Ответить
|
Re: Перелом стержня
Сергей 28 Август 2012, 01:12
|
Вопрос 1: вообще нет спец инструмента для удаления или нет для данного стержня. Если нет для данного стержня то винты удаляются обычной отверткой, а сам стержень, его верхняя часть скорей всего подойдет к 1 из имеющихся наборов, например Деост, ChM. Если вообще ничего нет, то в автомобильных магазинах продаются экстракторы для оборванных болтов и шпилек на разные диаметры. Нижнюю часть через трепанационное окно.
|
[
Ответить ]
|
Re: Перелом стержня
Митрофанов Вячеслав 28 Август 2012, 01:31
|
Уважаемый Алексей!
На ум приходит только один вариант, который осуществим только при условии нестабильности дистальных фрагментов стержня. В ревизионном наборе для эндопротезирования есть специальный инструмент - пистолет-щипцы для удаления фрагментов костного цемента из костномогового канала. Иногда удается достать достаточно крупные, плотно сидящие куски. Я думаю на первом этапе необходимо удалить проксимальный фрагмент, рассверлить канал до места перелома стержня, извлечь фрагменты при помощи инструмента,который мы можем Вам предоставить.
|
[
Ответить ]
|
Re: Перелом стержня
Докторов Алексей 28 Август 2012, 10:39
|
Алексей,рекомендую переписки на сайте Николова Олега от 30 июня настоящего года. У самого недавно была похожая ситуация только на бедре и также сломанный штифт в двух местах. Очень удобная и неприхотливая методика.
|
[
Ответить ]
|
Re: Перелом стержня
Александр Н. 28 Август 2012, 11:15
|
Удалите блокирующие винты, обнажите основание штифта удалите заглушку, осторожно введите проводник в оба фрагмента штифта и пробейте им голеностоп и пятку, 1 вариант. на проводник оденьте трубку (старый гвоздь малого диаметра ЦИТО подходит) и ретроградно выбивайте 2 вариант. загните проводник и удаляйте.
|
[
Ответить ]
|
Re: Перелом стержня
Alexander Chelnokov 28 Август 2012, 21:49
|
Гвоздь полый, кажется? Тогда надо только проводник с шариком на конце и длинные спицы или куски проволоки. Общеизвестный способ - проводник вводится до выхода шарика из нижнего конца гвоздя. Рядом через канал гвоздя проводятся 1-2-3 спицы, это зависит от диаметра канала в гвозде, они разные бывают. Далее начинаем вытаскивать проводник - шарик должен заклиниться.
|
[
Ответить ]
|
Re: Перелом стержня
Отправитель: Alexey Semenisty 29 Август 2012, 12:33
|
Проще варьировать не количеством спиц, а их диаметром. Сегодня как раз так удалили сломанный ChM и з б.берцовой. Диаметр канала в большинстве гвоздей 4,0 мм, тело спицы-проводника - 3,2 мм диаметр оливы на ее конце 3,8...
2,0 спица не лезет. 1,8 с трудом и то только in vitro. Спица/проволока 1,25 не заклинивается - олива проскакивает. 1.6 - самое оно.
|
[
Ответить ]
|
|
Re: Перелом стержня
Зубенко Андрей 30 Август 2012, 22:37
|
Уважаемый Алексей!
Может просто срастить перелом в аппарате (похоже у него созрел ложный сустав), предварительно удалив легко удаляемые фрагменты гвоздя, и если для него не принципиально наличие оставшегося металла в кости, то пусть живет?
|
[
Ответить ]
|
Re: Перелом стержня
Смирнров Алексей 31 Август 2012, 21:12
|

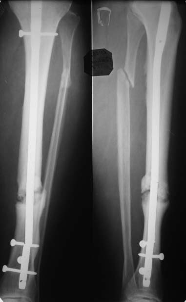
Большое спасибо за советы! Сегодня прооперировал больную. Все дистальные винты были сломаны, но они легко удалились, сломанные концы просто выбивал на противоположную сторону (использовал для этого обломок старого сверла 3,2)и через проколы вынимал.Попытался удалить гвоздь целиком с помощью спицы с оливой, но она не пропустила запирающую спицу до дистального обломка стержня. Помучился. Пришлось удалять по частям,проксимальный экстрактором,открыл зону ложного сустава, вынул промежуточный фрагмент иглодержателем, а вот дистальный обломок стержня уже получилось удалить с помощью спицы с оливой, но заклинивал её кистевой спицей. Ещё раз большое спасибо всем за участие!
|
[
Ответить ]
|
Re: Перелом стержня
Отправитель: Бардюгов Петр 02 Сентябрь 2012, 01:21
|
Алексей Александрович, это Вы?
Вам привет, и мой респект)
|
[
Ответить ]
|
Re: Перелом стержня
Отправитель: Смирнов Алексей 02 Сентябрь 2012, 21:26
|
Привет, Петр! Пиши в личку smirnov-aa75@mail.ru
|
[
Ответить ]
|
|
( Ответить )
|
|