Ответить
|
Re: Нет сращения через полгода после штифтования голени
Afanasyev Oleg 12 Ноябрь 2012, 23:46
|
Соэ,с-реак.белок?И этапные Р-гр.после динамизации.
|
[
Ответить ]
|
Re: Нет сращения через полгода после штифтования голени
Отправитель: Николов Олег 14 Ноябрь 2012, 18:52
|
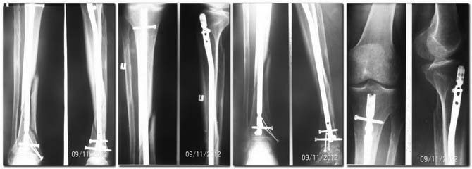
Этапные ренгенограммы после динамизации ничем не отличатся от последних снимков. Свежих лабораторных показателей у меня нет. На момент динамизации (т.е. последней госпитализации) СОЭ 14.
|
[
Ответить ]
|
|
Re: Нет сращения через полгода после штифтования голени
Ktif 14 Ноябрь 2012, 03:04
|
Добрый день. Скажите, а как зависит ведение данного случая от СРБ и СОЭ?
Спасибо.
|
[
Ответить ]
|
Re: Нет сращения через полгода после штифтования голени
Anatoly Lazarev 14 Ноябрь 2012, 20:29
|
Попробуйте закрыто тунелизацию фрагмента на проксимальном и дистальном стыках спицами 2 -3 мм и введение по каналам PRP - должен полуситься хороший эффект.
С категорическими выводами я бы не спешил"замедленная" консолидация? - не более того.
При высокоэнергетических переломах микроциркуляция восстанавливаетс в 2-ные и даже 3-ные сроки.
Удачи. ЛАФ.
|
[
Ответить ]
|
Re: Нет сращения через полгода после штифтования голени
Отправитель: Anatoly Lazarev 18 Ноябрь 2012, 16:54
|
У нас в ЦИТО вышла кандидатская работа - очень хорошие результаты. Мы в своем отделении периодически используем данную технологию, но готовим не сами, а сотрудники 8 отделения по старой дружбе.
Задавайте конкретные вопросы - передам авторам. Готовится все непосредственно перед операцией.
Есть свои нюансы - думаю все реально практически в любых условия. ЛАФ = Лазарев Анатолий Федорович.
|
[
Ответить ]
|
Re: Нет сращения через полгода после штифтования голени
Отправитель: Столяров Илья 19 Декабрь 2012, 11:06
|
Мне очень интересна тема собственно PRP.
Ответьте, пожалуйста, какие разрешительные документы нужны, чтобы применять методику, нужно ли сертифицированное именно для этого оборудование, требуется ли отдельная лицензия. В интернете не нашел каких-либо документов, разрешающих применять методику в России.
С наилучшими пожеланиями, Столяров Илья (травматолог Нижний Новгород).
|
[
Ответить ]
|
|
Re: Нет сращения через полгода после штифтования голени
Alexander Chelnokov 14 Ноябрь 2012, 21:07
|
А можно увидеть самый свежий снимок в большем разрешении?
|
[
Ответить ]
|
Re: Нет сращения через полгода после штифтования голени
Отправитель: Николов Олег 14 Ноябрь 2012, 22:45
|

Последний.
|
[
Ответить ]
|
|
Re: Нет сращения через полгода после штифтования голени
Ktif 17 Ноябрь 2012, 03:07
|
Уважаемый Олег, как только определитесь с тактикой- дайте знать, очень интересен подход. Из предложенного- насверливание с введением PRP- наверное самый гуманный вариант. Кстати о нем, кто каким образом получает обогащенную плазму и какие есть результаты. Большое спасибо за ответы.
С уважением.
|
[
Ответить ]
|
Re: Нет сращения через полгода после штифтования голени
Игорь Девин 18 Ноябрь 2012, 00:20
|
Мне кажется не надо делать ничего, кроме ЛФК, массажа и постепенного расширения нагрузки.
С уважением, И.Девин.
|
[
Ответить ]
|
Re: Нет сращения через полгода после штифтования голени
Bagrat Grigoryan 18 Ноябрь 2012, 00:23
|
Уважаемый Олег!!!
Сделай косую остреотомию малоберцовой кости в нижней трети, и тогда динамизация даст желательный результат!
С уважением Баграт Степанович.
|
[
Ответить ]
|
Re: Нет сращения через полгода после штифтования голени
Djoldas Kuldjanov, M.D. 19 Ноябрь 2012, 05:38
|
"Скажите, а как зависит ведение данного случая от СРБ и СОЭ?"
Одной из причин, приводящих к замедленной консолидации, является инфекция, и поэтому знание маркеров воспаления считается важным фактором в диагностике.
Данный случай является одним из сложных, потому что спиральный фрагмент лежит отдельно, а основные части большеберцовой расположились ввиде заточенного карандаша. Динамизация при таких явлениях редко эффективна, и для ускорения процесса прибегают к замене гвоздя.
Снимки в двух проекциях недостаточны для оценки, надо добавить дополнительные косые 45 градусные снимки. Спиральная КТ лучше покажет окружность кости, но на последних снимках идет консолидация перелома, особенно наверху. Можно подождать и продолжать нагрузку!
PS. По поводу туннелизации не имеем опыта, хотя по идее должен ускорить васкуляризацию между отломками. Если терпит время, тогда можно сделать туннелизацию, а в данном случае мы бы добавили электростимуляцию.
При неудаче приступают к замене гвоздя с рассверливанием, это ускорит процесс, но к этой процедуре лучше приступить после 7-9 мес. Отсутствие консолидации после 9 мес. доказывает отсутствие связи между отломками и напрашивается более толстый гвоздь.
К следующему этапу лечения приступаем без удаления первичного гвоздя. Задне-медиальный доступ с декортикацией по Judet и скоростной фрезой срезаем склерозные края фрагмента. Задача-восстановить трубку большеберцовой и мостовидной пластиной приблизить спиральный фрагмент Рассверливание канала создаст стимуляцию, и замена гвоздя на более толстый.
При ложных суставах всегда надо помнить, что возможно данная операция не последняя. Надо соблюдать осторожность при доступах и аккуратно с мягкими тканями!
|
[
Ответить ]
|
Re: Нет сращения через полгода после штифтования г
VlaD 19 Ноябрь 2012, 21:45
|
Здравствуйте, уважаемые коллеги.
Не так давно на форуме обсуждался случай несращения после интерлокинга инфраистмального перелома большеберцовой кости. Не хочется повторяться, но в представленном случае, с моей точки зрения, причина несращения идентична. С той лишь разницей, что перелом можно рассматривать как сегментарный и имеющий как инфраистмальную составляющую, так и супраистмальную. Повторюсь, уже имея в виду супраистмальный перелом. Два винта, проведенные во фронтальной плоскости в проксимальном отломке не всегда могут обеспечить стабильность фиксации во фронтальной плоскости, если на уровне истмуса диаметр стержня значительно меньше диаметра костномозгового канала. Особенно, если один из двух блокирующих винтов проведен через овальное отверстие. В обсуждаемом случае об истмусе, как самой узкой части костномозгового канала, говорить вообще не приходится, поскольку промежуточный фрагмент, который формировал канал на уровне истмуса, значительно смещён по ширине. Как место плотного контакта стержня и кости истмус можно исключить. В таком случае обеспечение неподвижности между стержнем и проксимальным отломком целиком зависит от проксимальных блокирующих винтов, а если быть ещё точнее, от их количества и числа плоскостей, в которых они проведены. В обсуждаемом случае перелом изначально был расценен как инфраистмальный и, совершенно обосновано, выполнено дистальное блокирование тремя блокирующими винтами в полифокальных плоскостях. Такое же блокирование, с моей точки зрения, следовало бы выполнить и в проксимальном отломке. Ещё лучше бы его выполнить четырьмя винтами. В случаях переломов типа Winquist III (данный случай) вообще рассчитывать на последующую динамизацию не разумно и, чтобы блокирующий винт в овальном отверстии выполнял бы хоть какую-то функцию при нагрузке, мы его изначально проводим по нижнему краю отверстия. Выполненная динамизация только ухудшила ситуацию, поскольку к нестабильности во фронтальной плоскости добавилась нестабильность и в сагиттальной. Если оставить всё как есть, трудно рассчитывать на положительный результат. С моей точки зрения больной нуждается в повторном оперативном вмешательстве. Трудно рассчитывать на эффект от каких-либо других способов лечения, если присутствует нестабильность в месте перелома, вызванная несостоятельность металлоконструкции. Необходим реостеосинтез . Стержень необходимо заменить, поскольку после шести месяцев существует угроза его перелома из-за усталости металла при последующей нагрузке. Поскольку истмуса нет, диаметр нового стержня не имеет принципиального значения. Он может быть таким же. Принципиальное значение имеет адекватное блокирование, как в дистальном, так и проксимальном отломке. Рассверливание канала необходимо только как способ получения пластического материала. И самое важное. Больному должна быть рекомендована полная нагрузка на ногу сразу после операции. Без неё интерлокинг теряет многие свои преимущества как метод остеосинтеза.
С уважением, VlaD.
|
[
Ответить ]
|
Re: Нет сращения через полгода после штифтования голени
Николов Олег 25 Ноябрь 2012, 11:38
|
Всем спасибо за отклики. По просьбе пациента взята пауза еще на один месяц. Про развитие ситуации сообщу дополнительно.
|
[
Ответить ]
|
( Ответить )
|
|