AOTRAUMA.ORG Центр Илизарова  

Ортопедия и травматология Общие вопросы/General questions Help Информационные технологии в медицине
 вверх
 отправить
 поиск
 админ
 главная


перекос таза
Ортопедия и травматология Отправлено Талгат Анашев 12 Сентябрь 2012, 22:03 НИИТО, Астана
Здравствуйте.Помогите с диагнозом и тактикой лечения.
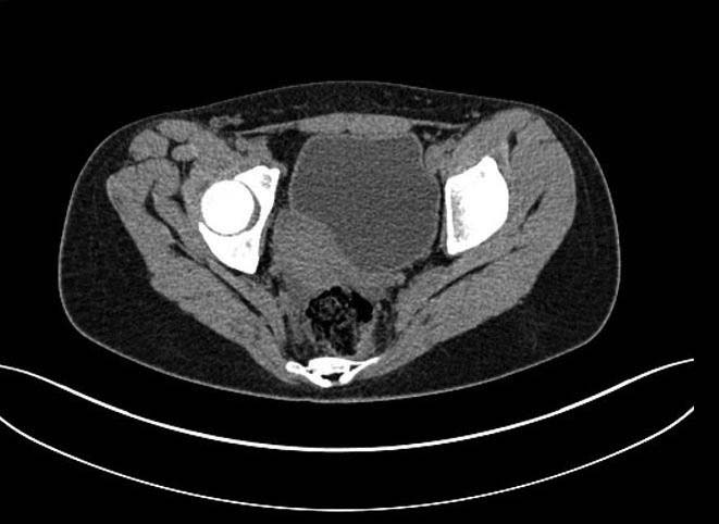
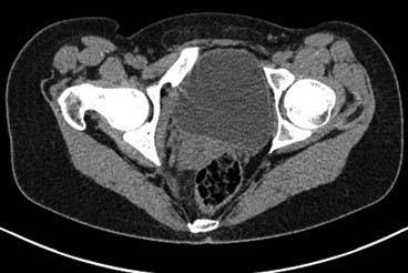
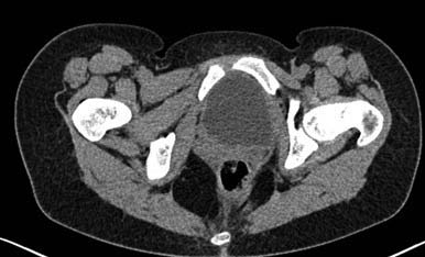
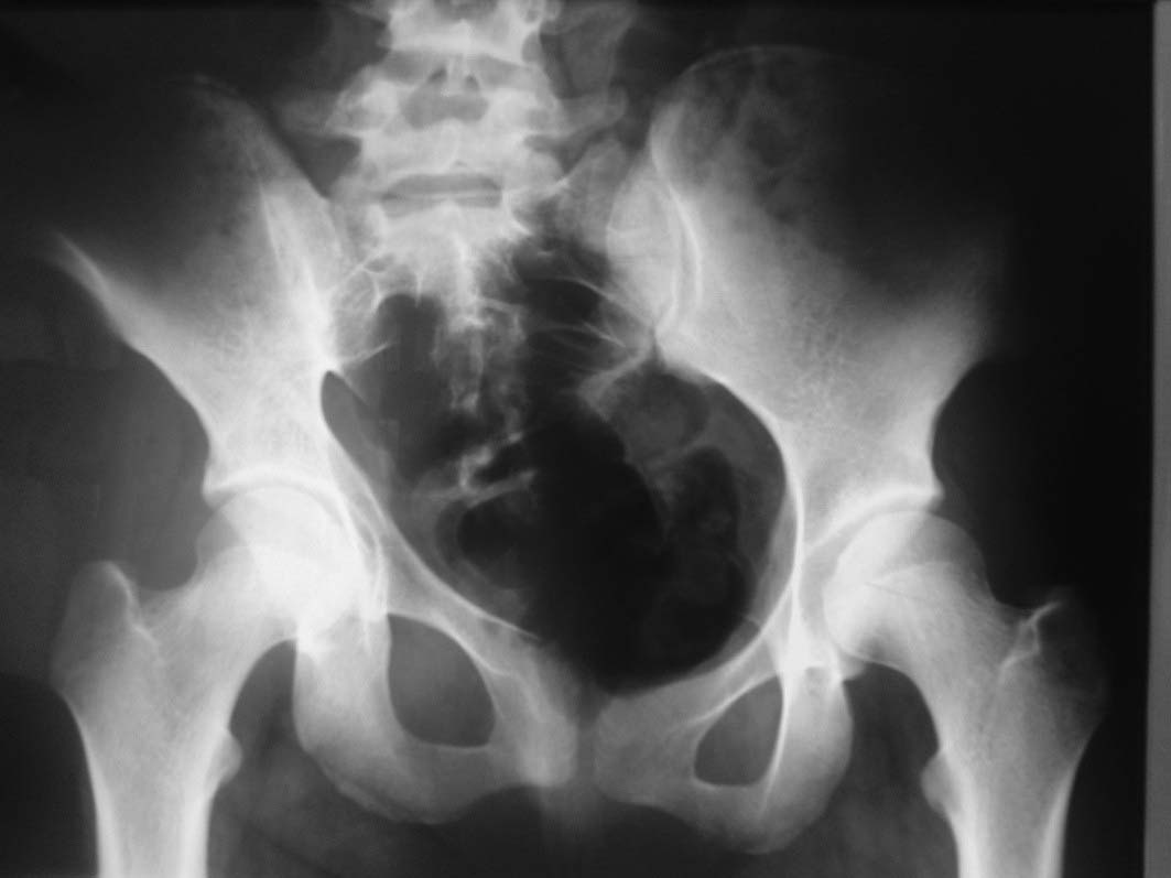
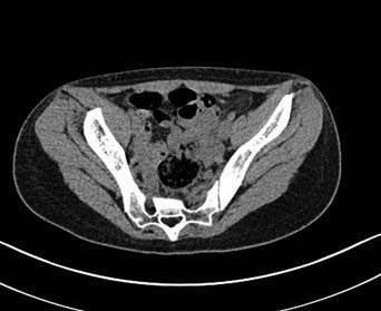
Больная 15 лет. Жалобы: на укорочение правой нижней конечности, хромоту.Анамнез: Со слов болеет с детства, травму отрицает. Ранее за медицинской помощью не обращалась. Последние 2 года отмечает резкое укорочение конечности. Локально: При осмотре отмечается умеренное искривление позвоночника во фронтальной плоскости, умеренная асимметрия лопаток и надплечий. Скошенность таза. Отмечается укорочение правой нижней конечности на 3 см. Движения в тазобедренном и коленном суставах в полном объеме. Нейрососудистых нарушений в периферических отделах нет.

<  |  >

 

  • Сообщения о Ортопедия и травматология
  • Также Талгат Анашев
  • Связаться с автором
  • Ответить

    Re: перекос таза
    Андрей 13 Сентябрь 2012, 01:12
    Здравствуйте Талгат. Для улучшения диагностики я предлагаю выполнить Р-гр грудного и поясничного отделов позвончного столба.

    [ Ответить ]

    Re: перекос таза
    Ниязов Нияз 13 Сентябрь 2012, 01:39
    Здравствуйте, а за счет какого сегмента конечности укорочение? Скорее всего умеренное искривление позвоночника это из за скошенности таза, а скошенность таза за счет укорочнеия ноги. Хотя вполне возможно, что у ребенка ГЕМИАТРОФИЯ. При ней Клиническим признаком является разница в величине правой и левой половин тела, так же есть искревление позвоночника
    [ Ответить ]

    Re: перекос таза
    Талгат анашев 13 Сентябрь 2012, 09:21
    здравствуйте.
    Рентгенограммы позвонков сделаны: патологии нет.
    [ Ответить ]

    Re: перекос таза
    Шведовченко Игорь Владимирович 14 Сентябрь 2012, 18:22
    Уважаемый Талгат. Просьба ответить на следующие вопросы: Укорочение у больной анатомическое или функциональное?
    Как рентгенологи оценивают состояние крестцово-подвздошных сочленений, не создается ли впечатление о замыкании этого сочленения справа в предшествующие годы, а если это ощущение есть, то что привело к анкилозу этого сочленения. Нет ли по задней поверхности таза в указанной зоне рубца от имевшего место ранее свища?
    Не могли бы вы выставить для осмотра рентгенограммы позвоночника?
    [ Ответить ]

    Re: перекос таза
    Алибек 28 Сентябрь 2012, 11:12
    Наверно целесообразно добавить,что болевого синдрома нет,движения в суставе в полном объёме.Я бы уточнил,что жалобы скорее косметического характера(асимметрия при ходьбе и западение вертельной области справа. Укорочение фигурировало как единственный диагноз в направлении на лечение к нам.Компенсация "укорочения" увеличением высоты каблука обуви не устраняет асимметрию таза и в статике и мало улучшает походку.Вопрос-стоит ли в конкретном случае идти на тройную остеотомию таза и латерализацию вертлужной впадины? Мне представляется,что не стоит.
    [ Ответить ]


    ( Ответить )

    Powered by Zope  Squishdot Powered MedLink
    Посетитель: 0391999
      "По форме правильно, а по существу - издевательство" В.И.Ленин
    ©2001-2019Orthoforum Coordinator.
    [ Главная | Отправить сообщение | Поиск | Админ ]