AOTRAUMA.ORG Центр Илизарова  

Ортопедия и травматология Общие вопросы/General questions Help Информационные технологии в медицине
 вверх
 отправить
 поиск
 админ
 главная


Солитарная киста
Ортопедия и травматология Отправлено Анатолий 24 Ноябрь 2012, 00:43
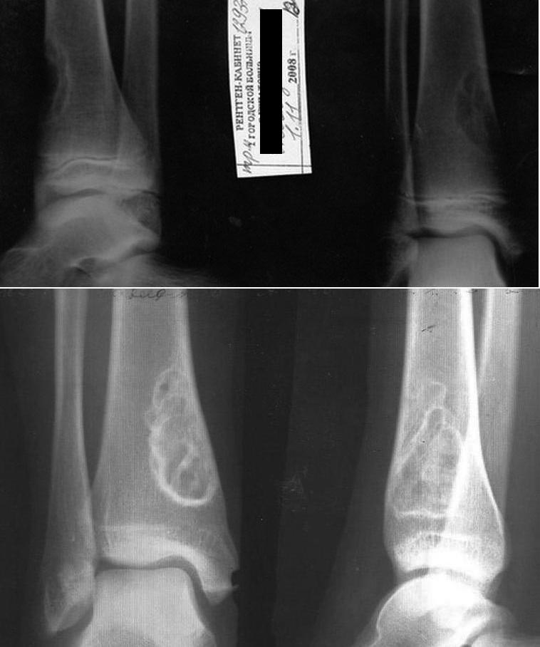
Прошу консультацию по тактике лечения солитарной кисты большеберцовой кости.
Девочка 17 лет, в 2008 году появились боли в области большеберцовой кости.
Выполнена рентгенограмма (верхняя) и рекомендовано наблюдение.
Вновь боли появились в 2012 году выполнена рентгенограмма (нижняя) и остеосцинтиграфия.
15.11.2012. Cцинтиграфия костей голеней, стоп:
регистрируется повышенное накопление РФП в нижней трети правой большеберцовой кости размерами 4х3 см, без четких контуров - 180% (по сравнению с симметричной зоной левой голени).
Заключение. Сцинтиграфические данные умеренно выраженного остеобластическогом процесса нижней трети правой большеберцовой кости.

Вопрос о тактике лечения.
1. Вариант. Краевая резекция с замещением дефекта.
2. Вариант. Наблюдение и лечение в случае патологического перелома.

<  |  >

 

  • Сообщения о Ортопедия и травматология
  • Также Анатолий
  • Связаться с автором
  • Ответить

    Re: Солитарная киста
    Alexander Chelnokov 24 Ноябрь 2012, 22:33
    Непохоже на кисту.
    [ Ответить ]

    Re: Солитарная киста
    Алексей Тарасов 25 Ноябрь 2012, 10:51
    Несмотря на увеличение размеров образования в динамике, имеется положительная динамика. На раннем снимке больше данных за метафизарный фиброзный дефект, а на позднем - это неоссифицирующая фиброма с признаками спонтанной оссификации. Болевой синдром возможно был обусловлен нагрузками или двигательной активностью. Угроза патологического перелома маловероятна при соблюдении разгрузочного режима (исключить бег, прыжки). Возможно динамическое наблюдение.
    [ Ответить ]

    Re: Солитарная киста
    Игорь Владимирович Шведовченко 25 Ноябрь 2012, 11:30
    фиброзный дефект кости представляет собой термин, предпочтительно используемый в классификации ВОЗ, поскольку, он является чисто описательным и не отражает какой-либо четкой позиции по все еще остающемуся противоречивым вопросу этио-патогенеза данного процесса. Этим противоречием объясняется наличие различных названий данного вида патологии.

    Впервые дифференцировали этот процесс как самостоятельный Jatfe H.L. и Lichtenstein L. в 1942 году и применили к нему термин неостеогенная фиброма, считая, таким образом, его опухолью. В 1945 году Hatcher С.Н. предложил термин метафизарный фиброзный дефект, указывая этим, что данный патологический процесс является скорее дефектом развития, чем действительно новообразованием. Jaffe H.L. в 1958 году заменил термин неостеогенная фиброма наименованием неоссифицирующая фиброма, чем настаивал на том, что она по своей природе является новообразованием. Для меньших поднадкостничных и кортикальных опухолей он, однако, применял термин кортикальный фиброзный дефект, предполагая, что они могут увеличиваться в размерах и развиваться в неоссифицирующуюся фиброму, поскольку обе разновидности имеют идентичные гистологическое характеристики. Spjut H.J. (1971) использовал оба термина как взаимозаменяемые, a CafFey J. (1955; 1972) утверждал, что в своей ранней стадии все неоссифицирующие фибромы являются кортикальными дефектами. Вместе с тем Selby S. (1961) отмечает, что очаги метафизарного фиброзного дефекта кости отличаются от неостеогенной фибромы тем, что со временем они изменяются в размерах в ту или иную сторону, могут спонтанно исчезать, они не увеличиваются до средней линии кости и не прорастают в костномозговой канал. Волков М. В. (1989) считает, что развитию неоссифицирующей фибромы предшествует наличие в организме очагов фиброзной дисплазии. Морфологические особенности метафизарного фиброзного дефекта кости изучены в ряде работ (Русаков А. В., 1947; Виноградова Т. П., 1964; Selby S., 1961; Schajowicz F., 1994; Unni С., 1996). Однако приводимые данные относительно противоречивы. Так Steiner G. (1974) утверждает, что гистологическая картина неостеогенных фибром не отличается от очагов при метафизарном фиброзном дефекте кости. В тоже время Schajowicz F.(1994) приводит данные о различии в строении старых и свежих патологических очагов. Кроме того, Unni С. (1996) сообщает о возможности присутствия в неостеогенных фибромах маленьких фокусов костной метаплазии (чего не находят другие исследователи ), что возможно, по его мнению, свидетельствует об определенной взаимосвязи между неостеогенной фибромой и фиброзной дисплазией кости. Schajowicz F. (1994) предлагает новое название данной патологии - " гистиоцитарная ксантагранулема ", что по его мнению отражает гистологическое строение и неопухолевую природу повреждения. Таким образом, до сих пор нет единства во взглядах на природу данного процесса.


    Научная библиотека диссертаций и авторефератов disserCat http://www.dissercat.com/content/metafizarnyi-fibroznyi-defekt-kosti-u-detei-klinika-diagnostika-lechenie#ixzz2DDKRFvo4
    [ Ответить ]

    Re: Солитарная киста
    Андрей 25 Ноябрь 2012, 15:21
    Ув. коллеги!
    Я предлагаю трепанацию кости в области кисты, кюретаж, обработка агрессивными средами, замещение дефекта ? аутокость, тутопласт, киргап. А делать надо
    [ Ответить ]

    Re: Солитарная киста
    edgar bukharev 28 Ноябрь 2012, 13:39
    В настоящее время показаний к хирургическому лечению нет. Показано динамическое наблюдение с ограничением нагрузок.
    См.: http://www.dissercat.com/content/neossifitsiruyushchayasya-fibroma-kosti-u-detei-klinika-diagnostika-lechenie
    и
    http://www.rosturner.ru/kl1.htm
    Вышла из печати монография А.П.Поздеева и Н.Г.Чигвария "Неоссифицирующаяся фиброма кости у детей" (клиника, диагностика, лечение)
    [ Ответить ]


    ( Ответить )

    Powered by Zope  Squishdot Powered MedLink
    Посетитель: 0184832
      "По форме правильно, а по существу - издевательство" В.И.Ленин
    ©2001-2019Orthoforum Coordinator.
    [ Главная | Отправить сообщение | Поиск | Админ ]