Ответить
|
Re: Патологический перелом голени
Леша 17 Сентябрь 2012, 16:43
|
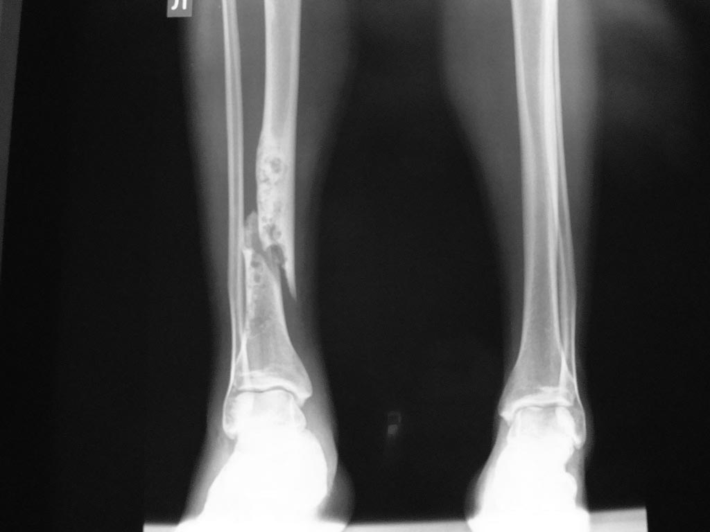
R-грамма правильная?
|
[
Ответить ]
|
Re: Патологический перелом голени
Савранский Александр 17 Сентябрь 2012, 21:28
|
Может все-таки не патологический?
И опять же перелом не голени, а только малоберцовой кости, судя по линии излома- механизм- ротация.
Наверное есть смысл вести консервативно, а в список обследования добавить паратгормон и кальций крови.
|
[
Ответить ]
|
Re: Патологический перелом голени
Отправитель: Савранский Александр 21 Сентябрь 2012, 21:24
|
Дополнение к предыдущему посту- у меня открылся только снимок с в/з голени, теперь "проявилась" и н/з- спасибо модератору.
Я - за фиброзную дисплазию.Лечение оперативное.
|
[
Ответить ]
|
|
Re: Патологический перелом голени
Alexander Klink 17 Сентябрь 2012, 23:15
|
The Maisonneuve fracture is a spiral fracture of the proximal third of the fibula associated with a tear of the distal tibiofibular
syndesmosis and the interosseous membrane. There is an associated fracture of the medial malleolus or rupture of the deep deltoid ligament.
|
[
Ответить ]
|
Re: Патологический перелом голени
Леша 18 Сентябрь 2012, 13:14
|
Добрый день.
Проконсультируйтесь с опытными рентгенологом и пат. анатомом(на предмет необходимости биопсии).
|
[
Ответить ]
|
Re: Патологический перелом голени
адонин 18 Сентябрь 2012, 20:35
|
я бы сделал открытую биопсию, а на время ожидания результатов загипсовал бы по Сарменто. Дальше - по результатам биопсии
|
[
Ответить ]
|
Re: Патологический перелом голени
Ниязов Нияз 19 Сентябрь 2012, 20:59
|
напоминает перелом на фоне абсцесса Броди, для него характерны из анамнеза длительные ночные боли и при движении , характерно для мужчин молодого возраста, чаще всего бывает на большеберцовой кости(80 % случаев), единственное что не характерно это остеопороз около кости который виден у данного больного( чаще перифокальный остеосклероз). а что из исследований доступно: пункия с гистологией, КТ, УЗИ, инфракрасная термография.
|
[
Ответить ]
|
Re: Патологический перелом голени
Ниязов Нияз 19 Сентябрь 2012, 21:31
|
если подозревается гиперпаратироидная дистрофия то в клинике будет почти всегда жажда и связаная с ней полиурия, также мышечная слабость и чувство усталости, понижение электровозбудимости мышц, потеря аппетита, тошнота, анемия. чаще у женшин. иногда без лечения приводит к постели больного раньше чем перелом
|
[
Ответить ]
|
Re: Патологический перелом голени
Зельский Илья Александрович 21 Сентябрь 2012, 01:44
|
Здравствуйте, Александр! по представленным данным на первое место в диф.ряду я бы поставил фиброзную дисплазию. более точно можно будет сказать оценив структуру по КТ - если возможно, присылайте больного на обследование (живая очередь, с 10-00 до 14-00, 1476руб., я делаю в любой вторник и пятницу, только завтра не могу, будут проф.работы на КТ, справки по тел.371-48-11), или присылайте диск с данными КТ
С уважением, Зельский И.А., рентгенолог УНИИТО
|
[
Ответить ]
|
Re: Патологический перелом голени
Djoldas Kuldjanov 23 Сентябрь 2012, 03:25
|
В диагностике опухоли локализация и возраст пациента являеются важными. Из всех патологий большеберцевой фиброзная дисплазия более близка к представленной картине, но в третьей декаде жизни встречается очень редко. Остеофиброзную дисплазию многие онкологи считают проявлением регрессивной фазы адамантиномы, которая, в отличие от фиброзной дисплазии, является злокачественной формой опухоли большеберцовой кости.
Независимо от диагноза лечебная тактика состоит в сегментарной остеотомии большеберцовой и замещении кости. Замена доброкачественной опухоли отличается от постравматических дефектов, где нескомпрометированные мягкие ткани позволяют выбрать более агрессивные пластические материалы, чем после травмы. Вместо долгих ожидании титановый кейдж с интрамедуллярной фиксацией или аллографт, кроме экономии времени, дадут предсказуемый результат.
Из осложнений встречается ложный сустав после аллопластики, но в сравнении с наружным фиксатором (Илизарова) намного легче управлять!
Дополнительные исследования помогут выбрать оптимальный вариант лечения, например, МРТ покажет характер опухоли, а КТ срезы позволяют узнать уровень резекции, но окончательный диагноз установит только биопсия! При подтвердении добракачественного варианта тогда подойдет кейдж с аутокостью внутри.
 ppt, 858 Kb
Не стал менять форму презентации случая лечения более инвазивной формы - адамантиномы, где была заменена большеберцовая аллографтом. Через 6 месяцев динамизация и 11 слайд, несращение нижнего отдела после 4 месяцев динамизации, которая после аутографта зафиксирована пластиной. Общая продолжительность лечения более 12 месяцев.
|
[
Ответить ]
|
Re: Патологический перелом голени
Ниязов Нияз 23 Сентябрь 2012, 22:29
|
А где ссылка презентации?
|
[
Ответить ]
|
( Ответить )
|