AOTRAUMA.ORG Центр Илизарова  

Ортопедия и травматология Общие вопросы/General questions Help Информационные технологии в медицине
 вверх
 отправить
 поиск
 админ
 главная


Проблемы с коленным суставом после БИОС
Ортопедия и травматология Отправлено Михаил 23 Ноябрь 2012, 00:53
Уважаемые коллеги, доброго времени суток!
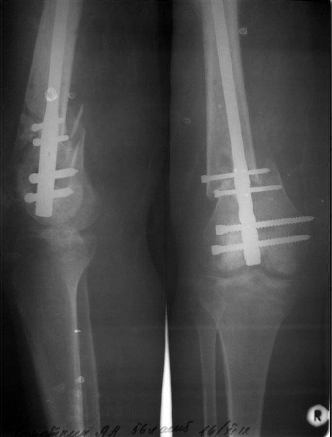
Разрешите представить Вам следующий случай.Пациент С., 55 л, получил открытый сегментарный перелом бедренной кости 24.07.12 в результате столкновения скутера с автомобилем (упал со скутера). Доставлен в наше отделение. В экстренном порядке- наложение стержневого АВФ, ПХО раны. После ее заживления,17.08.12- ретроградный БИОС универсальным бедренным штифтом ChM. Блокирующие винты перепроведены 05.09.12 (у оператора не хватило опыта-не попал в отверстия). Выписан 28.09.12. В настоящий момент беспокоят боли в коленном суставе, отек всей конечности, отсутствие полного объема движений в суставе, субфебрилитет. Ходит на костылях с нагрузкой примерно 15 % массы тела, увеличить нагрузку мешает боль. Местная температура не повышена, в полости сустава жидкости нет.Результаты анализов-СОЭ, СРБ пока неизвестны. Что делать?

<  |  >

 

  • Сообщения о Ортопедия и травматология
  • Также Михаил
  • Связаться с автором
  • Ответить

    Re: Проблемы с коленным суставом после БИОС
    Алан Цаллагов 23 Ноябрь 2012, 19:37
    На мой взгляд, боли в суставе возможны по двум причинам: ось бедра не востановлена, имеется вальгусная отклонение голени, из-за чего неравномерное распределение нагрузки на уже артрозный сустав! Или же изначальное повреждение внутренних структур сустава. Но складывается еше ощущение, что гвоздь не добит сантиметров на 1,5. На мой взгляд, целесообразно произвести диагностическую артроскопию. Исправлять ось, реостеосинтез!


    [ Ответить ]

    Re: Проблемы с коленным суставом после БИОС
    Иван 23 Ноябрь 2012, 20:16
    Михаил, кажется конец стержня выстоит в полость сустава, и может вызывать боль. Также следует исключить флеботромбоз и, как следствие, отек нижней конечности.
    Думаю, следует разблокировать и добить стержень, и не ставить после этого винты в зону перелома, сейчас они там явно лишние. Перед этим, конечно оценить маркеры воспаления.

    [ Ответить ]

    Re: Проблемы с коленным суставом после БИОС
    женя 23 Ноябрь 2012, 21:12
    В суставе свободная жидкость есть? Проверьте маркеры воспаления, коагулограмму. Винты в переломе - не дело, но это вопрос не сегодняшнего дня. Положение проксимального конца стержня не идеальное, можно и добить, но не сейчас. Надо исключать инфекцию и венозные проблемы.
    [ Ответить ]

    Re: Проблемы с коленным суставом после БИОС
    Михаил 24 Ноябрь 2012, 00:21
    Существуют этапные снимки, по которым можно оценить ось бедра во фронтальной плоскости- она правильная, нарушена ось промежуточного фрагмента. Насчет выстояния конца гвоздя- сам об этом думаю, но опасаюсь, что при переблокировании развалится дистальный отломок (он уже и так как дуршлаг). Хотелось бы услышать мнение уважаемого Александра Николаевича Челнокова.
    [ Ответить ]

    • Re: Проблемы с коленным суставом после БИОС
      Отправитель: Alexander Chelnokov 26 Ноябрь 2012, 01:16
      Насчет оси - гвоздь в дистальном отломке идет несоосно ему, на уровне перелома гвоздь ближе к латеральной стенке, то есть эпиметафиз смещен медиально. По профилю - и кзади. Похоже, и укорочение есть.

      И перелом низкий, и раны немаленькие в области сустава, и стержень выстоит. То есть причины для проблем с движениями есть. Насколько пациент эти проблемы настойчиво и правильно решал, как разрабатывал движения - нет сведений.

      [ Ответить ]
    Re: Проблемы с коленным суставом после БИОС
    Михаил 27 Ноябрь 2012, 01:01
    Всем спасибо! Пациент дообследуется амбулаторно. По результатам обследования будем думать об реостеосинтезе или смене метода фиксации.
    [ Ответить ]

    Re: Проблемы с коленным суставом после БИОС
    Александр Н 27 Ноябрь 2012, 15:04
    Уважаемый коллега. По моему еще рано делать какие либо выводы. Признаков консолидации еще не видно. Через два-три месяца все срастется, и боли уменьшатся и отек, или кто-то обещал пациенту что все пройдет без последствий и нога будет как новая (чистая психология)? Перелом ведь очень серьезный. И идет у Вас все неплохо. Заачем мысли о повторной операции???
    [ Ответить ]

    • Re: Проблемы с коленным суставом после БИОС
      Отправитель: Сергей Ушаков 30 Ноябрь 2012, 21:33
      Уважаемые господа травматологи! Не Му-ТЕ!!! Удаление фиксатора, нормальная репозиция при помощи "общеобмусоленного" дистрактора Челнокова,реостеосинтез:1) БИОС ретроградно; 2) БИОС антеградно; 3) Накостный остеосинтез LCP пластиной; 4)накостный остеосинтез LC-DCP пластиной; 5) аппарат Илизарова. Определитесь, чем в большей степени владеет Ваша клиника, и в дальнейшем применяйте любой из методов согласно "мануалу", главное без излишеств и отсебятины. С уважением Ушаков С А.

      [ Ответить ]

     

    ( Ответить )

    Powered by Zope  Squishdot Powered MedLink
    Посетитель: 0388602
      "По форме правильно, а по существу - издевательство" В.И.Ленин
    ©2001-2019Orthoforum Coordinator.
    [ Главная | Отправить сообщение | Поиск | Админ ]