вверх
отправить
поиск
админ
главная
|
Импрессионный перелом головки бедренной кости |
 |
 |
 |
Отправлено Евгений Данилов 30 Ноябрь 2012, 00:13 Спб ГБ №38 Пушкин
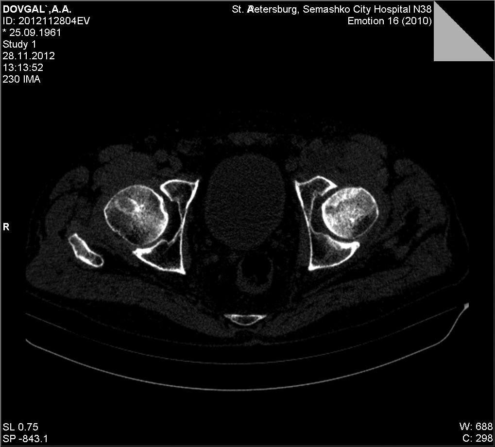
Доброго времени суток. Предлагаю к обсуждению случай с пациентом 51 года с переломом в передне-верхней зоне головки бедренной кости. С2.2 Мужчина, 51, направлен из травмпункта в наше ЛПУ с диагнозом " ушиб левого тазобедренного сустава". Со слов пострадавшего - 2 недели до поступления поскользнулся,упал с упором на левое колено. После чего появились боли в области левого тазобдренного сустава, боль при ходьбе, хромота, боль по передней поверхности тазобедренного сустава и в паху, боль усиливалась при осевой нагрузке, беспокоила в положении на спине, и на пострадавшем боку. Боль купировалась при сгибании в тазобедренном и коленном суставе в положении на спине. На стандартных рентгенограммах тазобедренного сустава патологии не выявлено.Госпитализирован в отделение с подозоением на импрессионный перелом головки бедренной кости Выполена компьютерная томография левого тазобедренного сустава, выявлено повреждение головки бедренной кости со вдавлением по передне-верхеней поверхности. На данный момент больному рекомендована разгрузка, ходьба без опоры на костылях до туалета, в остальном постельный режим. На обсуждение выносится ваш взгляд на дальнейшую тактику ведения больного, ваши наблюдения и предложения.В отделении мы рассматриваем следующие варианты: 1. Консервативное лечение с длительной разгрузкой, приемом хондропротекторов, сосудистых препаратов и т.д. 2. Возможность проведения ротационной остеотомии( есть небольшой опыт)
<
|
>
|
|
Ответить
|
Re: Импрессионный перелом головки бедренной кости
игорь 30 Ноябрь 2012, 06:03
|
Снимки!!!!
|
[
Ответить ]
|
Re: Импрессионный перелом головки бедренной кости
В.Худобин 30 Ноябрь 2012, 12:16
|
Срок открытого остесинтеза уже упущен. Мы выполняеv его в 1-е сутки(если есть возможность). Затем результаты прогрессивно ухудшаются. Остеотомия эффект может и дать, но без гарантий, а вот следующий этап(эндопротезирование) усложнит. Поэтому целесообразно вести консервативно и лучше на вытяжении 8-10 недель. Затем до 4 месяцев пассивная ребилитация без освеой нагрузки. С 4 месяца начинать увеличивать осевую до 6 месяца. В этот период и проявится прогноз исхода. Удачи.
|
[
Ответить ]
|
Re: Импрессионный перелом головки бедренной кости
Данилов Евгений 30 Ноябрь 2012, 15:14
|

КТ
|
[
Ответить ]
|
Re: Импрессионный перелом головки бедренной кости
Отправитель: maxim agalarov 01 Декабрь 2012, 16:54
|
прежнее сообщение было отправлено до этих сканов. Есть ли у пациента какая-то серьезная сопутствующая патология, алкоогольная зависимость? SIF (subchondral insufficiency fracture) более характерен для пожилых женщин или для пациентов с пересаженной почкой. Учитывая небольшое количество наблюдений по всему миру - прогноз и тактика не очевидна. Попробуйте с консервативного лечения (вытяжение мне кажется излишним), очень вероятна THA в дальнейшем, пациент должен быть информирован об этом.
|
[
Ответить ]
|
|
Re: Импрессионный перелом головки бедренной кости
maxim agalakov 30 Ноябрь 2012, 16:19
|
а был ли мальчик?сканы немного на разных уровнях, это просто место прикрепления связки, да и представить механизм такого перелома сложно, теоретически при заднем вывихе, но там обычно ломается по другому (Pipkin)
|
[
Ответить ]
|
Re: Импрессионный перелом головки бедренной кости
Andrey Volna 30 Ноябрь 2012, 22:32
|
Вы серьезно???
|
[
Ответить ]
|
Re: Импрессионный перелом головки бедренной кости
Отправитель: Alexander Chelnokov 01 Декабрь 2012, 00:59
|
Какое именно сообщение и почему вызывает этот вопрос?
|
[
Ответить ]
|
|
Re: Импрессионный перелом головки бедренной кости
В.Худобин 02 Декабрь 2012, 16:26
|
К сожалению это перелом, а не что иное, т.к. состояние сустава и отсутствие информации о другой патологии, кроме травмы(с учётом клиники) подтверждают диагноз. По классификации АО 31-С2.
Как ни странно, но данные повреждения сейчас не так редки, как хотелось бы из-за повышения уровня диагностики(использования КТ,МРТ). Одна из причин в том, что ранее - это был диагноз ушиб тб сустава или что-то подобное по рентгенограммам. Лечение общепринятое, а исход известен. Механизмы самые разнообразные - доминирующий ДТП, но встречаются и падения с небольших высот(вероятно низкоэнергетические, но не факт). Кроме причины приведенной ранее это бывает при остеопорозе, коксартрозах различной этиологии, гормональных нарушениях.
Для стран СНГ основное - это поздняя диагностика и как результат неблагоприятный прогноз.
Касаемо лечения - нового не придумано ни у нас, ни за бугром. Там более предпочетают оперативную репозицию. Но я уже писал, что хороший эффект возможен только в первые сутки. Далее результаты прогрессивно ухудшаются. Однако вопрос протезирования при данного типа повреждениях ставится не ранее, чем через 1 год. До этого периода идёт адаптация сустава и поскольку прогноз не известен, то и торопиться не надо. И ещё. Разгрузка сустава на скелетном вытяжении обязательна,т.к. уже виден формирующийся в этой зоне импиджмент-синдром, который может усугубить восстановление в суставе.
|
[
Ответить ]
|
Re: Импрессионный перелом головки бедренной кости
Отправитель: Данилов Евгений 02 Декабрь 2012, 23:10
|
Спасибо за помощь.
|
[
Ответить ]
|
Re: Импрессионный перелом головки бедренной кости
Отправитель: Maxim Agalakov 04 Декабрь 2012, 16:04
|
Неплохая обзорная статья по этой проблеме
http://www.ncbi.nlm.nih.gov/pmc/articles/PMC3425646/
|
[
Ответить ]
|
Re: Импрессионный перелом головки бедренной кости
Отправитель: Данилов Евгений 05 Декабрь 2012, 18:22
|
спасибо
|
[
Ответить ]
|
Re: Импрессионный перелом головки бедренной кости
Отправитель: Алок Бансал 03 Январь 2013, 03:43
|
Уважаемый коллега,
Для репозиций время потеряно,для коррегирующей остеотомии и для протезирования очень рано- В данное время нужно лечить только консервативно- постельный режим 8-10 недель , ЛФК ,хондропротекторы , КТ- контроль ,наблюдение в динамике!
С Уважением ,
Доктор Алок
|
[
Ответить ]
|
Re: Импрессионный перелом головки бедренной кости
Отправитель: Alex 04 Январь 2013, 03:56
|
Разгрузить сустав можно и сгибанием бедра, что снижает давление в тазобедренном суставе, и расслаблением мышц бедра - что происходит больше при Toe-touch weight bearing, чем при Non- weight bearing, и пациенту удобнее чем на скелетном вытяжении занимать койко-место.
|
[
Ответить ]
|
|
( Ответить )
|
|