AOTRAUMA.ORG Центр Илизарова  

Ортопедия и травматология Общие вопросы/General questions Help Информационные технологии в медицине
 вверх
 отправить
 поиск
 админ
 главная


Несращение проксимального отедла бедра, дефект головки
Ортопедия и травматология Отправлено Александр Ситник 26 Сентябрь 2012, 13:41
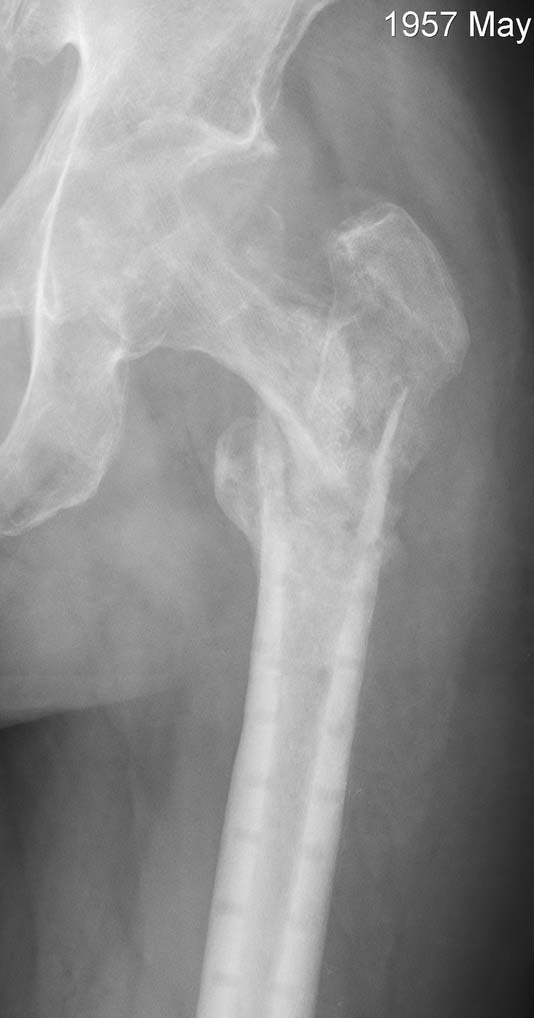
Пациент 55 лет, оперирован клинковой 130 градусной пластиной 6 месяцев назад. После удаления пластины - клинически и рентгенологически несращение.
Хороший пример того, что если сразу не все в порядке, то надеятся на чудо не следует. Пациент 55 лет, оперирован клинковой 130 градусной пластиной 6 месяцев назад (не в нашем ауле:). В надежде на сращение перелома выжидали до 6 месяцев после операции. По предварительным снимкам и КТ было ощущение какой-то консолидации. После удаления пластины - клинически и рентгенологически несращение. На КТ - дефект головки (как и следовало ожидать). Явных признаков инфекции нет. На операции незначительное количество прозрачной "синовиальной" жидкости (взят посев, результат будет через день-два). Не температурит. СОЭ перед операцией 17.
На сегодня беспокоят боли в области несращения, нога не опорна. Рана после удаления фиксатора заживает спокойно (7 дней после операции).
Рентген до, полсе и КТ на сегодняшний день в приложении.

Обсуждается два варианта:
1. Эндопротезирование с отсрочкой месяца на 3.
2. Остеосинтез 95 град клинковой пластиной. Планирую клинком попасть в нижний полюс головки (хотя там тоже плотность кости мала). Для усиления фиксации - спонгиозная пластика канала от клинка старой пластины либо цемент рассасывающийся.
Так как собственного опыта применения биорезобируемых цементов нет, прошу помощи сообщества в совете и выборе оптимального варианта.
С уважением,
А.Ситник

<  |  >

 

  • Сообщения о Ортопедия и травматология
  • Также Александр Ситник
  • Связаться с автором
  • Ответить

    Re: Несращение проксимального отедла бедра, дефект головки
    Alexander Chelnokov 26 Сентябрь 2012, 22:38
    Если бы суставные поверхности выглядели, как на противоположной стороне, напрашивалась бы вальгизирующая остеотомия. С фиксацией непринципиально чем. А с гвоздем еще и можно делать чрескожно и с открытым клином.
    Отсутствие привычной рентгенологической картины тазобедренного сустава тревожит. Похоже на результат коксита.

    [ Ответить ]

    Re: Несращение проксимального отедла бедра, дефект головки
    Александр 26 Сентябрь 2012, 23:49
    Сустава практически нет. Не вижу смысла пытаться делать реостеосинтез.
    [ Ответить ]

    Re: Несращение проксимального отедла бедра, дефект головки
    А.Ситник 27 Сентябрь 2012, 11:22


    Вот еще снимки после и КТ.
    [ Ответить ]

    Re: Несращение проксимального отедла бедра, дефект головки
    Андрей 27 Сентябрь 2012, 13:54
    Здравствуйте!
    Учитывая настоящую Р-картину, я бы предложил пациенту тотальное протезирование тб сустава с удлененной (ревизионной) ножкой.
    [ Ответить ]

    Re: Несращение проксимального отедла бедра, дефект головки
    Керимов Артур 27 Сентябрь 2012, 17:55
    по картинке, действительно, похоже на результат коксита, однако можно думать и о выраженном остеопорозе, учитывая отсутствие опорной части головки стоит ли выполнять реостеосинтез?
    [ Ответить ]

    Re: Несращение проксимального отедла бедра, дефект головки
    Maxim Agalakov 28 Сентябрь 2012, 09:38
    очень похоже на вялотекущую инфекцию. Реостеосинтез в такой ситуации вряд ли целесообразен. Надежнее эндопротезирование в 2 этапа, спейсер, по нормализации уровня СРБ - длинной ногой типа Solution
    [ Ответить ]


    ( Ответить )

    Powered by Zope  Squishdot Powered MedLink
    Посетитель: 0000047
      "По форме правильно, а по существу - издевательство" В.И.Ленин
    ©2001-2019Orthoforum Coordinator.
    [ Главная | Отправить сообщение | Поиск | Админ ]