вверх
отправить
поиск
админ
главная
|
Ложный сустав костей предплечья |
 |
 |
 |
Отправлено Abdurashid 05 Сентябрь 2012, 15:06
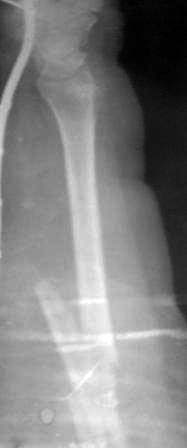
Пациентка 49 лет, по поводу перелома обеих костей предплечья оперирована в марте месяце « и/м остеосинтез спицами», через 4 месяца спицы удалены , антибиотикотерапия и фиксация гипсовой повязкой продолжена, но, учитывая что образуются ложный сустав, госпитализирована.
Повторно открывать зону перелома никак не хочется, учитывая р-картину! А что если закрыто рассверливать к/м канал ( как при БИОС), и КДО аппаратом Илизарова? Уважаемые коллеги помогите советом! Извиняюсь за плохое качество р-снимков!
<
|
>
|
|
Ответить
|
Re: Ложный сустав костей предплечья
Александр 06 Сентябрь 2012, 14:28
|
Если уж хотите рассверливать, так и сделайте БИОС.
|
[
Ответить ]
|
Re: Ложный сустав костей предплечья
Отправитель: Abdurashid 06 Сентябрь 2012, 23:07
|
Спасибо Александр, но пациентка не сможеть по финансовым соображениям. Поэтому прощу Вас уважаемые коллеги, помогите советом, какие практические варианты можно применять?
С уважением Абдурашид.
|
[
Ответить ]
|
Re: Ложный сустав костей предплечья
Отправитель: maxim agalakov 07 Сентябрь 2012, 17:06
|
Уважаемый Абдурашид, можно синтезировать стержнями зверева, они очень дешевые(думаю 2 стержня -в пределах 3 тыс у нас, может даже меньше).методика, вроде выложена в полезных ссылках, кроме того, можете связаться с А.Н., он наверняка подскажет какие-нибудь уловки и хитрости. С уважением, Максим Агалаков, Е-бург.
|
[
Ответить ]
|
Re: Ложный сустав костей предплечья
Отправитель: Abdurashid 07 Сентябрь 2012, 23:23
|
Максим привет! Спасибо!
Больная капризная, недовольная, надо делать так чтоб был результат, мы обычно в таких случаях производили аутопластику из м/берцовой кости,но результат не всегда хороший.Поэтому я пока не знаю что делать, стержни зверева честно я еще не пробовал, унас только стержни Богданова.
Ждем предложений А.Н и других коллег!
|
[
Ответить ]
|
Re: Ложный сустав костей предплечья
Отправитель: maxim agalakov 10 Сентябрь 2012, 18:37
|
стержни Богданова-не совсем то, что нужно. Можно восподьзоваться классическими методиками-пластина (наверняка есть какие-то удаленные) с аутокостью(уложить чипсы рядом с несращением), проще и лучше-гребень подвздошной кости
|
[
Ответить ]
|
|
Re: Ложный сустав костей предплечья
Абдуев В.Б. 11 Сентябрь 2012, 01:22
|
Уважаемый Абдурашид, если владеете чрескостным остеосинтезом никакого рассверливания не требуется, как и костной пластики. С ув. Vladimir B. Abduev
|
[
Ответить ]
|
Re: Ложный сустав костей предплечья
Отправитель: Abdurashid 12 Сентябрь 2012, 22:40
|
Спасибо, наверное так и буду делать.
С уважением Абдурашид.
|
[
Ответить ]
|
|
( Ответить )
|
|