Ответить
|
Re: анкилоз локтевого сустава
Леша 28 Сентябрь 2012, 00:37
|
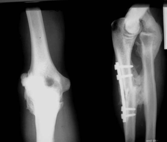
Добрый день, на сколько мне кажется, вправлять головку луча нет смысла, окружающие ткани сильно кальцинированы, так что думаю, что объем следующий: резекция головки луча с кальцинатом, удаление пластины с томией синостоза.
С уважением.
|
[
Ответить ]
|
Re: анкилоз локтевого сустава
Alexander Klink 28 Сентябрь 2012, 07:48
|
В плане лечения неправильно сросшийся перелом не даст репонировать головку. Значит надо делать остеотомию локтевой кости с хорошей чисткой мозоли. Доступ - задне-латеральный по Boyd-у, но не представляю как удастся очистить головку от мозоли и репонировать. А фиксировать по-новому локтевую кость только с репонированной головкой. Может тогда и достигнется какое-то движение в суставе.
Алекс
|
[
Ответить ]
|
Re: анкилоз локтевого сустава
григорий 29 Сентябрь 2012, 23:04
|
я тоже за резекцию головки ,удаление кальцинатов(прада чревато нейропатией) А предплечье по ротации как расположено?
|
[
Ответить ]
|
Re: анкилоз локтевого сустава
Отправитель: Pavel Volykov (ЦКБ №1 ОАО РЖД) 30 Сентябрь 2012, 16:45
|

Кисть в достаточно функциональном положении. Планирую все-таки первым этапом ограничиться резекцией головки по возможности гетеротопического экзостоза. Если удастся восстановить сгибание, вторым этапом удалим фиксатор и лочелоктевой синостоз
|
[
Ответить ]
|
Re: анкилоз локтевого сустава
Отправитель: Леша 01 Октябрь 2012, 03:11
|
Если не затруднит- выложите послеоперационные впечатления и R-граммы. Спасибо.
|
[
Ответить ]
|
|
Re: анкилоз локтевого сустава
Екимов Михаил 30 Сентябрь 2012, 09:28
|
Добрый день, уважаеые коллеги! Без данных КТ, сложно судить об объёме операции. Во время травмы черепно-мозговая травма была? Если была, то какая. Спасибо.
|
[
Ответить ]
|
Re: анкилоз локтевого сустава
Paul 77 01 Октябрь 2012, 18:16
|
Первой мыслью также был вопрос о черепно-мозговой травме. У больного может быть предрасположенность к развитию гетеротопических оссификатов. В практике встречал случай похожий у пациента 17 лет. Брали на редрессацию сустава с удалением экзостозов. Результат неудовлетворительный. Больной должен это знать. КТ необходимо в плене предоперационного планирования. Не торопитесь идти на операцию.
|
[
Ответить ]
|
Re: анкилоз локтевого сустава
Evgueny Tschekashkine 02 Октябрь 2012, 00:18
|
Резекция экзостозов, вправление вывиха головки, пластика аннулярной связки. Резекция головки лучевой кости чревата проблемами в дистальном радио-ульнарном сочленении. Зачем создавать больному новые проблемы?
Вполне возможно, что придется делать и постеро-латерал/медиал capsular release. Иммобилизация в положении сгибания 90 градусов. По стихании послеоперационных болей начинать с физиотерапии со сменными лонгетами в положении сгибания/разгибания.
Если есть возможность, то контроль боли введением анестетика по катетеру, блокируя плечевое сплетение.
Успехов,
Отправьте на форум результат ,
Евгений Чекашкин
|
[
Ответить ]
|
Re: анкилоз локтевого сустава
Maxim Agalakov 02 Октябрь 2012, 09:23
|
При выборе любого способа операции, необходимо убедиться в нормальном уровне щелочной фосфатазы (при повышенном уровне - высокий риск рецидива), в послеоперационном периоде курс индометацина, если возможно рентгентерапии
|
[
Ответить ]
|
Re: анкилоз локтевого сустава
Pavel Volykov (ЦКБ №1 ОАО РЖД) 05 Октябрь 2012, 12:47
|
Всем большое спасибо. К сожалению оперативное лечение пришлось отложить - при обследовании выявлен гепатит высокой степени активности. Еще раз спасибо за участие в обсуждении.
|
[
Ответить ]
|
( Ответить )
|