ВХОД ДЛЯ ПАЦИЕНТОВ
вверх
поиск
админ
главная
|
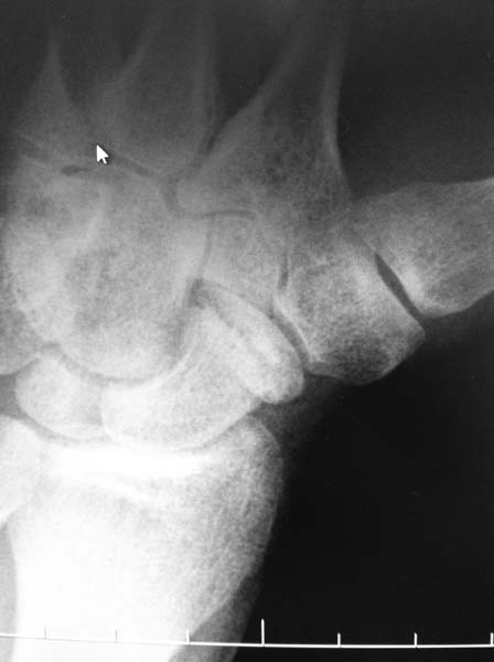
Ложный сустав ладьевидной кости |
 |
 |
 |
Прислано Константин 25 Июль 2012, 01:09
из
Уважаемые коллеги! Выскажете свое мнение по тактике лечения.
Пациент 21год, обратился через 6 месяцев после травмы с жалобами на ограничение движений и боль в области кистевого сустава. На рентгенограммах видно, что размер дистального отломка ладьевидной кости невелик, в связи с чем возникает вопрос: есть ли смысл делать аутопластику костным штифтом или показано удаление дистального отломка? Сомнения возникли в связи с возможными техническими трудностями (вероятность расколоть столь малый отломок при формировании канала), да и вообще перспектив сращения такого рода ложного сустава. Заранее благодарен за ответы. С уважением.
Обратите внимание: Поля с жирными названиями обязательны.
Старайтесь отвечать в рамках обсуждаемой темы, а не начинать новые обсуждения.
Указывайте адекватную тему сообщения, чтобы было ясно, о чем оно.
Не послайте сообщений не по теме (оффтопик), раздраженных, грубых или обидных комментариев. Здесь это неуместно.
|