Ответить
|
Re: Перелом штифта
Ktif 26 Ноябрь 2012, 13:21
|
Добрый день. Наверное есть смысл во время операции иметь наготове все из предложенных Вами вариантов. После удаления проксимального фрагмента можно попробовать удалить дистал. с помощью ушатанного артроскопического инструмента(канал достаточно широк для этого гвоздя). Удалить дистальный все-таки настоятельно рекомендую пусть даже открыто.
Если пациент настаивает на БИОС, ресинтез делайте с хорошей компрессией (оговорив возможность укорочения до 2 см, что вполне нормально). Но АВФ,пожалуй, все-таки будет оптимальным в смысле управления регенератом.
С уважением.
|
[
Ответить ]
|
Re: Перелом штифта
Иван 26 Ноябрь 2012, 19:18
|
Я бы удалил проксимальный фрагмент штифта, затем дистальный попробывал бы через локтевую ямку, и ресинтезировал более толстым гвоздем с рассверливанием канала.
|
[
Ответить ]
|
Re: Перелом штифта
Алан Цаллагов 26 Ноябрь 2012, 23:17
|
Удалять скорей придётся открыто! На счет реостеосинтеза мне более приемлемо кажется БИОС ретроградный, на более толстом и коротком стержне.
|
[
Ответить ]
|
Re: Перелом штифта
Отправитель: ИГОРЬ 27 Ноябрь 2012, 22:30
|
Ретроградный БИОС обречен на неудачу в данном случае - слишком короткий дистальный фрагмент.
|
[
Ответить ]
|
|
Re: Перелом штифта
Сергей 28 Ноябрь 2012, 12:41
|

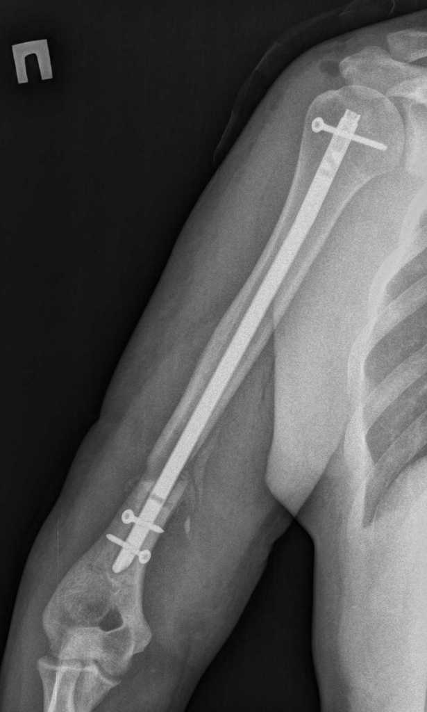
Здравствуйте. Открыто удалили дистальный фрагмент. После рассверливания заштифтовали более массивным штифтом. Спасибо за участие в обсуждении случая.
|
[
Ответить ]
|
Re: Перелом штифта
Отправитель: Andrey Ragozin 29 Ноябрь 2012, 14:12
|
И он опять должен сломаться по проксимальному отверстию (Биомеханика вещь не меняющаяся)
|
[
Ответить ]
|
|
Re: Перелом штифта
Павел К. 29 Ноябрь 2012, 23:19
|
Если же Вы отрывались, почему не стали обрабатывать концы (увеличивать площадь контакта)? Не было ли мыслей о костной пластике?
Снимки "до" и "после" очень похожи, ...пациент молодой, повторный перелом конструкции скорее всего - вопрос времени. Проследить бы пациента дальше, как будет "срастаться".
|
[
Ответить ]
|
Re: Перелом штифта
Сергей 30 Ноябрь 2012, 06:39
|
Спасибо за комментарии. Пациента проследим и в динамике отразим контрольные рентгенограммы.
|
[
Ответить ]
|
Re: Перелом штифта
David Werow 19 Декабрь 2012, 13:58
|
dvoinoe blokirovanie lizis v meste pereloma potom
nagruzka na shtivt i ustalostnii perelom
|
[
Ответить ]
|
( Ответить )
|