Ответить
|
Re: Перелом стержня на ранних сроках, бедро. Что делать?
Юрий Р. 22 Ноябрь 2012, 00:02
|
Удалять гвоздь, штифтовать ретроградно, используя гвоздь максимального диаметра. Скорее всего, нужно будет открывать место перелом для удаления дистальной части штифта. В этом случае постараться максимально сохранить кровоснабжение в области перелома - щадяще работать с мягкими тканями.
|
[
Ответить ]
|
Re: Перелом стержня на ранних сроках, бедро. Что делать?
Николоай Гарькавый 22 Ноябрь 2012, 00:12
|
Добрый вечер! Я бы изначально предпочел DFN длинную версию. На мой взгляд коллапс конструкции в данном случае неизбежен. Нагрузка не разнесена по сегменту, т.к, дистальный блок слишком близко к линии перелома, что привело к концентрации стрессовых сил в проекции перелома и как следствие коллапс импланта.
Хотя если изначально штифт проколотить максимально низко, а в Вашем случае запас был, тогда можно было бы на что то надеяться, но опять же, перелом не поперечный, стенки нет...
Поэтому, UFN удалять и синтезировать закрыто DFN длинной версией.
С уважением, Николай Гарькавый
|
[
Ответить ]
|
Re: Перелом стержня на ранних сроках, бедро. Что делать?
Иван 22 Ноябрь 2012, 00:42
|
Если стержень канюлированный попытаться удалить дистальный его фрагмент закрыто. Далее перештифтовать более толстым и может быть чуть более длинным стержнем с рассверливанием канала и коррекцией положения дистального отломка.
|
[
Ответить ]
|
Re: Перелом стержня на ранних сроках, бедро. Что делать?
Alexander Chelnokov 22 Ноябрь 2012, 12:01
|
Надо удалять и пересинтезировать. Необходимости делать это именно ретроградно не видно. Инструменты для удаления дистального обломка гвоздя существуют, этот вопрос на форуме не раз обсуждался, поищите. Ну и при реостеосинтезе не надо повторять прежних ошибок - слишком тонкий говздь был, и отверстия слишком блико к перелому. То есть взять гвоздь подлиннее и побольше диаметром.
Можно отправить этого пациента к нам в Е-бург, если такой вариант приемлем, о деталях пишите на e-mail - alex@weborto.net.
|
[
Ответить ]
|
Re: Перелом стержня на ранних сроках, бедро. Что делать?
Алан Цаллагов 22 Ноябрь 2012, 13:59
|
Спасибо всем! Можно ли рассматривать как альтернативу ретроградному гвоздю в данной ситуации, реостеосинтез пластиной LC-DCP. С возможным оставлением дистального фрагмента?
|
[
Ответить ]
|
Re: Перелом стержня на ранних сроках, бедро. Что делать?
Отправитель: Alexander Chelnokov 22 Ноябрь 2012, 17:37
|
Конечно, можно. Но зачем?? Если будете удалять проксимальный фрагмент гвоздя - доступ уже есть, рассверлить и ввести больший гвоздь можно без дополнительных разрезов. Можно даже дистальный фрагмент гвоздя не удалять.
|
[
Ответить ]
|
|
Re: Перелом стержня на ранних сроках, бедро. Что делать?
Vsevolod Kalensky 27 Ноябрь 2012, 11:34
|
После удаления, пожалуй, реостеосинтез антеградным толстым длинным штифтом с рассверливанием с блокированием в дистальном отломке как во фронтальной, так и в сагиттальной плоскости.
|
[
Ответить ]
|
Re: Перелом стержня на ранних сроках, бедро. Что делать?
Игорь Девин 27 Ноябрь 2012, 11:35
|
Если есть подвижность, отломков, боль, разгибательная контрактура - следует вмешиваться открыто, удалять обе части штифта, проводить коррекцию положения отломка, реостеосинтез новым штифтом большей длины.
Игорь Девин.
|
[
Ответить ]
|
Re: Перелом стержня на ранних сроках, бедро. Что делать?
Алан Цаллагов 05 Декабрь 2012, 16:20
|

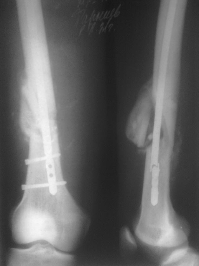
Всем спасибо! Что мы сделали: удалили прокссимальный фрагмент без проблем. Дистальный: через сустав рассверлен канал 13мм. до дистального фрагмента. Который затем удален через тот же канал при помоши загнутой спицы, без особых проблем. Далее ретроградный остеосинтез гвоздем №10.
|
[
Ответить ]
|
( Ответить )
|