AOTRAUMA.ORG Центр Илизарова  

Ортопедия и травматология Общие вопросы/General questions Help Информационные технологии в медицине
 вверх
 отправить
 поиск
 админ
 главная


новообразование
Ортопедия и травматология Отправлено ANVAR 25 Июль 2012, 17:54
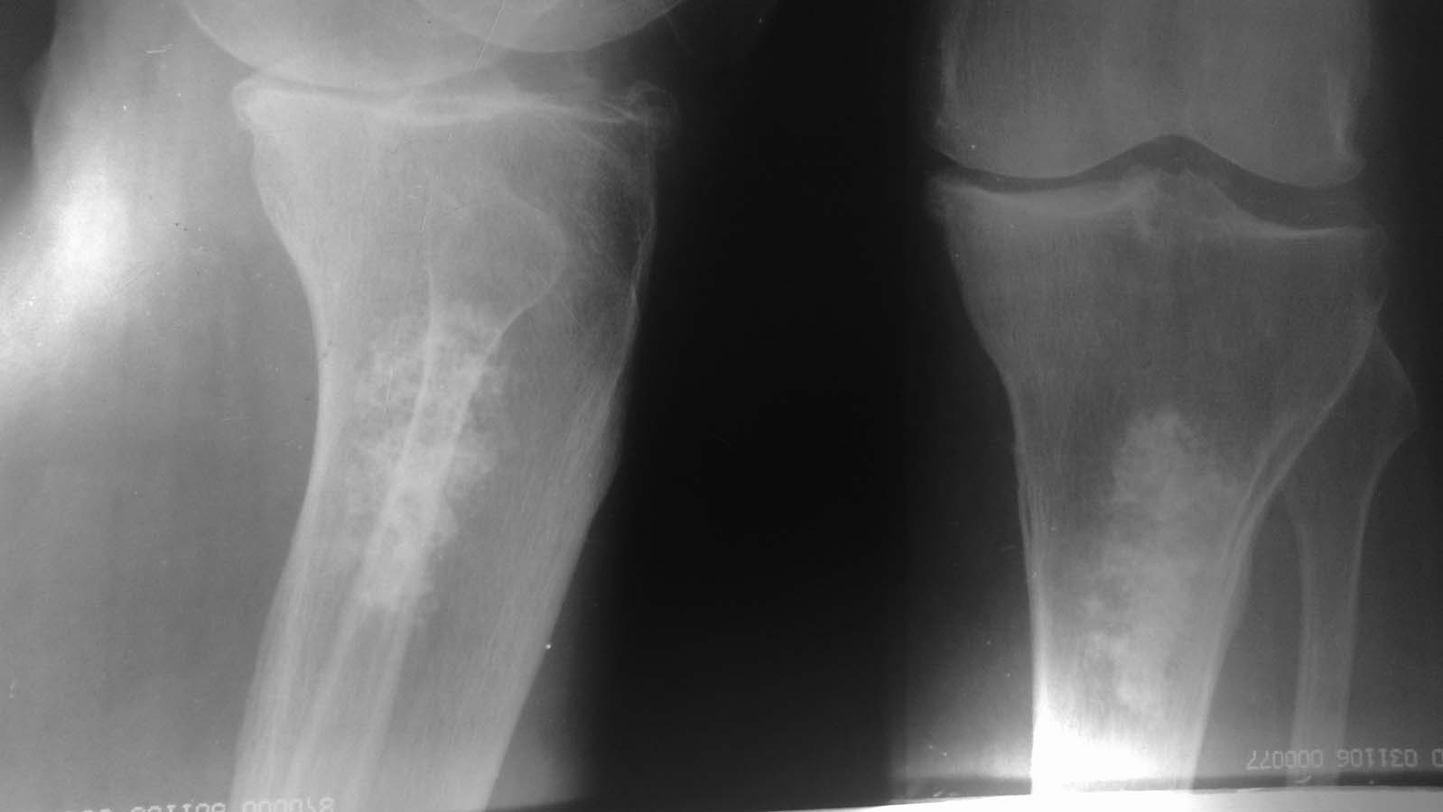
Пациентка 65 лет
что это может быть за образование?

<  |  >

 

  • Сообщения о Ортопедия и травматология
  • Также ANVAR
  • Связаться с автором
  • Ответить

    Re: новообразование
    Тони 26 Июль 2012, 01:11
    Внутрикостный хондроматоз. Нужна КТ.
    При подтверждении - оперативное лечение, удаление хондромных тел, заполенение полости коллапаном, хронос и.т.д.
    Если не оперировать может озлокачествляться.
    [ Ответить ]

    Re: новообразование
    Максим Королев 26 Июль 2012, 14:43
    Абсцес Броди
    [ Ответить ]

    Re: новообразование
    Сергей1 27 Июль 2012, 08:18
    Уважаемый, Анвар! Это может быть остеосаркома.
    [ Ответить ]

    Re: новообразование
    Эрик 29 Июль 2012, 20:07
    Возможно,злокачественная опухоль кости,нужна гистология,и в любом случае оперативное удаление

    [ Ответить ]

    Re: новообразование
    Alexander Chelnokov 30 Июль 2012, 04:43
    Возможно, это просто обызвествление после инфаркта костного мозга. Клиника в чем состоит?
    [ Ответить ]

    Re: новообразование
    Алмасбек 02 Август 2012, 17:31
    Уважаемый Анвар, у меня был аналогичный случаи. Пацент А 20 лет, спортсмен, студент спортфака. В течение 2 нед беспокоит умеренные постоянные боли в в/3 голени. Визуально голень без никаких изменений.
    Обследовал, сделал рентгенограмму, КТ, лабораторные исслед. Думал Абсцесс Броди или онкопроцесс. Госпитализировал, взял биопсию. На стеклопрепаратах везде имеется атипичные клетки никокого абсцесса Броди нет. Направален в онкоцентр, где проходил несколько курс химиотерапию,онкопротез, через год летальный исход.
    Кликните для загрузки файла PC080247.JPG
    1109KB (1136535 bytes)

    [ Ответить ]

    Re: новообразование
    Алмасбек 02 Август 2012, 17:39
    выставлен диагноз. Остеосаркома
    Кликните для загрузки файла Фото0882.jpg
    612KB (627415 bytes)

    [ Ответить ]

    Re: новообразование
    Илья 03 Август 2012, 08:35
    Это энхондрома. Вероятность преобразования в злокачественную опухоль менее одного процента. Симптомы преобразования, рост опухоли или боль в районе опухоли. У вашей пациентки артрит, так что скорее всего у неё просто болит колено от артрита. Сделайте КТ, а потом проводите рентген контроль, сначала раз в три месяца, потом раз в шесть, а потом ежегодно. Если будет рост опухоли или боли в её районе, повторите КТ, чтобы подтвердить, растёт ли она. А так, её лучше не трогать.
    [ Ответить ]

    • Re: новообразование
      Отправитель: Сергей Тарасов 03 Август 2012, 16:51
      Согласен с Алексеем Николаевичем, это банальный инфаркт костного мозга.

      [ Ответить ]
    Re: новообразование
    Сергей Тарасов 03 Август 2012, 16:53
    Прошу прощения, Александром Николаевичем:)
    [ Ответить ]


    ( Ответить )

    Powered by Zope  Squishdot Powered MedLink
    Посетитель: 0191937
      "По форме правильно, а по существу - издевательство" В.И.Ленин
    ©2001-2019Orthoforum Coordinator.
    [ Главная | Отправить сообщение | Поиск | Админ ]