Ответить
|
Re: протез или синтез?
Савранский Александр 03 Декабрь 2012, 00:59
|
Интересуют свежие снимки минимум в 2 проекциях.
Почему не оперировали раньше - такое смещение+ плексит= ургентный остеосинтез и ревизия сплетения.
|
[
Ответить ]
|
Re: протез или синтез?
Отправитель: Denis Glukhov 03 Декабрь 2012, 12:27
|
Больная попала к нам через 2 мес. после травмы. Что она делала на вытяжении 2 мес. - вопрос не к нам! Почему не прооперировали плечо - см. выше: ЗИО бедра, нагноение...
По поводу "свежих" снимков - остальные проекции и КТ выкладывать не стал, дабы не перегружать сообщение, т.к. принципиально новой информации на них нет.
|
[
Ответить ]
|
Re: протез или синтез?
Отправитель: Cавранский Александр 04 Декабрь 2012, 23:44
|
Здравствуйте!
Не хочется повторяться, но в данном конкретном случае "свежие" снимки в 2проекциях для выработки дальнейшей тактики играют важную роль, желательно и КТ.
Странно такое стояние после 2 месяцев на вытяжке, да и признаков какой-либо консолидации не видно, а свободно "болтающиеся" отломки при этом склонны к рассасыванию. Мы бы наверное попробовали остеосинтез LCP, лучше совместно с нейрохирургом, а можно и с сосудистым.Выделение отломков будет травматичным, обязателен невролиз сплетения.Надо быть готовым к аутопластике дефекта кости, иметь запас крови. С учетом нагноения в анамнезе обследовать на ВИЧ, исключить другие факторы.
|
[
Ответить ]
|
|
Re: протез или синтез?
Ktif 03 Декабрь 2012, 02:12
|
Добрый день. Если есть время и возможность для лечения у самого пациента, то начинать лучше с синтеза. На Р-грамме отломки кажутся жизнеспособными. То, что их удастся собрать на PH LCP не вызывает сомнения, но сборка эта из-за рубцов будет весьма травматичной. Большой вопрос с целостностью капсулы сустава и ротаторов (по возможности ревизия). Возможно есть смысл после освежения краев отломков ввести в полости переломов PRP. Функция конечности будет ориентировочно понятна к концу 1 месяца после операции, возможно и регрессируют симптомы плексопатии. К протезу всегда успеете. http://www.zimmer.com/en-US/hcp/shoulder/surgical-techniques.jspx
С уважением.
|
[
Ответить ]
|
Re: протез или синтез?
Отправитель: Столяров Илья 19 Декабрь 2012, 11:17
|
Здавствуйте!
Мне очень интересна тема собственно PRP.
Ответьте, пожалуйста, какие разрешительные документы нужны, чтобы применять методику, нужно ли сертифицированное именно для этого оборудование, требуется ли отдельная лицензия. В интернете не нашел каких-либо документов, разрешающих применять методику в России.
С наилучшими пожеланиями, Столяров Илья (травматолог Нижний Новгород).
|
[
Ответить ]
|
|
Re: протез или синтез?
Denis Glukhov 04 Декабрь 2012, 13:59
|
Других мнений нет? Никто с подобным не сталкивался? Негативный опыт не менее интересен!!!
|
[
Ответить ]
|
Re: протез или синтез?
Александр 04 Декабрь 2012, 21:40
|
Открытая репозиция, остеосинтез LCP пластиной, при безуспешности репозиции - протезирование (нежелательно).
На каком уровне повреждение плечевого сплетения? Функция каких нервов выпала? Какая проведена диагностика в этом направлении?
|
[
Ответить ]
|
Re: протез или синтез?
Сергей Дукер 05 Декабрь 2012, 15:50
|
Протезировать. В результате синтеза асептический некроз головки 99%
|
[
Ответить ]
|
Re: протез или синтез?
Отправитель: Ушаков Сергей 05 Декабрь 2012, 19:48
|
Уважаемые, коллеги! в данной ситуации имеет место быть: Внутрисуставной перелом проксимального отдела плечевой кости с вывихом плеча (тип 11 С3.3+2), головка фрагментирована. жизнеспособность бугорков не вызывает сомнения- к ним фиксированы сухожилия, кровоснабжение сохранено, а вот головка плечевой кости лишена какого либо кровоснабжения. Поэтому говорить о ее жизнеспособности, и возможности остеосинтеза - утопия. Это тот редкий случай когда первично показано тотальное эндопротезирование плечевого сустава с использованием реверсивного энопротеза. обязательным условием является тщательнрое выделение элементов вращательной манжеты и фиксация их к шейке протеза. опытом данных операций судя по данным литературы владеет доктор Архипенко институт медицины катастроф москва. С уважением Ушаков СА
|
[
Ответить ]
|
Re: протез или синтез?
Отправитель: Ушаков Сергей 05 Декабрь 2012, 20:00
|
Прошу прощения Архипов С.В.
|
[
Ответить ]
|
Re: протез или синтез?
Отправитель: Denis Glukhov 09 Декабрь 2012, 15:33
|
Останавливает то, что больная доживет не только до первой ревизии... и что потом?
|
[
Ответить ]
|
|
Re: протез или синтез?
Павел К. 05 Декабрь 2012, 16:16
|
Выполнение остеосинтеза мало перспективное мероприятие, т.к. имеет место длительно существующая ишемия головки (в т.ч. по критериям ишемии Хертеля), которая скорее всего приведет к асептическому некрозу.
В дальнейшем, учитывая неврологический фон, каждая повторная операция будет иметь худший функциональный результат.
ИМХО:
1) Обследование и лечение у невролога;
2) Какое эндопротезирование выполнять (фрактурным или реверсивным ЭП),- решать после заключения невролога.
|
[
Ответить ]
|
Re: протез или синтез?
Djoldas Kuldjanov, M.D. 07 Декабрь 2012, 05:56
|
"остальные проекции и КТ выкладывать не стал, дабы не перегружать сообщение, т.к. принципиально новой информации на них нет"
При переломах проксимального плеча, кроме обычных рентген снимков, необходимо сделать КТ исследование. Особенно 3D реконструкция, которая даст полную информацию о расположении фрагментов, потому что от количества фрагментов зависит тактика лечения. Переломы из 4х фрагментов приведет к остеонекрозу и поэтому прямое показание к эндопротезированию. Переломы с меньшим количеством фрагментов успешно могут быть синтезированы!
Из всех возможностей лечения протезирование было бы самым легким решением? и можно остановиться на hemiarthroplasty. Здесь костные фрагменты расположились разнонаправленно, и при решении на протезирование желательно сохранить большой бугорок.
Но учитывая молодой возраст, мы бы сперва провели фиксацию плеча проксимальной пластиной. Во-первых, можно собрать остатки костных фрагментов, а созданный фундамент из костей послужил бы основанием для будущих операций.
Успех операции трудно гарантировать, но были случаи, когда не очень красивый снимок давал хороший функциональный результат. Нужны подробности по поводу неврологического статуса - повреждение аксиллярного нерва является противопоказанием к операции!
Потом при рекомендации желательно основываться на конкретном и обоснованном опыте, иначе поверхностные знания создадут путаницу. "Тотальное эндопротезирование плечевого сустава с использованием реверсивного энопротеза" редко кто делает в молодом возрасте, и особенно после переломов, где сохранная ротаторная манжетка.
|
[
Ответить ]
|
Re: протез или синтез?
Отправитель: Denis Glukhov 09 Декабрь 2012, 15:09
|

Преимущественное поражение аксиллярного и лучевого нервов...
|
[
Ответить ]
|
|
Re: протез или синтез?
Obremskey, William T 09 Декабрь 2012, 21:47
|
Unfortunate problem.
Will need hemi-arthroplasty.
|
[
Ответить ]
|
Re: протез или синтез?
Roger Sohn 09 Декабрь 2012, 23:30
|
It looks like it needs a hemi. The head is likely dead. I think a ct would help delineate the amount of humeral head metaphyseal piece is intact, but even if there is some metaphyseal bone, with the prolonged dislocation, I think it's doomed for avn.
As for the radial nerve, is the tricep working? What are the recent emg's like? Assuming the nerve damage is permanent, he would likely need nerve or tendon transfers after the shoulder heals and he has no documented return of function. Do you have someone that can do a posterior branch axillary to radial nerve transfer?
Good luck with this. It's a tough case in such a young person.
Roger Sohn
|
[
Ответить ]
|
Re: протез или синтез?
Ashish Paliwal 09 Декабрь 2012, 23:40
|
Comminution C3.3 fracture dislocation may render open reduction internal fixation immposible be prepare to proceed with hemiarthoplasty.
|
[
Ответить ]
|
Re: протез или синтез?
Jose M. Palomo 09 Декабрь 2012, 23:42
|
I cannot actually recognize, very much as I suppose you cannot either, which was the initial injury pattern and thus its classification. Either both tuberosities did not split apart as it sometimes happens or they have united afterwards.
Maybe a CT / MRI would afford more information about the actual fragments morphology and even perfusion in order to consider a reconstruction with or without an osteotomy between both tuberosities. It’s quite difficult believing in a full reconstruction due to the limited size and situation of the head, but one never knows, … mainly if you are a specially gifted surgeon and you’ve got a full bag of lucky vibrations.
I would rather have a hemiarthroplasty very close to my theatre the day that surgery were to be done. And I basically agree with Roger Sohn about the radial nerve palsy.
Jose M Palomo
Castello General Hospital
|
[
Ответить ]
|
Re: протез или синтез?
Dan Schlatterer 09 Декабрь 2012, 23:46
|
Hello,
I had a similar situation about a year ago except my patient was in his late 40s early 50s. He had long delays because of cardiac issues. Anyhow, I made a 2 cm incision anteriorly to assist with reduction and then percutaneous pinned with numerous threaded guide wires from the DHS set. Fracture healed with heterotopic bone no less. His issue was range of motion but it improved. Very lucky for us.
Your pt is younger and would hold pins just as well. I realize it is multipart and my case was unique. But, no bridges burned by small incision ORPP. A full open reduction, big dissection procedure runs the risk of ensuring AVN. I opted for a minimal soft tissue insult in my case. Maybe something else contributed to the good outcome. But given the young age of your patient I would lean towards pinning.
There is a video somewhere on the internet demonstrating pinning 4 part fxs. It may be on Vumedi.com.
Best of luck.
Dan
|
[
Ответить ]
|
Re: протез или синтез?
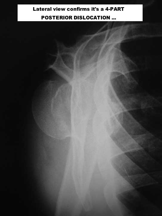
Sergio Rowinski 10 Декабрь 2012, 16:03
|
1) This a chronic, 4-part anterior fracture dislocation. How do I know it is anterior, and not posterior, only with a plain AP X-ray ??
Because posterior dislocations do not behave this way, radiographically, believe me. Also, there MAY be an A-C TYPE V dislocation in this shoulder ... But. let's forget that, now ...
2) What is the "personality" of the fracture ????
Well, the patient is a young female, 26 years, who, unfortunately, had this severe problem NOT properly diagnosed.
So, she is young, very young. She needs the best we can give.
3) Do we need more exams to establish the diagnosis ??? NO.
4) Do we need more exams to better comprehend the lesion, and to better elaborate our surgical plan ??? SURE.
A CT would be very nice, to better understand the fracture, now.
An MRI is mandatory . WHY ???
for us to see the state of the cuff
for us to to see the viability (AVN) of the humeral head
5) But, regardless of all the "disgraces", I would try to reconstruct that. An arthroplasty in such a young patient is already a "disgrace" itself, so I would try to mount that.
6) There is a lot of "heterotopic ossification" around GT, to get things more difficult ...
7) How to operate ????
beach chair position
a classical delto-pec approach (axillary approach), extended as needed - NO COSMETIC ISSUES, here, in spite of patient being a young female
opening of delto-pec interval
identification of humeral head - at this point, surgeon must remember that some neurovascular structures may be close to head, so A LOT OF CARE is needed, to dissect at that part.
before reducting humeral head, surgeon must identify GT and LT, and perform strong N 5 Ethibond whipstitches in GT and in LT - a lot of scary tissue shall be there...
with LT and GT well identified and isolated, then surgeon must reduce head
I would, for sure, use a tricortical iliac graft, between diaphysis and head
With a good PHILOS, surgeon must re-establish the best cephalic-diaphyseal angle (head-shaft relation) he can, and fix that
GT and LT shall be fixed with bony sutures, in usual fashion
a biceps tenodesis MUST be done, here
8) What about prognosis ???? Well, quite unpredictable, regardless of a hard, long lasting surgery.
What about AVN ???? Well, technically, 100 % chance, but some patients adapt to that, because shoulder is not a hip ...
9) I would try to do that, and I would prepare my mind for the good and the bad ...

Here are some photos, of chronic, locked, 4 part posterior dislocation, 2 months old, that I did September/2011. Patient is 67, very, very active - had a really reasonable, honest clinical result ...
Photos attached ...
Dr Sergio Rowinski
Orthopedic Surgeon
Shoulder & Elbow Surgery
São Paulo, Brazil
|
[
Ответить ]
|
Re: протез или синтез?
Отправитель: Савранский Александр 13 Декабрь 2012, 00:29
|
здравствуйте! я прошу прощения, но как мне кажется, на Ваших снимках суставная поверхность установлена не совсем верно - слишком развернута кверху, кроме того хотелось бы увидеть последующие снимки,
|
[
Ответить ]
|
Re: протез или синтез?
Отправитель: Павел К. 15 Декабрь 2012, 00:19
|
ЗАбавно, достали головку "на салфетку", посмотрели, сфотографировали ... и снова поставили)
...ОЧЕНЬ молодцы, если получили хороший результат.
|
[
Ответить ]
|
|
Re: протез или синтез?
Alexander Chelnokov 20 Декабрь 2012, 21:57
|

Пошли на операцию, будучи готовыми как к фиксации, так и к протезированию. Головка с краев была неполная, но для двух винтов места хватило. Сделали что-то вроде гемиартропластики собственной головкой. Бугорки фиксировали, как при эндопротезировании.
Снимки вот.
|
[
Ответить ]
|
Re: протез или синтез?
Отправитель: Dr.Vishwanath Iyer 22 Декабрь 2012, 21:32
|
Dear Alex,
The nail looks a little proud. Will it not come in the way of mobilisation of the shoulder? What is your postop protocol in this case?
Regards
V M Iyer
|
[
Ответить ]
|
Re: протез или синтез?
Отправитель: Jose M Palomo 22 Декабрь 2012, 22:10
|
Dear Alex,
Well, it’s very easy critizicing others’ work sitting in front one’s computer at his home study. And I do assume it was a difficult procedure.
But if I should act as the devil’s advocate, I suppose, actually hope, the head was not totally avascular, there is some graft added, there might be either some faint impingement of the most proximal screw against the acromion or even the nail is a little proud cranial the bone ( or even the cartilage ? ). Maybe the end could be an avascular necrosis and it might be well tolerated ! Lots of bad possible outcomes and some possitive one.
In any case, you have procured yourself with the best of all possible morphologies should revision to a hemiarthroplasry is ever deemed to be done.
I wish you and your patient lots of good luck.
Jose M Palomo
Castello General Hospital
Spain
|
[
Ответить ]
|
Re: протез или синтез?
Отправитель: Maxim Agalakov 25 Декабрь 2012, 22:09
|
> I suppose, actually hope, the head was not totally avascular
-Merry Christmas!
|
[
Ответить ]
|
|
Re: протез или синтез?
Maxim Agalakov 25 Декабрь 2012, 22:04
|
действительно интересен протокол послеоперационного ведения и почему выбран несколько нетрадиционный способ фиксации? В случае закрытой операции преимущества есть, а здесь? Пластина более адекватна, как кажется, как минимум из-за количества винтов? Согласен с мнением коллеги по поводу костной пластики: bone stock и ! офсет, что может быть неплохо при непонятной неврологии.
|
[
Ответить ]
|
Re: протез или синтез?
Djoldas Kuldjanov, M.D. 28 Декабрь 2012, 19:19
|
Привет Саша,
Только вчера из Ташкента вернулся домой.
Ты нашу тактику знаешь, мы бы поставили пластину. Хотя без пластины, но получилось здорово!
Там видно ты применил Синтезовский MultiLoc гвоздь с screw in screw технику. Главное, ты собрал фрагменты и если понадобится следующие операции, тогда будет легче...
Теперб надо ждать!
|
[
Ответить ]
|
( Ответить )
|
|