вверх
отправить
поиск
админ
главная
|
Сложный случай, Помогите выбрать тактику лечения и имплантаты. |
 |
 |
 |
Отправлено Harisych 27 Июль 2012, 15:53
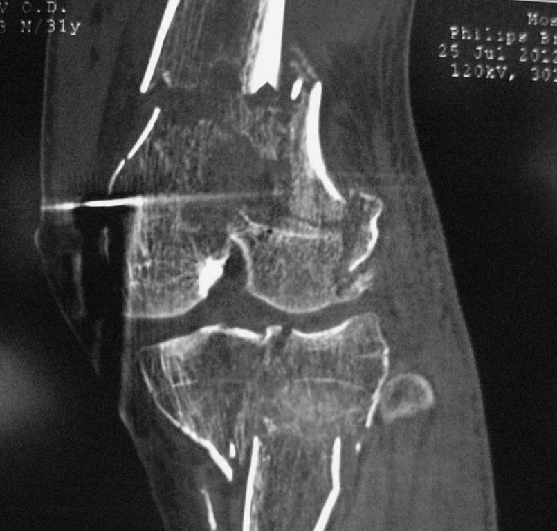
Нужен совет. Открытый перелом в\3 диафиза с оскольчатым переломом дистального метаэпифиза бедра. Закрытый оскольчатый внутрисуставной перелом проксимального отдела большеберцовой кости той же конечности.При поступлении ПХО ран, скелетное вытяжение. Рана зажила первичным натяжением. Осложнилось правосторонней пневмонией. Предстоит выбрать тактику оперативного лечения и камими имплатнатами.По нашему мнению случай нестандартный, требуется обсуждение коллег.
<
|
>
|
|
Ответить
|
Re: Сложный случай, Помогите выбрать тактику лечения и имплантаты.
Савранский Александр 29 Июль 2012, 14:21
|
На голень- LCP. на бедро- реконструктивный стержень сразу на оба перелома, с предварительной репозицией в дистракторе и фиксацией мыщелков бедра винтами, если не получится закрыто,то чуть приоткрыться.
Либо короткий стержень на верх бедра закрыто, а на низ также LCP.
|
[
Ответить ]
|
Re: Сложный случай, Помогите выбрать тактику лечения и имплантаты.
Сергей 30 Июль 2012, 09:09
|
Уважаемый,Harisych. Интересное вытяжение у вас через перелом и недовесом груза, обратите внимание, или не называйте его скелетным вытяжением. Лечение всех переломов с помощью аппарата Илизарова.
|
[
Ответить ]
|
Re: Сложный случай, Помогите выбрать тактику лечения и имплантаты.
Отправитель: Марат Кадиев 31 Июль 2012, 01:51
|
Добрый вечер. На проксимальное бедро длинную гамму. Внутрисуставные переломы только открыто. На бедренную кость опорную мыщелковую пластину LCP. На голень две Г образные LCP с латеральной и медиальной стороны. Возможна менискэктомия. Активные движения в коленном суставе в раннем п/о периоде. Оперировать желательно на ортопедической приставке.
Марат Кадиев МБУЗ "ГБ№1" г. Махачкала, отделение сочетанной травмы.
|
[
Ответить ]
|
Re: Сложный случай, Помогите выбрать тактику лечения и имплантаты.
Отправитель: Harisych 05 Сентябрь 2012, 20:50
|
Спасибо большое за совет, мы выбрали именно эту тактику. Диафиз бедра, учитывая то, что линия перелома идет до малого вертела, зафиксировали длинной PFNA, мыщелки бедра собирали на LISS. Вторым этапом большеберцовую кость проксимальной латеральной пластиной, правда только одной. Голень получилась не идеально, имеется варусный угол. Все имплантаты Synthes. Снимки с iPAD не получается скинуть. Если не заленюсь, дома скину с компа.
|
[
Ответить ]
|
|
Re: Сложный случай, Помогите выбрать тактику лечения и имплантаты.
марат 25 Август 2012, 22:46
|
В итоге чем закончилось,если можно снимки?
|
[
Ответить ]
|
( Ответить )
|
|