AOTRAUMA.ORG Центр Илизарова  

Ортопедия и травматология Общие вопросы/General questions Help Информационные технологии в медицине
 вверх
 отправить
 поиск
 админ
 главная


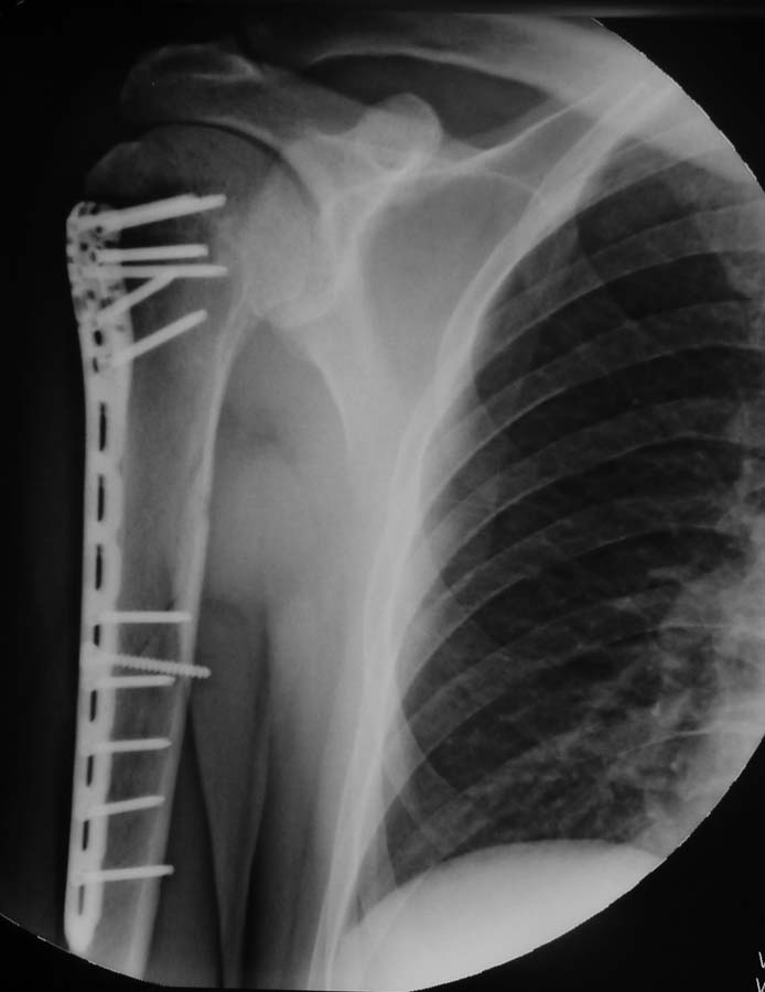
Сочетание перелома диафиза и головки плеча - рентгеноконтроль
Ортопедия и травматология Отправлено Бережной Сергей 07 Сентябрь 2012, 01:31
Уважаемые коллеги. В дискуссии по сообщению от 28 июля одним из участников было высказано сомнение в правильности выбора длины пластины, в ответ на которое я пообещал представить контрольные рентгенограммы.
Снимки через 41 день после операции: консолидация по типу первичной.

<  |  >

 

  • Сообщения о Ортопедия и травматология
  • Также Бережной Сергей
  • Связаться с автором
  • Ответить

    Re: Сочетание перелома диафиза и головки плеча - рентгеноконтроль
    Андрей 09 Сентябрь 2012, 18:27
    Здравствуйте, Сергей. Как скоро после операции начаты движения в суставе и какой объём движений на сегодняшний момент? Спасибо. С ув. А. Лифанов.
    [ Ответить ]

    • Re: Сочетание перелома диафиза и головки плеча - рентгеноконтроль
      Отправитель: Бережной Сергей 09 Сентябрь 2012, 21:34
      Пассивные движения начаты сразу, активные - через 4 недели после операции. На момент выполнения снимка пассивное переднее сгибание составляло 160°, боковое отведение 120°. Активное переднее сгибание 120°, боковое отведение 100°, заведение руки за спину слегка ограничено. Внутренняя ротация плеча в полном объеме, наружную только начали тренировать, учитывая выполненную во время операции артротомию.

      [ Ответить ]
    Re: Сочетание перелома диафиза и головки плеча - рентгеноконтроль
    Volodymyr Kovalchuk 10 Сентябрь 2012, 01:48
    Длина пластины достаточна, размещение правильное. Поздравляю с отличным результатом!
    [ Ответить ]

    Re: Сочетание перелома диафиза и головки плеча - рентгеноконтроль
    Djoldas Kuldjanov, M.D. 11 Сентябрь 2012, 09:05
    "После просмотра представленных снимком свое мнение о недостаточной длине пластины не поменял"
    "Длина пластины достаточна, размещение правильное. Поздравляю с отличным результатом!"

    В выступлениях на Форуме что хорошо, что всегда можно проигнорировать комментарии и не ответить, но раз случай выставлен для общего обозрения и желаете разобрать, тогда надо сделать более академично со всеми "за" и "против".

    Как видно из вопросов, хороший результат не всегда гарантирует от комментариев и критики. Если одни считают, что достигнут хороший результат, то другие сомневаются. На страницах форума, кроме показа случаев, идет обучение молодых специалистов случаями из практики. Для многих молодых специалистов показ клинических случаев является единственным источником, где они могут получить нехватающие знания и применить в ежедневной практике.

    Поэтому желательно аргументированно ответить на вопросы, какая тактика является правильной, и обьяснить, почему рекомендуемая Алексеем более длинная пластина оказалась непригодной в вашем случае. Вопрос снимается, если имелись ограничения с фиксирующими материалами или как всегда, представителем представлена единственная пластина с несколькими шурупами.

    Не все, но некоторые травматические вывихи сочетаются с повреждениями костных элементов. Такие повреждения, как Hill-Sachs, который образуется в головке засчет давления углом гленоида или повреждение Bankart - перелом передне-нижнего отдела суставной поверхности не всегда проявляется симптоматикой, и в большинстве проходит благополучно для пациента. Проявление симптомов происходит когда уменьшается размер головки в диаметре более чем на 20-30% или несросшийся перелом переднего края впадины приводит к отсутствию препятствия спереди.

    "Находки, радикально меняющие тактику дальнейшего лечения, встречаются очень часто. С подобным сочетанием раньше встречаться не доводилось"

    Ясно, что на КТ можно увидеть больше, чем на стандартных снимках плеча: (прямое плечо, прямая лопатка, аксиальный и "scapula Y view", но те повреждения, о чем идет речь, можно увидеть на обычных рентгенограммах! А так, по протоколу, все внутрисуставные повреждения необходимо исследовать на КТ. Кстати, вместо 3Д изображении можно было бы выставить нормальные снимки.

    Представленный случай можно оценить, что техническая часть операции сделана на хорошо, а по тактике можно было не спешить. Небольшой дефект навряд ли повлиял бы на размер головки, т.е. можно было ограничиться фиксацией диафиза. Остается проксимальный перелом диафиза, которого можно было лечить менее дешевой обычной прямой пластиной 3.5 или узкой 4.5 в зависимости от диаметра кости и без вовлечения головки.

    Я согласен, что пластина короткая. Была достигнута идеальная репозиция и интерфрагментарная компрессия, но пластина дистально покрывает всего на два шурупа. Принцип АО о нейтрализации говорит, что после межфрагментарной компрессии можно минимизировать фиксацию. Можно на периферии по два шурупа, но более длинной пластиной, потому что в верхнем поясе другой механизм балансов сил. Кроме сгибания и разгибания, происходит ротация в плечевом поясе, и все необходимо нейтрализировать. Здесь также мощный дельтоид против длины конечности. Силы имеют тенденцию к варусной деформации, которые можно удержать только длинной пластиной, распределением сил по длине.

    Хорошо, что все кончается хорошо и еще, отлично сделанную работу никто не замечает, а при осложнении всегда найдется кому критиковать! Кстати, по поводу результата, нет сомнения и здесь будет сращение, но ложные суставы - не редкая патаологиия, и на плече отличается от других длинных костей. Лечение ложного сустава после банального перелома, который можно было лечить обычной косыночной повязкой иногда длится долгие годы, и поэтому всегда надо помнить, что не всегда агрессивность поощряется, тем более в сомнительном случае!
    [ Ответить ]

    • Re: Сочетание перелома диафиза и головки плеча - рентгеноконтроль
      Отправитель: Бережной Сергей 14 Сентябрь 2012, 02:02
      Спасибо за подробный, хотя и несколько сумбурный комментарий. Возможно, ответ получится еще более сумбурным.


      "В выступлениях на Форуме что хорошо, что всегда можно проигнорировать комментарии и не ответить, но раз случай выставлен для общего обозрения и желаете разобрать, тогда надо сделать более академично со всеми "за" и "против".


      С игнорированием вопросов на Форуме мы часто встречаемся. Хотя я стараюсь отвечать на все вопросы. Возможно, ответы не всегда удовлетворяют… Ну как можно было академично ответить Алексею, одному из членов российской группы АО, почему в представленном случае принципы этой самой АО были нарушены? Только пообещав представить результат операции. На тот момент не зная, каким он будет. Что я и сделал. Ведь, помимо общих канонов, у каждого есть свой собственный опыт. И Форум ценен возможностью поделиться таким опытом. На самом деле, мне кажется, что принципы АО должны бы были быть в какой-то степени пересмотрены после внедрения фиксаторов с угловой стабильностью. Ставлю их в течение 10 лет: не ломаются, практически не стало ложных суставов и несращений. Хотя, вот пример биомеханического исследования, демонстрирующего отсутствие преимуществ фиксации переломов плеча блокируемыми винтами: Are locking screws advantageous with plate fixation of humeral shaft fractures? A biomechanical analysis of synthetic and cadaveric bone. J Orthop Trauma. 2008; 22(10):709-15. Поверить и снова начать ставить обычные пластины? Ни за что.


      "Поэтому желательно аргументированно ответить на вопросы, какая тактика является правильной, и обьяснить, почему рекомендуемая Алексеем более длинная пластина оказалась непригодной в вашем случае. Вопрос снимается, если имелись ограничения с фиксирующими материалами или как всегда, представителем представлена единственная пластина с несколькими шурупами".


      Сложностей с фиксаторами в Москве сейчас, практически, не бывает. Длина пластины была точно рассчитана до операции на компьютерном томографе. Использование проксимальной пластины позволило выполнить операцию из двух относительно небольших доступов: дельтовиднопектрального в проксимальной части, сочетая его с вмешательством на головке, и латерального на уровне диафиза. Удлинение пластины дистально привело бы к необходимости выделения лучевого нерва, увеличив, таким образом, продолжительность и травматичность вмешательства. Можно было бы, конечно, выбрать еще более длинную версию и провести ее закрыто в дистальный отдел плеча. Но это имело бы смысл в случае «закрытого» остеосинтеза. Мне же не хотелось жертвовать точностью репозиции. Еще одним плюсом проксимальной пластины в данном случае было большое расстояние между проксимальными и дистальными винтами, сделавшее конструкцию менее жесткой.


      "Кстати, вместо 3Д изображении можно было бы выставить нормальные снимки".


      Каждый раз, когда вижу трехмерные КТ-граммы, испытываю чувство восторга. По-моему, это одно из самых сказочных достижений современной медицины. Как же можно их не выставлять? Парадоксально, но получить качественные обычные снимки в данном случае было бы сложнее. Нужно было бы идти с пациентом в рентгенкабинет, снимать с него гипсовую лонгету (наложенную до поступления в клинику), приклеивать к его руке металлические метки (на нашем цифровом аппарате возможность измерения длины отломков отсутствует), контролировать выполнение снимков (рентгенлаборант не знает травматологических укладок). При выполнении КТ человеческий фактор сведен к минимуму. И в промежутке между операциями я могу спокойно посидеть за компьютерным томографом, сделать все построения и измерения, «покрутить» трехмерное изображение и со всех сторон посмотреть на область перелома. Для меня это очень большое подспорье при планировании операции.


      [ Ответить ]

     

    ( Ответить )

    Powered by Zope  Squishdot Powered MedLink
    Посетитель: 0000242
      "По форме правильно, а по существу - издевательство" В.И.Ленин
    ©2001-2019Orthoforum Coordinator.
    [ Главная | Отправить сообщение | Поиск | Админ ]