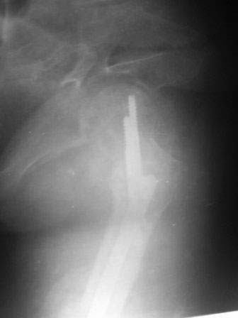
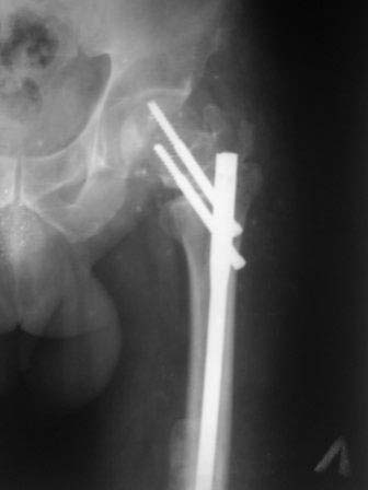
ЭОП унас нет, больной оперирован тогда, 35 дней назад, во время наркоза определена патологическая подвижность в вертельной обл, поэтому произведена остеотомия с исправлением угла, антеградный БИОС ,универсальный стержень ChM. Рентген снимки свежие фас и аксиальная. Пациент ходит с двумя костылями, ногу частично нагружает, лежа выпрямленную ногу поднимает.
С уважением Абдурашид.
|
[
Ответить ]
|
Re: Ложный сустав вертельной области и с/з диафиза бедра
Отправитель: Антон Лебединец 31 Август 2012, 12:35
|
Прошу прощения, забыл, что еще есть проблема на диафизе :) Вопрос по коррекции угла остается - как сами расцениваете - удалось добиться восстановления ШДУ?
|
[
Ответить ]
|
Re: Ложный сустав вертельной области и с/з диафиза бедра
Отправитель: Антон Лебединец 01 Сентябрь 2012, 14:30
|
... произведена остеотомия с исправлением угла, антеградный БИОС, универсальный стержень ChM...
На мой взгляд угол абсолютно не исправлен, а даже где-то уменьшился (106 гр. против 114), есть все условия для прорезывания шеечных винтов при нагрузке. Если открывали зону перелома, почему не выбрали в качестве импланта клинковую пластину?
С уважением А. В. Л.
|
[
Ответить ]
|
|
( Ответить )
|
|