вверх
отправить
поиск
админ
главная
|
Застарелое повреждение таза |
 |
 |
 |
Отправлено Дружинин М.П. 06 Сентябрь 2012, 09:08 ГКБ№1, Челябинск
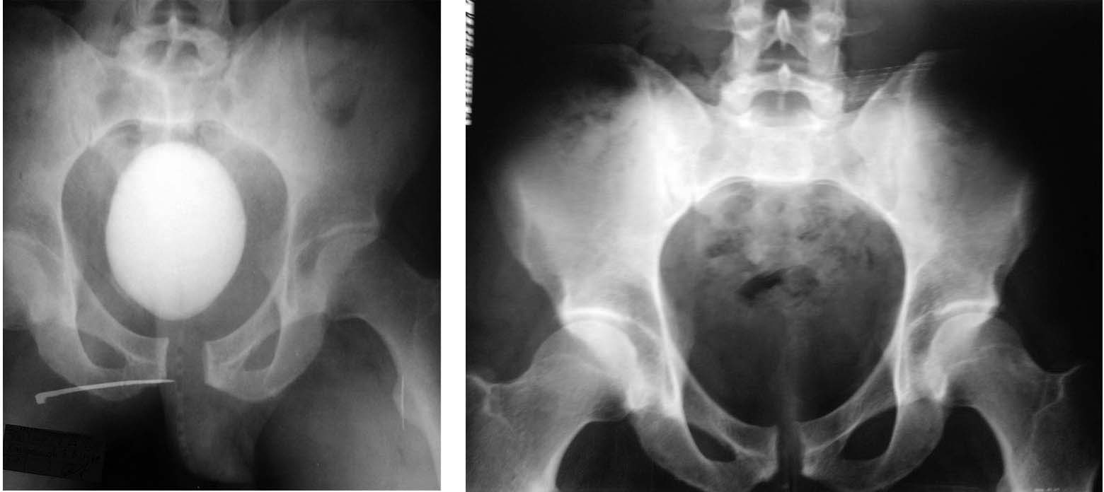
Уважаемые коллеги! Доброго времени суток!Прошу поделиться мнением по такой ситуации. Пациент 35 лет, альпинист, мастер спорта, получил травму 27 мая 2012 года. Уронил на себя камень (как говорят альпинисты, «вытащил чемодан»), получил ротационно-нестабильное повреждение таза – разрыв лонного и частично левого крестцово-подвздошного сочленения, внебрюшинный разрыв мочевого пузыря. Лечился в районной больнице (ближайшей к месту получения травмы) – цистостомия, повреждение таза лечилось консервативно (сначала находился в гамаке), примерно с 4 недели начал активизироваться. В настоящее время ходит без средств опоры, испытывает боли в области левого крестцово-подвздошного сочленения при нагрузке (при нагрузке под рюкзаком, например; без нагрузки, т.е. в обычной жизни, чувствует себя неплохо, болей практически нет), в августе мы вместе с ним прошли альпсборы в горах Киргизии, в общем-то восхождения 2-5 категории он выполнял, но видно, что нелегко, походка изменена (что-то наподобие утиной), сам он отмечает улучшение с тех пор как он начал вставать после травмы, клинически определяется ротационная подвижность левой половины таза в пределах 1-1.5 см, пока не может заниматься своей профессиональной деятельностью (промышленный альпинист), так как не может сидеть в беседке. Цистостома полностью зажила.
Прошу разрешить следующие вопросы: 1. Показана ли стабилизация таза в данной ситуации, или имеет смысл подождать еще какое-то время? 2. Если показана, то достаточно ли выполнить стабилизацию только лонного сочленения или необходима стабилизация и лонного и КП-сочленения, а также сроки выполнения данной операции?
Заранее благодарен, Дружинин М.П., ГКБ№1, г.Челябинск
<
|
>
|
|
Ответить
|
Re: Застарелое повреждение таза
Михаил 06 Сентябрь 2012, 14:23
|
Через 3 мес. после травмы под рюкзак- слишком рано! Еще результаты обследования есть: оставшиеся проекции, возможно КТ? Как вариант: пластину на лоно, дополнительно аппарат "передняя рама" недель на 6.
|
[
Ответить ]
|
Re: Застарелое повреждение таза
Отправитель: Дружинин М.П. 06 Сентябрь 2012, 19:47
|
Даже не через, а через 2 месяца, и я согласен, что рано, но человек живет только горами, это состояние души, ничего не поделаешь. Других проекций нет. Я тоже подумывал о пластине на лоно с аппаратом, но достаточно ли будет этого через 3 месяца после травмы? Хочется услышать мнение коллег, сталкивавшихся с подобной проблемой, исходы как оперативного, так и консервативного лечения.
Спасибо за ответ!
|
[
Ответить ]
|
|
Re: Застарелое повреждение таза
Смирнов Алексей 06 Сентябрь 2012, 22:05
|
Пластина спереди и всё..., хрящ советую не убирать, так как иначе перезакроете "открытую книгу" и будет большее напряжение на пластину, аппарат я бы не стал, так как диастаз не так велик, репозиционной роли аппарат играть не будет, а перестраховка в плане стабильности, я думаю чрезмерна. На счет того, закрывать ли задние отделы, то есть вводить или нет илиосакральные винты, вопрос дискутабельный при свежей ротационной нестабильности, а вот при застарелой скорее да чем нет. Больше всего опыт у Рункова А.В. Ждем и его совета.....
|
[
Ответить ]
|
|
|
Re: Застарелое повреждение таза
Maxim Agalakov 07 Сентябрь 2012, 14:40
|
Открыты остеосинтез передних отделов, хрящ все же лучше убрать почистить края лонных костей до крововточивости - прочнее будет рубец (пластина не может держать вечно). Учитывая сроки после травмы дополнительно сзади провел винт (в свежем случае- нет необходимости, при застарелых - единого мнения нет), можно в процессе установки винта перфорировать зону КПС толстой спицей для формирования гематомы.
С уважением, Максим Агалаков, Е-бург.
|
[
Ответить ]
|
Re: Застарелое повреждение таза
Отправитель: Дружинин М.П. 07 Сентябрь 2012, 18:07
|
Спасибо за совет!
|
[
Ответить ]
|
|
Re: Застарелое повреждение таза
Evgueny Tschekashkine 07 Сентябрь 2012, 16:36
|
Po predstavlennim snimkam ne vidno povrezhdeniya SI joint, skoree transforaminal perelom krestsa. Esli sohranyaetsa rotationnaya nestabilnost - sraschenya ne proizoshlo i tolko perednyaya stabilizatsiya budet bezuspeshnoi - plastina slomaetsa. Neobhodima kombinirovannaya stabilizatsia zadnego i perednego otdelov. No odnaznachnih vivodov po predstavlennim snimkam nelzya - CT taza neobhodimo.
Uspehov,
Evgueny Tchekashkine
|
[
Ответить ]
|
Re: Застарелое повреждение таза
Отправитель: maxim agalakov 10 Сентябрь 2012, 18:02
|
переломы (крестца или подвздошной кости) для такого механизма травмы-вещь нетипичная, необходимы:двухэтапное приложение усилий, например удар, затем падение - windswept или постепенное смещение вектора силы (например перекатывание пешехода под колесами автомобиля). при переломах картина немного другая, есть сгибание половины таза, бывает,что с захождением.
|
[
Ответить ]
|
|
Re: Застарелое повреждение таза
Anatoly Lazarev 10 Сентябрь 2012, 21:24
|
По большому счету - рано начата нагрузка без дополнительной стабилизации.
Хорош внешний эластический корсет на липучках, который затягивается лежа на боку и компенсирует внутри тазовые связки. В плане обследования хорошо бы выполнить МРТ
внутритазовых связок, и уточнить локализацию и степень повреждения.
Функциональные снимки таза не помешают, определится вертикальная и горизонтальная нестабильность лобковых костей.
Может быть еще и другая проблема - хроническая стриктура уретры при нестабильности переднего полукольца - начинается она как раз через 4 - 6 месяцев и может закончиться облитерацией.
Таким образом, показаний к стабилизации тазового кольца достаточно.
Что делать: при повреждении хотя бы одной из внутритазовых связок - необходима компенсация
динамической стабильности тазового кольца - понятно, что это не пластина, хорошо себя зарекомендовала
"шнуровка" из 2-го мерсилена, или другого материала, но не лавсан, обязательный перекрест спереди от симфиза для устранения вертикальной нестабильности. Хрящ нужно иссекать с обеих сторон, и еще лучше отслоить надкостницу в виде фартука в обе стороны, а после стягивая симфиза
накрыть материал и создать некую герметичность и дубликатуру. В этой ситуации без использования дополнительной аппаратной фиксации и сращение между лобковыми костями будет проходить в условиях слабо
фиксированного перелома и между отломками, как правило, формируется грубоволокнистый хрящ. При укрытии
надкостницы прорастание рубцовой ткани извне лобковых костей затруднено - да и слава Богу.
Задний отдел? При использовании пластины - однозначно надо фиксировать КПС для уменьшения ротационной подвижности, но 2-я винтами.
При эластичной стабилизации переднего полукольца достаточно 1-о винта, можно рискнуть без винта, но
с дополнительной внешней стабилизацией эластичным корсетом. Не забывайте об уретрографии.
Послеоперационное ведение - активное, но можно щадящее, объективным признаком готовности к подъему на ноги будет отрицательный симптом Гориневской - это от 5 до 12
суток после операции, в зависимости от травматичности скелетирования передней поверхности лобковых костей.
Желаю удачи ЛАФ.
|
[
Ответить ]
|
Re: Застарелое повреждение таза
Дружинин М.П. 11 Сентябрь 2012, 11:54
|
Пациент мой вновь уехал на альпинисткие сборы, ничего не поделаешь, вернется к концу октября, посмотрим, как он себя будет чувствовать, вчера писал, чувствует себя хорошо, "с каждым днем все лучше и лучше".
Спасибо за советы!
|
[
Ответить ]
|
( Ответить )
|
|